Skip to main content

FAHD2A Antibody (OTI6D9)

Novus Biologicals, part of Bio-Techne | Catalog # NBP2-02331

Novus Biologicals, part of Bio-Techne
Catalog #
Availability
Size / Price
Qty
Loading...
NBP2-02331

Key Product Details

Species Reactivity

Human

Applications

Flow Cytometry, Immunocytochemistry/ Immunofluorescence, Immunohistochemistry, Immunohistochemistry-Paraffin, Western Blot

Label

Unconjugated

Antibody Source

Monoclonal Mouse IgG2B Clone # OTI6D9

Concentration

0.69 mg/ml

Product Specifications

Immunogen

Full length human recombinant protein of human FAHD2A (NP_057128) produced in HEK293T cell.

Clonality

Monoclonal

Host

Mouse

Isotype

IgG2B

Theoretical MW

34.6 kDa.
Disclaimer note: The observed molecular weight of the protein may vary from the listed predicted molecular weight due to post translational modifications, post translation cleavages, relative charges, and other experimental factors.

Description

Novus Biologicals Mouse FAHD2A Antibody (OTI6D9) (NBP2-02331) is a monoclonal antibody validated for use in IHC, WB, Flow and ICC/IF. All Novus Biologicals antibodies are covered by our 100% guarantee.

Scientific Data Images for FAHD2A Antibody (OTI6D9)

Western Blot: FAHD2A Antibody (OTI6D9) [NBP2-02331]

Western Blot: FAHD2A Antibody (OTI6D9) [NBP2-02331]

Western Blot: FAHD2A Antibody (6D9) [NBP2-02331] - HEK293T cells were transfected with the pCMV6-ENTRY control (Left lane) or pCMV6-ENTRY FAHD2A (Right lane) cDNA for 48 hrs and lysed. Equivalent amounts of cell lysates (5 ug per lane) were separated by SDS-PAGE and immunoblotted with anti-FAHD2A.
Immunocytochemistry/Immunofluorescence: FAHD2A Antibody (6D9) [NBP2-02331] Staining of COS7 cells transiently transfected by pCMV6-ENTRY FAHD2A.
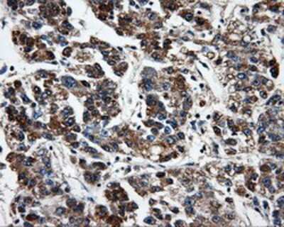
Immunohistochemistry-Paraffin: FAHD2A Antibody (OTI6D9) [NBP2-02331]

Immunohistochemistry-Paraffin: FAHD2A Antibody (OTI6D9) [NBP2-02331]

Immunohistochemistry-Paraffin: FAHD2A Antibody (6D9) [NBP2-02331] - Staining of paraffin-embedded liver tissue using anti-FAHD2Amouse monoclonal antibody.

Applications for FAHD2A Antibody (OTI6D9)

Application
Recommended Usage

Flow Cytometry

1:100

Immunocytochemistry/ Immunofluorescence

1:100

Immunohistochemistry

1:50

Immunohistochemistry-Paraffin

1:50

Western Blot

1:2000

Formulation, Preparation, and Storage

Purification

Immunogen affinity purified

Formulation

PBS (pH 7.3), 1.0% BSA and 50% Glycerol

Preservative

0.02% Sodium Azide

Concentration

0.69 mg/ml

Shipping

The product is shipped with polar packs. Upon receipt, store it immediately at the temperature recommended below.

Stability & Storage

Store at -20C. Avoid freeze-thaw cycles.

Background: FAHD2A

May have hydrolase activity

Alternate Names

CGI-105, EC 3.-, fumarylacetoacetate hydrolase domain containing 1, fumarylacetoacetate hydrolase domain containing 2A, fumarylacetoacetate hydrolase domain-containing protein 2A, MGC131995

Entrez Gene IDs

1159 (Human)

Gene Symbol

FAHD2A

Additional FAHD2A Products

Product Documents for FAHD2A Antibody (OTI6D9)

Certificate of Analysis

To download a Certificate of Analysis, please enter a lot number in the search box below.

Product Specific Notices for FAHD2A Antibody (OTI6D9)

This product is for research use only and is not approved for use in humans or in clinical diagnosis. Primary Antibodies are guaranteed for 1 year from date of receipt.

Loading...
Loading...
Loading...
Loading...
Loading...