Skip to main content

FABP2/I-FABP Antibody (OTI2C4) - Azide and BSA Free

Novus Biologicals, part of Bio-Techne | Catalog # NBP2-70699

Novus Biologicals, part of Bio-Techne
Catalog #
Availability
Size / Price
Qty
Loading...
NBP2-70699

Key Product Details

Species Reactivity

Human

Applications

Immunohistochemistry, Immunohistochemistry-Paraffin, Western Blot, Flow Cytometry, CyTOF-ready

Label

Unconjugated

Antibody Source

Monoclonal Mouse IgG2B Clone # OTI2C4

Format

Azide and BSA Free

Concentration

LYOPH mg/ml

Product Specifications

Immunogen

Full length human recombinant protein of human FABP2(NP_000125) produced in HEK293T cell.

Clonality

Monoclonal

Host

Mouse

Isotype

IgG2B

Theoretical MW

15.1 kDa.
Disclaimer note: The observed molecular weight of the protein may vary from the listed predicted molecular weight due to post translational modifications, post translation cleavages, relative charges, and other experimental factors.

Description

Novus Biologicals Mouse FABP2/I-FABP Antibody (OTI2C4) - Azide and BSA Free (NBP2-01239) is a monoclonal antibody validated for use in IHC, WB and Flow. All Novus Biologicals antibodies are covered by our 100% guarantee.

Scientific Data Images for FABP2/I-FABP Antibody (OTI2C4) - Azide and BSA Free

Western Blot: FABP2/I-FABP Antibody (OTI2C4)Azide and BSA Free [NBP2-70699]

Western Blot: FABP2/I-FABP Antibody (OTI2C4)Azide and BSA Free [NBP2-70699]

Western Blot: FABP2/I-FABP Antibody (OTI2C4) - Azide and BSA Free [NBP2-70699] - HEK293T cells were transfected with the pCMV6-ENTRY control (Left lane) or pCMV6-ENTRY intestinal FABP (Right lane) cDNA for 48 hrs and lysed. Equivalent amounts of cell lysates (5 ug per lane) were separated by SDS-PAGE and immunoblotted with anti-intest
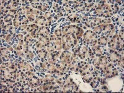
Immunohistochemistry: FABP2/I-FABP Antibody (OTI2C4) - Azide and BSA Free [NBP2-70699]

Immunohistochemistry: FABP2/I-FABP Antibody (OTI2C4) - Azide and BSA Free [NBP2-70699]

Immunohistochemistry: FABP2/I-FABP Antibody (OTI2C4) - Azide and BSA Free [NBP2-70699] - Staining of paraffin-embedded Human colon tissue using anti-intestinal FABP mouse monoclonal antibody.
Flow Cytometry: FABP2/I-FABP Antibody (OTI2C4) - Azide and BSA Free [NBP2-70699]

Flow Cytometry: FABP2/I-FABP Antibody (OTI2C4) - Azide and BSA Free [NBP2-70699]

Flow Cytometry: FABP2/I-FABP Antibody (OTI2C4) - Azide and BSA Free [NBP2-70699] - intestinal FABP Antibody (2C4) [NBP2-01239

Applications for FABP2/I-FABP Antibody (OTI2C4) - Azide and BSA Free

Application
Recommended Usage

Flow Cytometry

1:100

Immunohistochemistry

1:150

Western Blot

1:2000

Formulation, Preparation, and Storage

Purification

Immunogen affinity purified

Reconstitution

we recommend adding 100uL distilled water to a final antibody concentration of about 1 mg/mL. To use this carrier-free antibody for conjugation experiment, we strongly recommend performing another round of desalting process.

Formulation

Lyophilized from PBS (pH 7.3) with 8% Trehalose

Format

Azide and BSA Free

Preservative

No Preservative

Concentration

LYOPH mg/ml

Shipping

The product is shipped with polar packs. Upon receipt, store it immediately at the temperature recommended below.

Stability & Storage

Store at -20C. Avoid freeze-thaw cycles.

Background: FABP2/I-FABP

The intracellular fatty acid-binding proteins (FABPs) belong to a multigene family with nearly twenty identified members. FABPs are divided into at least three distinct types, namely the hepatic-, intestinal- and cardiac-type. They form 14-15 kDa proteins and are thought to participate in the uptake, intracellular metabolism and/or transport of long-chain fatty acids. They may also be responsible in the modulation of cell growth and proliferation. Intestinal fatty acid-binding protein 2 gene contains four exons and is an abundant cytosolic protein in small intestine epithelial cells. This gene has a polymorphism at codon 54 that identified an alanine-encoding allele and a threonine-encoding allele. Thr-54 protein is associated with increased fat oxidation and insulin resistance.

Long Name

Fatty Acid-Binding Protein 2/Intestinal FABP

Alternate Names

I-FABP, IFABP, Intestinal FABP

Gene Symbol

FABP2

Additional FABP2/I-FABP Products

Product Documents for FABP2/I-FABP Antibody (OTI2C4) - Azide and BSA Free

Certificate of Analysis

To download a Certificate of Analysis, please enter a lot number in the search box below.

Product Specific Notices for FABP2/I-FABP Antibody (OTI2C4) - Azide and BSA Free

This product is for research use only and is not approved for use in humans or in clinical diagnosis. Primary Antibodies are guaranteed for 1 year from date of receipt.

Loading...
Loading...
Loading...
Loading...
Loading...
Loading...