Skip to main content

FAM163A Antibody - BSA Free

Novus Biologicals, part of Bio-Techne | Catalog # NBP1-88324

Novus Biologicals, part of Bio-Techne
Catalog #
Availability
Size / Price
Qty
Loading...
NBP1-88324

Key Product Details

Species Reactivity

Human

Applications

Immunohistochemistry, Immunohistochemistry-Paraffin, Western Blot

Label

Unconjugated

Antibody Source

Polyclonal Rabbit IgG

Format

BSA Free

Concentration

Concentrations vary lot to lot. See vial label for concentration. If unlisted please contact technical services.

Product Specifications

Immunogen

This antibody was developed against Recombinant Protein corresponding to amino acids: YYCCKKSGTEVADEEEEREHDLPTHPRGPTCNACSSQALDGRGSLAPLTSEPCSQPCGVAASHCTTCSPYSSPFYIRTADMVPNGGGGERLSFAPTYYKEGGPPSLKLAAPQSYPVTWPGSGREAFTNPRAIST

Reactivity Notes

Immunogen displays the following percentage of sequence identity for non-tested species: Mouse (81%), Rat (85%)

Clonality

Polyclonal

Host

Rabbit

Isotype

IgG

Scientific Data Images for FAM163A Antibody - BSA Free

FAM163A Antibody - BSA Free Western Blot: FAM163A Antibody - BSA Free [NBP1-88324]

Western Blot: FAM163A Antibody - BSA Free [NBP1-88324]

Analysis in control (vector only transfected HEK293T lysate) and FAM163A over-expression lysate (Co-expressed with a C-terminal myc-DDK tag (~3.1 kDa) in mammalian HEK293T cells).
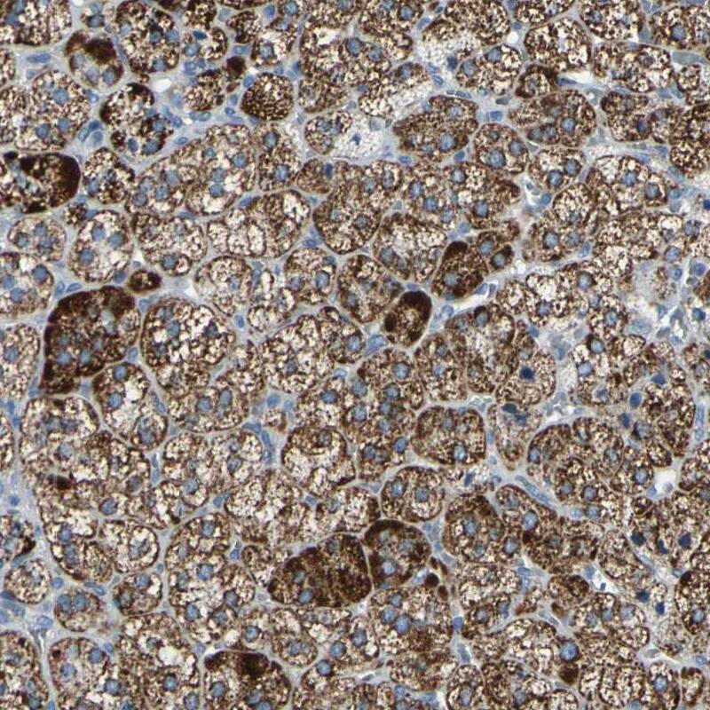
FAM163A Antibody - BSA Free Immunohistochemistry-Paraffin: FAM163A Antibody - BSA Free [NBP1-88324]

Immunohistochemistry-Paraffin: FAM163A Antibody - BSA Free [NBP1-88324]

Staining of human adrenal gland shows strong cytoplasmic positivity in glandular cells.

Applications for FAM163A Antibody - BSA Free

Application
Recommended Usage

Immunohistochemistry

1:20 - 1:50

Immunohistochemistry-Paraffin

1:20 - 1:50

Western Blot

0.04-0.4 ug/ml
Application Notes
For IHC-Paraffin, HIER pH 6 retrieval is recommended.

Formulation, Preparation, and Storage

Purification

Affinity purified

Formulation

PBS (pH 7.2) and 40% Glycerol

Format

BSA Free

Preservative

0.02% Sodium Azide

Concentration

Concentrations vary lot to lot. See vial label for concentration. If unlisted please contact technical services.

Shipping

The product is shipped with polar packs. Upon receipt, store it immediately at the temperature recommended below.

Stability & Storage

Store at 4C short term. Aliquot and store at -20C long term. Avoid freeze-thaw cycles.

Background: FAM163A

Alternate Names

C1orf76cebelin, chromosome 1 open reading frame 76, family with sequence similarity 163, member A, MGC16664, NDSPneuroblastoma derived secretory protein, Neuroblastoma-derived secretory protein, RP11-12M5.2

Gene Symbol

FAM163A

Additional FAM163A Products

Product Documents for FAM163A Antibody - BSA Free

Certificate of Analysis

To download a Certificate of Analysis, please enter a lot number in the search box below.

Product Specific Notices for FAM163A Antibody - BSA Free

This product is for research use only and is not approved for use in humans or in clinical diagnosis. Primary Antibodies are guaranteed for 1 year from date of receipt.

Loading...
Loading...
Loading...
Loading...