Skip to main content

Factor XIIIa Antibody (F13A1/1448)

Novus Biologicals, part of Bio-Techne | Catalog # NBP2-59604

Novus Biologicals, part of Bio-Techne
Catalog #
Availability
Size / Price
Qty
Loading...
NBP2-59604-100ug
NBP2-59604-20ug

Key Product Details

Species Reactivity

Human

Applications

ELISA, Flow Cytometry, Immunocytochemistry/ Immunofluorescence, Immunohistochemistry, Immunohistochemistry-Paraffin, Protein Array, Western Blot

Label

Unconjugated

Antibody Source

Monoclonal Mouse IgG2b Kappa Clone # F13A1/1448

Concentration

0.2 mg/ml

Product Specifications

Immunogen

Recombinant fragment of human Factor XIIIa protein (aa46-181) (exact sequence is proprietary) (Uniprot: P00488)

Localization

Cytoplasmic and Secreted

Specificity

The specificity of this monoclonal antibody to its intended target was validated by HuProtTM Array, containing more than 19,000, full-length human proteins. It recognizes a protein of 83kDa, which is identified as Factor XIIIa. It has been identified in platelets, megakaryocytes, and fibroblast-like mesenchymal or histiocytic cells in the placenta, uterus, and prostate, monocytes and macrophages and dermal dendritic cells. Anti-factor XIIIa has been found to be useful in differentiating between dermatofibroma (almost all cases are positive), dermatofibrosarcoma protuberans (-/+) and desmoplastic malignant melanoma (-). Anti-factor XIIIa positivity is also seen in capillary hemagioblastoma, hemangioendothelioma, hemangiopericytoma, xanthogranuloma, xanthoma, hepatocellular carcinoma, glomus tumor, and meningioma.

Clonality

Monoclonal

Host

Mouse

Isotype

IgG2b Kappa

Theoretical MW

83 kDa.
Disclaimer note: The observed molecular weight of the protein may vary from the listed predicted molecular weight due to post translational modifications, post translation cleavages, relative charges, and other experimental factors.

Description

Human Chromosome Location: 6p25.3-p24.3


200ug/ml of antibody purified from Bioreactor Concentrate by Protein A or G. Prepared in 10 mM PBS with 0.05% BSA & 0.05% azide. Also available WITHOUT BSA & azide at 1.0 mg/ml. (NBP2-59605)

Antibody with azide - store at 2 to 8C. Antibody without azide - store at -20 to -80C.

Scientific Data Images for Factor XIIIa Antibody (F13A1/1448)

Western Blot: Factor XIIIa Antibody (F13A1/1448) [NBP2-59604]

Western Blot: Factor XIIIa Antibody (F13A1/1448) [NBP2-59604]

Western Blot: Factor XIIIa Antibody (F13A1/1448) [NBP2-59604] - Western Blot Analysis of Recombinant Protein and HeLa cell lysate using Factor XIIIa Antibody (F13A1/1448).
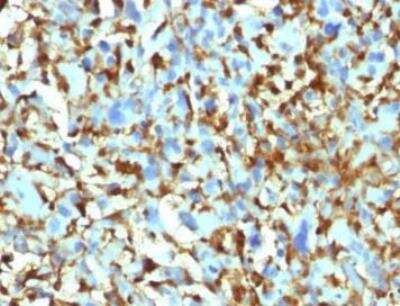
Immunohistochemistry-Paraffin: Factor XIIIa Antibody (F13A1/1448) [NBP2-59604]

Immunohistochemistry-Paraffin: Factor XIIIa Antibody (F13A1/1448) [NBP2-59604]

Immunohistochemistry-Paraffin: Factor XIIIa Antibody (F13A1/1448) [NBP2-59604] - Formalin-fixed, paraffin-embedded human Histiocytoma stained with Factor XIIIa Mouse Monoclonal Antibody (F13A1/1448).
Protein Array: Factor XIIIa Antibody (F13A1/1448) [NBP2-59604]

Protein Array: Factor XIIIa Antibody (F13A1/1448) [NBP2-59604]

