Skip to main content

FAM117B Antibody - BSA Free

Novus Biologicals, part of Bio-Techne | Catalog # NBP3-46527

Novus Biologicals, part of Bio-Techne
Catalog #
Availability
Size / Price
Qty
Loading...
NBP3-46527

Key Product Details

Species Reactivity

Human

Applications

Immunohistochemistry, Western Blot, ELISA, Immunocytochemistry/ Immunofluorescence, Immunoprecipitation

Label

Unconjugated

Antibody Source

Polyclonal Rabbit IgG

Format

BSA Free

Concentration

Please see the vial label for concentration. If unlisted please contact technical services.

Product Specifications

Immunogen

family with sequence similarity 117, member B. (Uniprot# Q6P1L5)

Clonality

Polyclonal

Host

Rabbit

Isotype

IgG

Theoretical MW

66 kDa.
Disclaimer note: The observed molecular weight of the protein may vary from the listed predicted molecular weight due to post translational modifications, post translation cleavages, relative charges, and other experimental factors.

Description

Novus Biologicals Rabbit FAM117B Antibody - BSA Free (NBP3-46527) is a polyclonal antibody validated for use in IHC, WB, ELISA, ICC/IF and IP. All Novus Biologicals antibodies are covered by our 100% guarantee.

Scientific Data Images for FAM117B Antibody - BSA Free

FAM117B Antibody - BSA Free

Immunoprecipitation: FAM117B Antibody - BSA Free [NBP3-46527] -

Immunoprecipitation: FAM117B Antibody - BSA Free [NBP3-46527] - IP Result of anti-FAM117B (IP:, 4ug; Detection: 1:500) with HEK-293 cells lysate 920ug.
FAM117B Antibody - BSA Free

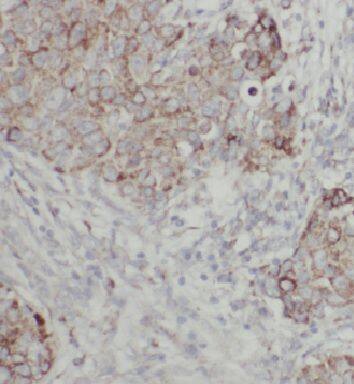
Immunohistochemistry: FAM117B Antibody - BSA Free [NBP3-46527] -

Immunohistochemistry: FAM117B Antibody - BSA Free [NBP3-46527] - Immunohistochemistry of paraffin-embedded human breast cancer using (FAM117B antibody) at dilution of 1:50
FAM117B Antibody - BSA Free

Western Blot: FAM117B Antibody - BSA Free [NBP3-46527] -

Western Blot: FAM117B Antibody - BSA Free [NBP3-46527] - HeLa cells were subjected to SDS PAGE followed by western blot with (FAM117B antibody) at dilution of 1:1000

Applications for FAM117B Antibody - BSA Free

Application
Recommended Usage

Immunocytochemistry/ Immunofluorescence

1:20-1:200

Immunohistochemistry

1:20-1:200

Immunoprecipitation

1:200-1:1000

Western Blot

1:500-1:2000

Formulation, Preparation, and Storage

Purification

Immunogen affinity purified

Formulation

PBS, 50% Glycerol, pH (7.3)

Format

BSA Free

Preservative

0.02% Sodium Azide

Concentration

Please see the vial label for concentration. If unlisted please contact technical services.

Shipping

The product is shipped with polar packs. Upon receipt, store it immediately at the temperature recommended below.

Stability & Storage

Store at -20C. Avoid freeze-thaw cycles.

Background: FAM117B

Alternate Names

ALS2CR13, amyotrophic lateral sclerosis 2 (juvenile) chromosome region, candidate 13, DKFZp686H01244, family with sequence similarity 117, member B, FLJ38771, hypothetical protein LOC150864

Gene Symbol

FAM117B

Additional FAM117B Products

Product Documents for FAM117B Antibody - BSA Free

Certificate of Analysis

To download a Certificate of Analysis, please enter a lot number in the search box below.

Product Specific Notices for FAM117B Antibody - BSA Free

This product is for research use only and is not approved for use in humans or in clinical diagnosis. Primary Antibodies are guaranteed for 1 year from date of receipt.

Loading...
Loading...
Loading...
Loading...