Skip to main content

FABP1/L-FABP Antibody (FABP1/8521R)

Novus Biologicals, part of Bio-Techne | Catalog # NBP3-20666

Recombinant Monoclonal Antibody
Novus Biologicals, part of Bio-Techne
Catalog #
Availability
Size / Price
Qty
Loading...
NBP3-20666-100ug
NBP3-20666-20ug
Conjugate
Catalog #

Key Product Details

Species Reactivity

Human

Applications

Immunohistochemistry-Paraffin

Label

Unconjugated

Antibody Source

Recombinant Monoclonal Rabbit IgG Kappa Clone # FABP1/8521R

Concentration

0.2 mg/ml

Product Specifications

Immunogen

Human recombinant FABP1/L-FABP protein fragment (around aa1-127) (exact sequence is proprietary)

Localization

Cytoplasm. Nucleus.

Clonality

Monoclonal

Host

Rabbit

Isotype

IgG Kappa

Description

Positive Controls: Liver or colon carcinoma tissues (IHC). Human kidney tissue lysate (WB).

Antibody with azide - store at 2 to 8C. Antibody without azide - store at -20 to -80C. Non-hazardous. No MSDS required.

Scientific Data Images for FABP1/L-FABP Antibody (FABP1/8521R)

FABP1/L-FABP Antibody (FABP1/8521R)

FABP1/L-FABP Antibody (FABP1/8521R)

Formalin-fixed, paraffin-embedded human kidney stained with FABP1/L-FABP antibody (FABP1/8521R). Inset: PBS instead of primary antibody; secondary only negative control.
FABP1/L-FABP Antibody (FABP1/8521R)

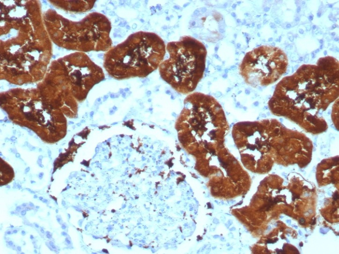
FABP1/L-FABP Antibody (FABP1/8521R)

Formalin-fixed, paraffin-embedded human kidney stained with FABP1/L-FABP antibody (FABP1/8521R). HIER: Tris/EDTA, pH9.0, 45min. Secondary: HRP-polymer, 30min. DAB, 5min.

Applications for FABP1/L-FABP Antibody (FABP1/8521R)

Application
Recommended Usage

Immunohistochemistry-Paraffin

1-2 ug/ml
Application Notes
Immunohistochemistry (Formalin-fixed): 1-2ug/ml for 30 minutes. at RT. Staining of formalin-fixed tissues requires heating tissue sections in 10mM Tris with 1mM EDTA, pH 9.0, for 45 min at 95C followed by cooling at RT for 20 minutes.

Optimal dilution for a specific application should be determined.

Formulation, Preparation, and Storage

Purification

Protein A or G purified

Formulation

10mM PBS with 0.05% BSA

Preservative

0.05% Sodium Azide

Concentration

0.2 mg/ml

Shipping

The product is shipped with polar packs. Upon receipt, store it immediately at the temperature recommended below.

Stability & Storage

Store at 4C. Do not freeze.

Background: FABP1/L-FABP

FABP1 encodes the fatty acid binding protein found in liver. Fatty acid binding proteins are a family of small, highly conserved, cytoplasmic proteins that bind long-chain fatty acids and other hydrophobic ligands. FABP1 and FABP6 (the ileal fatty acid binding protein) are also able to bind bile acids. It is thought that FABPs roles include fatty acid uptake, transport, and metabolism.

Long Name

Fatty Acid-Binding Protein 1

Alternate Names

L-FABP, LFABP

Gene Symbol

FABP1

Additional FABP1/L-FABP Products

Product Documents for FABP1/L-FABP Antibody (FABP1/8521R)

Certificate of Analysis

To download a Certificate of Analysis, please enter a lot number in the search box below.

Product Specific Notices for FABP1/L-FABP Antibody (FABP1/8521R)

This product is for research use only and is not approved for use in humans or in clinical diagnosis. Primary Antibodies are guaranteed for 1 year from date of receipt.

Loading...
Loading...
Loading...
Loading...