Skip to main content

FADS1 Antibody - BSA Free

Novus Biologicals, part of Bio-Techne | Catalog # NBP2-16407

Novus Biologicals, part of Bio-Techne
Catalog #
Availability
Size / Price
Qty
Loading...
NBP2-16407

Key Product Details

Species Reactivity

Human

Applications

Immunohistochemistry, Immunohistochemistry-Paraffin, Western Blot, Immunocytochemistry/ Immunofluorescence

Label

Unconjugated

Antibody Source

Polyclonal Rabbit IgG

Format

BSA Free

Concentration

Concentrations vary lot to lot. See vial label for concentration. If unlisted please contact technical services.

Product Specifications

Immunogen

Recombinant protein encompassing a sequence within the C-terminus region of human FADS1. The exact sequence is proprietary.

Reactivity Notes

Immunogen displays the following percentage of sequence identity for non-tested species: Mouse (88%), Porcine (88%), Rat (87%).

Localization

Endoplasmic reticulum membrane; Multi-pass membrane protein

Clonality

Polyclonal

Host

Rabbit

Isotype

IgG

Theoretical MW

52 kDa.
Disclaimer note: The observed molecular weight of the protein may vary from the listed predicted molecular weight due to post translational modifications, post translation cleavages, relative charges, and other experimental factors.

Description

Novus Biologicals Rabbit FADS1 Antibody - BSA Free (NBP2-16407) is a polyclonal antibody validated for use in IHC, WB and ICC/IF. All Novus Biologicals antibodies are covered by our 100% guarantee.

Scientific Data Images for FADS1 Antibody - BSA Free

Western Blot: FADS1 Antibody [NBP2-16407]

Western Blot: FADS1 Antibody [NBP2-16407]

Western Blot: FADS1 Antibody [NBP2-16407] - Sample (30 ug of whole cell lysate) A: A549 7. 5% SDS PAGE gel, diluted at 1:1000.
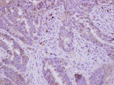
Immunohistochemistry-Paraffin: FADS1 Antibody [NBP2-16407]

Immunohistochemistry-Paraffin: FADS1 Antibody [NBP2-16407]

Immunohistochemistry-Paraffin: FADS1 Antibody [NBP2-16407] - Immunohistochemical analysis of paraffin-embedded Colon ca, using antibody at 1:250 dilution.
FADS1 Antibody - BSA Free

Immunocytochemistry/ Immunofluorescence: FADS1 Antibody [NBP2-16407] -

FADS1 antibody detects FADS1 protein at mitochondria by immunofluorescent analysis.
Sample: Hep G2 cells were fixed in 2% paraformaldehyde/culture medium at 37oC for 30 min.
Green: FADS1 protein stained by FADS1 antibody (NBP2-16407) diluted at 1:500.
Blue: Hoechst 33342 staining.
Scale bar = 10 um.

Applications for FADS1 Antibody - BSA Free

Application
Recommended Usage

Immunocytochemistry/ Immunofluorescence

1:100-1:1000

Immunohistochemistry

1:100-1:1000

Immunohistochemistry-Paraffin

1:100-1:1000

Western Blot

1:500-1:3000

Formulation, Preparation, and Storage

Purification

Antigen Affinity-purified

Formulation

0.1M Tris, 0.1M Glycine, 20% Glycerol

Format

BSA Free

Preservative

0.01% Thimerosal

Concentration

Concentrations vary lot to lot. See vial label for concentration. If unlisted please contact technical services.

Shipping

The product is shipped with polar packs. Upon receipt, store it immediately at the temperature recommended below.

Stability & Storage

Aliquot and store at -20C or -80C. Avoid freeze-thaw cycles.

Background: FADS1

The protein encoded by this gene is a member of the fatty acid desaturase (FADS) gene family. Desaturase enzymes regulate unsaturation of fatty acids through the introduction of double bonds between defined carbons of the fatty acyl chain. FADS family members are considered fusion products composed of an N-terminal cytochrome b5-like domain and a C-terminal multiple membrane-spanning desaturase portion, both of which are characterized by conserved histidine motifs. This gene is clustered with family members FADS1 and FADS2 at 11q12-q13.1; this cluster is thought to have arisen evolutionarily from gene duplication based on its similar exon/intron organization. [provided by RefSeq]

Long Name

Acyl-CoA

Alternate Names

D5D, Delta(5) desaturase, Delta-5 desaturase, FADSD5

Gene Symbol

FADS1

UniProt

Additional FADS1 Products

Product Documents for FADS1 Antibody - BSA Free

Certificate of Analysis

To download a Certificate of Analysis, please enter a lot number in the search box below.

Product Specific Notices for FADS1 Antibody - BSA Free

This product is for research use only and is not approved for use in humans or in clinical diagnosis. Primary Antibodies are guaranteed for 1 year from date of receipt.

Loading...
Loading...
Loading...
Loading...

⚠ WARNING: This product can expose you to chemicals including mercury, which is known to the State of California to cause reproductive toxicity with developmental effects.  For more information go to www.P65Warnings.ca.gov.