Skip to main content

FAM111B Antibody - BSA Free

Novus Biologicals, part of Bio-Techne | Catalog # NBP1-86645

Novus Biologicals, part of Bio-Techne
Catalog #
Availability
Size / Price
Qty
Loading...
NBP1-86645-25ul
NBP1-86645

Key Product Details

Species Reactivity

Human

Applications

Immunohistochemistry, Immunohistochemistry-Paraffin, Western Blot, Immunocytochemistry/ Immunofluorescence

Label

Unconjugated

Antibody Source

Polyclonal Rabbit IgG

Format

BSA Free

Concentration

Concentrations vary lot to lot. See vial label for concentration. If unlisted please contact technical services.

Product Specifications

Immunogen

This antibody was developed against Recombinant Protein corresponding to amino acids: SMKTEENKSFSAMEDDQRTRPEVSKDTVMKQTHADTPVDHCLSGIRKCSSTFKLKSEVNKHETALEMQNPNLNNKECCFTFTLNGNS

Clonality

Polyclonal

Host

Rabbit

Isotype

IgG

Scientific Data Images for FAM111B Antibody - BSA Free

Immunocytochemistry/ Immunofluorescence: FAM111B Antibody [NBP1-86645]

Immunocytochemistry/ Immunofluorescence: FAM111B Antibody [NBP1-86645]

Immunocytochemistry/Immunofluorescence: FAM111B Antibody [NBP1-86645] - Staining of human cell line U-2 OS shows localization to nucleus & cytosol. Antibody staining is shown in green.
Immunohistochemistry-Paraffin: FAM111B Antibody [NBP1-86645]

Immunohistochemistry-Paraffin: FAM111B Antibody [NBP1-86645]

Immunohistochemistry-Paraffin: FAM111B Antibody [NBP1-86645] - Staining of human tonsil shows weak to moderate nuclear positivity in germinal center cells.
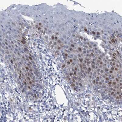
Immunohistochemistry-Paraffin: FAM111B Antibody [NBP1-86645]

Immunohistochemistry-Paraffin: FAM111B Antibody [NBP1-86645]

Immunohistochemistry-Paraffin: FAM111B Antibody [NBP1-86645] - Staining of human rectum shows moderate nuclear positivity in glandular cells.

Applications for FAM111B Antibody - BSA Free

Application
Recommended Usage

Immunocytochemistry/ Immunofluorescence

0.25-2 ug/ml

Immunohistochemistry

1:200 - 1:500

Immunohistochemistry-Paraffin

1:200 - 1:500

Western Blot

0.04-0.4 ug/ml
Application Notes
For IHC-Paraffin, HIER pH 6 retrieval is recommended. ICC/IF Fixation Permeabilization: Use PFA/Triton X-100.

Formulation, Preparation, and Storage

Purification

Affinity purified

Formulation

PBS (pH 7.2) and 40% Glycerol

Format

BSA Free

Preservative

0.02% Sodium Azide

Concentration

Concentrations vary lot to lot. See vial label for concentration. If unlisted please contact technical services.

Shipping

The product is shipped with polar packs. Upon receipt, store it immediately at the temperature recommended below.

Stability & Storage

Store at 4C short term. Aliquot and store at -20C long term. Avoid freeze-thaw cycles.

Background: FAM111B

FAM111B, also known as Protein FAM111B and CANP, is a 85kDa 734 amino acid protein with a shorter 81kDa 704 isoform belonging to the FAM111 family. The gene is known to interact with UBC.

Alternate Names

family with sequence similarity 111, member B

Gene Symbol

FAM111B

Additional FAM111B Products

Product Documents for FAM111B Antibody - BSA Free

Certificate of Analysis

To download a Certificate of Analysis, please enter a lot number in the search box below.

Product Specific Notices for FAM111B Antibody - BSA Free

This product is for research use only and is not approved for use in humans or in clinical diagnosis. Primary Antibodies are guaranteed for 1 year from date of receipt.

Loading...
Loading...
Loading...
Loading...