Skip to main content

Factor XIIIb Antibody - BSA Free

Novus Biologicals, part of Bio-Techne | Catalog # NBP1-89811

Novus Biologicals, part of Bio-Techne
Catalog #
Availability
Size / Price
Qty
Loading...
NBP1-89811-25ul
NBP1-89811

Key Product Details

Species Reactivity

Human

Applications

Immunohistochemistry, Immunohistochemistry-Paraffin, Western Blot

Label

Unconjugated

Antibody Source

Polyclonal Rabbit IgG

Format

BSA Free

Concentration

Concentrations vary lot to lot. See vial label for concentration. If unlisted please contact technical services.

Product Specifications

Immunogen

This antibody was developed against Recombinant Factor XIIIb Protein corresponding to amino acids: FCLAGYTTESGRQEEQTTCTTEGWSPEPRCFKKCTKPDLSNGYISDVKLLYKIQENMHYGCASGYKTTGGKDEEVVQCLSDGWSSQPTCRKEHETCLAPELYNGNYSTTQKTFKVKDKVQYECATGYYTAGGKKTEEV

Clonality

Polyclonal

Host

Rabbit

Isotype

IgG

Description

Novus Biologicals Rabbit Factor XIIIb Antibody - BSA Free (NBP1-89811) is a polyclonal antibody validated for use in IHC and WB. Anti-Factor XIIIb Antibody: Cited in 2 publications. All Novus Biologicals antibodies are covered by our 100% guarantee.

Scientific Data Images for Factor XIIIb Antibody - BSA Free

Western Blot: Factor XIIIb Antibody [NBP1-89811]

Western Blot: Factor XIIIb Antibody [NBP1-89811]

Western Blot: Factor XIIIb Antibody [NBP1-89811] - Lane 1: Marker [kDa] 230, 110, 82, 49, 32, 26, 18. Lane 2: Human cell line RT-4. Lane 3: Human cell line U-251MG sp. Lane 4: Human plasma (IgG/HSA depleted). Lane 5: Human liver tissue. Lane 6: Human tonsil tissue
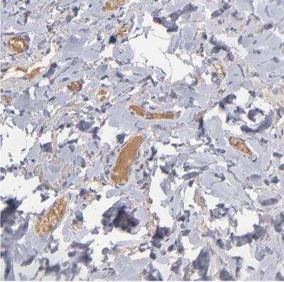
Immunohistochemistry-Paraffin: Factor XIIIb Antibody [NBP1-89811]

Immunohistochemistry-Paraffin: Factor XIIIb Antibody [NBP1-89811]

Immunohistochemistry-Paraffin: Factor XIIIb Antibody [NBP1-89811] - Staining of human duodenum shows positivity in plasma in blood vessels.
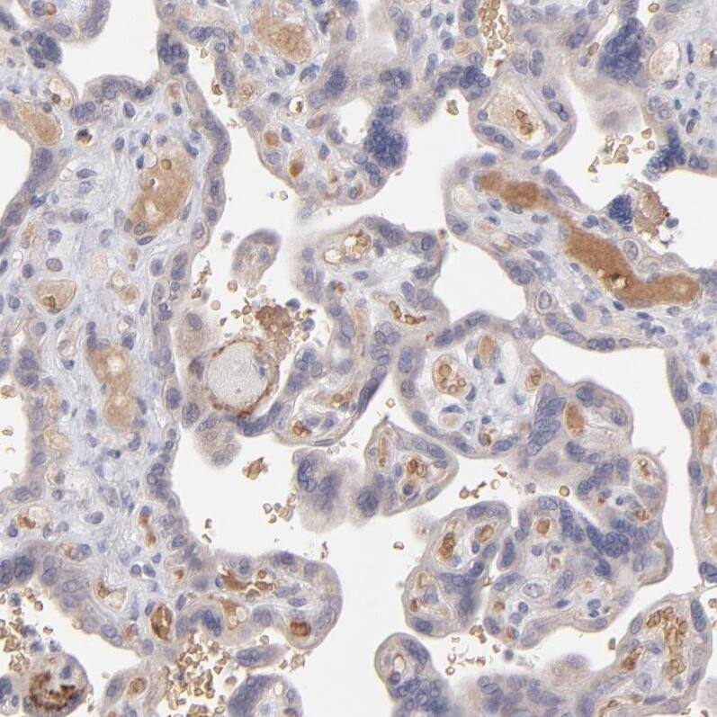
Factor XIIIb Antibody - BSA Free Immunohistochemistry-Paraffin: Factor XIIIb Antibody - BSA Free [NBP1-89811]

Immunohistochemistry-Paraffin: Factor XIIIb Antibody - BSA Free [NBP1-89811]

Staining of human placenta shows positivity in plasma.

Applications for Factor XIIIb Antibody - BSA Free

Application
Recommended Usage

Immunohistochemistry

1:200 - 1:500

Immunohistochemistry-Paraffin

1:200 - 1:500

Western Blot

0.04-0.4 ug/ml
Application Notes
For IHC-Paraffin, HIER pH 6 retrieval is recommended.

Formulation, Preparation, and Storage

Purification

Affinity purified

Formulation

PBS (pH 7.2) and 40% Glycerol

Format

BSA Free

Preservative

0.02% Sodium Azide

Concentration

Concentrations vary lot to lot. See vial label for concentration. If unlisted please contact technical services.

Shipping

The product is shipped with polar packs. Upon receipt, store it immediately at the temperature recommended below.

Stability & Storage

Store at 4C short term. Aliquot and store at -20C long term. Avoid freeze-thaw cycles.

Background: Factor XIIIb

Alternate Names

coagulation factor XIII B chain, coagulation factor XIII, B polypeptide, F13B, fibrin-stabilizing factor B subunit, FXIIIB, protein-glutamine gamma-glutamyltransferase B chain, TGase, transglutaminase B chain

Gene Symbol

F13B

Additional Factor XIIIb Products

Product Documents for Factor XIIIb Antibody - BSA Free

Certificate of Analysis

To download a Certificate of Analysis, please enter a lot number in the search box below.

Product Specific Notices for Factor XIIIb Antibody - BSA Free

This product is for research use only and is not approved for use in humans or in clinical diagnosis. Primary Antibodies are guaranteed for 1 year from date of receipt.

Loading...
Loading...
Loading...
Loading...
Loading...