Skip to main content

FAM149B1 Antibody - BSA Free

Novus Biologicals, part of Bio-Techne | Catalog # NBP1-81452

Novus Biologicals, part of Bio-Techne
Catalog #
Availability
Size / Price
Qty
Loading...
NBP1-81452
NBP1-81452-25ul

Key Product Details

Species Reactivity

Human

Applications

Immunohistochemistry, Immunohistochemistry-Paraffin, Western Blot

Label

Unconjugated

Antibody Source

Polyclonal Rabbit IgG

Format

BSA Free

Concentration

Concentrations vary lot to lot. See vial label for concentration. If unlisted please contact technical services.

Product Specifications

Immunogen

This antibody was developed against Recombinant Protein corresponding to amino acids: ERDSTIFGIRGKKLHFSSSYAHKASSIAKSSSFCSMERDEEDSIIVSEGIIEEYLAFDHIDIEEG

Clonality

Polyclonal

Host

Rabbit

Isotype

IgG

Description

Novus Biologicals Rabbit FAM149B1 Antibody - BSA Free (NBP1-81452) is a polyclonal antibody validated for use in IHC and WB. All Novus Biologicals antibodies are covered by our 100% guarantee.

Scientific Data Images for FAM149B1 Antibody - BSA Free

Western Blot: FAM149B1 Antibody [NBP1-81452]

Western Blot: FAM149B1 Antibody [NBP1-81452]

Western Blot: FAM149B1 Antibody [NBP1-81452] - Lane 1: Marker [kDa] 250, 130, 100, 70, 55, 35, 25, 15, 10. Lane 2: Testis
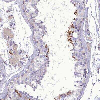
Immunohistochemistry-Paraffin: FAM149B1 Antibody [NBP1-81452]

Immunohistochemistry-Paraffin: FAM149B1 Antibody [NBP1-81452]

Immunohistochemistry-Paraffin: FAM149B1 Antibody [NBP1-81452] - Staining of human testis shows strong cytoplasmic positivity in cells in seminiferous ducts.

Applications for FAM149B1 Antibody - BSA Free

Application
Recommended Usage

Immunohistochemistry

1:200 - 1:500

Immunohistochemistry-Paraffin

1:200-1:500

Western Blot

0.04-0.4 ug/ml
Application Notes
For IHC-Paraffin, HIER pH 6 retrieval is recommended.

Formulation, Preparation, and Storage

Purification

Immunogen affinity purified

Formulation

PBS (pH 7.2) and 40% Glycerol

Format

BSA Free

Preservative

0.02% Sodium Azide

Concentration

Concentrations vary lot to lot. See vial label for concentration. If unlisted please contact technical services.

Shipping

The product is shipped with polar packs. Upon receipt, store it immediately at the temperature recommended below.

Stability & Storage

Store at 4C short term. Aliquot and store at -20C long term. Avoid freeze-thaw cycles.

Background: FAM149B1

Alternate Names

family with sequence similarity 149, member B1, KIAA0974hypothetical protein LOC317662

Gene Symbol

FAM149B1

Additional FAM149B1 Products

Product Documents for FAM149B1 Antibody - BSA Free

Certificate of Analysis

To download a Certificate of Analysis, please enter a lot number in the search box below.

Product Specific Notices for FAM149B1 Antibody - BSA Free

This product is for research use only and is not approved for use in humans or in clinical diagnosis. Primary Antibodies are guaranteed for 1 year from date of receipt.

Loading...
Loading...
Loading...
Loading...