Protein Array: Factor XIIIa Antibody (F13A1/1448) [NBP2-59604] - Analysis of Protein Array containing more than 19,000 full-length human proteins using Factor XIIIa Antibody (F13A1/1448) Z- and S- Score: The Z-score represents the strength of a signal that a monoclonal antibody (MAb) (in combination with a fluorescently-tagged anti-IgG secondary antibody) produces when binding to a particular protein on the HuProt(TM) array. Z-scores are described in units of standard deviations (SD's) above the mean value of all signals generated on that array. If targets on HuProt(TM) are arranged in descending order of the Z-score, the S-score is the difference (also in units of SD's) between the Z-score. S-score therefore represents the relative target specificity of a MAb to its intended target. A MAb is considered to specific to its intended target, if the MAb has an S-score of at least 2.5.

Applications for Factor XIIIa Antibody (F13A1/1448)

Application
Recommended Usage

ELISA

2-4 ug/ml

Flow Cytometry

1-2 ug/million cells

Immunocytochemistry/ Immunofluorescence

1-2 ug/ml

Immunohistochemistry-Paraffin

1-2 ug/ml

Protein Array

1:100-1:2000

Western Blot

1-2 ug/ml
Application Notes
ELISA: Use Ab at 2-4ug/ml for coating. Order Ab without BSA.
Immunohistochemistry (Formalin-fixed): 1-2ug/ml for 30 min at RT. Staining of formalin-fixed tissues requires heating tissue sections in 10mM Tris with 1mM EDTA, pH 9.0, for 45 min at 95C followed by cooling at RT for 20 minutes.
Optimal dilution for a specific application should be determined.

Formulation, Preparation, and Storage

Purification

Protein A or G purified

Formulation

10 mM PBS with 0.05% BSA

Preservative

0.05% Sodium Azide

Concentration

0.2 mg/ml

Shipping

The product is shipped with polar packs. Upon receipt, store it immediately at the temperature recommended below.

Stability & Storage

Store at 4C.

Background: F13A1

Factor XIII is a beta globulin found in plasma and is composed of two subunits. Coagulation factor XIII is the last zymogen to become activated in the blood coagulation cascade. Factor XIII A is the catalytic subunit and is a dimmer of molecular weight 160kDa. The B subunits do not have enzymatic activity and may serve as a plasma carrier molecules. Platelet factor XIII is comprised only of 2 A subunits, which are identical to those of plasma origin. Upon activation by the cleavage of the activation peptide by thrombin and in the presence of calcium ion, the plasma factor XIII dissociates its B subunits and yields the same active enzyme, factor XIII A, as platelet factor XIII. This enzyme acts as a transglutaminase to catalyze the formation of gamma-glutamyl-epsilon-lysine crosslinking between fibrin molecules, thus stabilizing the fibrin clot. It also crosslinks alpha-2-plasmin inhibitor, or fibronectin, to the alpha chains of fibrin. Factor XIII deficiency is classified into two categories: type I deficiency, characterized by the lack of both the A and B subunits; and type II deficiency, characterized by the lack of the A subunit alone. These defects can result in a lifelong bleeding tendency, defective wound healing, and habitual abortion. Factor XIII A is a dermal dendrocyte marker and shows variable reaction with these types of tumors. It can be used for histiocytic phenotyping and has been reported to mark capillary hemangiomas and tumors of the central nervous system.

Long Name

Coagulation Factor XIII, A1 Polypeptide

Alternate Names

F13A, FSF, A Subunit

Gene Symbol

F13A1

UniProt

Additional F13A1 Products

Product Documents for Factor XIIIa Antibody (F13A1/1448)

Certificate of Analysis

To download a Certificate of Analysis, please enter a lot number in the search box below.

Product Specific Notices for Factor XIIIa Antibody (F13A1/1448)

This product is for research use only and is not approved for use in humans or in clinical diagnosis. Primary Antibodies are guaranteed for 1 year from date of receipt.

Loading...
Loading...
Loading...
Loading...
Loading...