Skip to main content

FABP2/I-FABP Antibody (OTI2C4)

Novus Biologicals, part of Bio-Techne | Catalog # NBP2-01239

Novus Biologicals, part of Bio-Techne
Catalog #
Availability
Size / Price
Qty
Loading...
NBP2-01239

Key Product Details

Species Reactivity

Human

Applications

Immunohistochemistry, Immunohistochemistry-Paraffin, Western Blot, Flow Cytometry

Label

Unconjugated

Antibody Source

Monoclonal Mouse IgG2B Clone # OTI2C4

Concentration

0.34 mg/ml

Product Specifications

Immunogen

Full length human recombinant protein of human FABP2(NP_000125) produced in HEK293T cell.

Clonality

Monoclonal

Host

Mouse

Isotype

IgG2B

Theoretical MW

15.1 kDa.
Disclaimer note: The observed molecular weight of the protein may vary from the listed predicted molecular weight due to post translational modifications, post translation cleavages, relative charges, and other experimental factors.

Description

Novus Biologicals Mouse FABP2/I-FABP Antibody (OTI2C4) (NBP2-01239) is a monoclonal antibody validated for use in IHC, WB and Flow. All Novus Biologicals antibodies are covered by our 100% guarantee.

Scientific Data Images for FABP2/I-FABP Antibody (OTI2C4)

Western Blot: FABP2/I-FABP Antibody (OTI2C4) [NBP2-01239]

Western Blot: FABP2/I-FABP Antibody (OTI2C4) [NBP2-01239]

Western Blot: intestinal FABP Antibody (2C4) [NBP2-01239] - HEK293T cells were transfected with the pCMV6-ENTRY control (Left lane) or pCMV6-ENTRY intestinal FABP (Right lane) cDNA for 48 hrs and lysed. Equivalent amounts of cell lysates (5 ug per lane) were separated by SDS-PAGE and immunoblotted with anti-intestinal FABP.
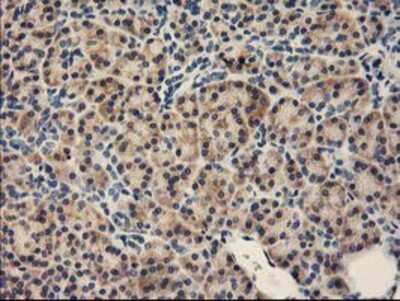
Immunohistochemistry-Paraffin: intestinal FABP Antibody (2C4) [NBP2-01239] Staining of paraffin-embedded Human pancreas tissue using anti-intestinal FABP mouse monoclonal antibody.
Flow Cytometry: FABP2/I-FABP Antibody (OTI2C4) [NBP2-01239]

Flow Cytometry: FABP2/I-FABP Antibody (OTI2C4) [NBP2-01239]

Flow Cytometry: FABP2/I-FABP Antibody (2C4) [NBP2-01239] - intestinal FABP Antibody (2C4) [NBP2-01239] - HEK293T cells transfected with either overexpression plasmid (Red) or empty vector control plasmid (Blue) were immunostained by anti-intestinal FABP antibody, and then analyzed by flow cytometry.

Applications for FABP2/I-FABP Antibody (OTI2C4)

Application
Recommended Usage

Flow Cytometry

1:100

Immunohistochemistry

1:150

Immunohistochemistry-Paraffin

1:150

Western Blot

1:2000

Formulation, Preparation, and Storage

Purification

Immunogen affinity purified

Formulation

PBS (pH 7.3), 1.0% BSA and 50% Glycerol

Preservative

0.02% Sodium Azide

Concentration

0.34 mg/ml

Shipping

The product is shipped with polar packs. Upon receipt, store it immediately at the temperature recommended below.

Stability & Storage

Store at -20C. Avoid freeze-thaw cycles.

Background: FABP2/I-FABP

The intracellular fatty acid-binding proteins (FABPs) belong to a multigene family with nearly twenty identified members. FABPs are divided into at least three distinct types, namely the hepatic-, intestinal- and cardiac-type. They form 14-15 kDa proteins and are thought to participate in the uptake, intracellular metabolism and/or transport of long-chain fatty acids. They may also be responsible in the modulation of cell growth and proliferation. Intestinal fatty acid-binding protein 2 gene contains four exons and is an abundant cytosolic protein in small intestine epithelial cells. This gene has a polymorphism at codon 54 that identified an alanine-encoding allele and a threonine-encoding allele. Thr-54 protein is associated with increased fat oxidation and insulin resistance. [provided by RefSeq].

Long Name

Fatty Acid-Binding Protein 2/Intestinal FABP

Alternate Names

I-FABP, IFABP, Intestinal FABP

Entrez Gene IDs

2169 (Human)

Gene Symbol

FABP2

Additional FABP2/I-FABP Products

Product Documents for FABP2/I-FABP Antibody (OTI2C4)

Certificate of Analysis

To download a Certificate of Analysis, please enter a lot number in the search box below.

Product Specific Notices for FABP2/I-FABP Antibody (OTI2C4)

This product is for research use only and is not approved for use in humans or in clinical diagnosis. Primary Antibodies are guaranteed for 1 year from date of receipt.

Loading...
Loading...
Loading...
Loading...
Loading...