Skip to main content

EZH2/KMT6 Antibody (CL11915) - Azide and BSA Free

Novus Biologicals, part of Bio-Techne | Catalog # NBP3-44326

Novus Biologicals, part of Bio-Techne

Key Product Details

Validated by

Orthogonal Validation

Species Reactivity

Human

Applications

Immunohistochemistry-Paraffin, Western Blot, Immunocytochemistry/ Immunofluorescence

Label

Unconjugated

Antibody Source

Monoclonal Mouse IgG2B Clone # CL11915

Format

Azide and BSA Free

Concentration

LYOPH mg/ml

Product Specifications

Immunogen

This antibody was generated using a synthetic peptide of Q15910, with the exact immunogen sequence remaining proprietary.

Clonality

Monoclonal

Host

Mouse

Isotype

IgG2B

Description

Novus Biologicals Mouse EZH2/KMT6 Antibody (CL11915) - Azide and BSA Free (NBP3-21204) is a monoclonal antibody validated for use in IHC, WB and ICC/IF. All Novus Biologicals antibodies are covered by our 100% guarantee.

Scientific Data Images for EZH2/KMT6 Antibody (CL11915) - Azide and BSA Free

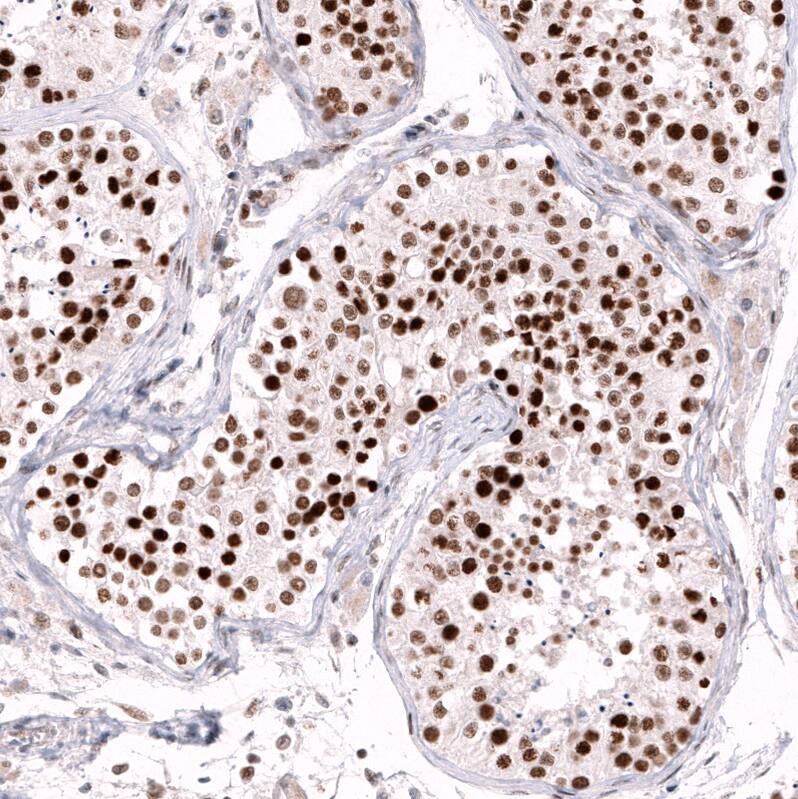
EZH2/KMT6 Antibody (CL11915) - Azide and BSA Free Immunohistochemistry-Paraffin: EZH2/KMT6 Antibody [NBP3-44326]

Immunohistochemistry-Paraffin: EZH2/KMT6 Antibody [NBP3-44326]

Analysis in human testis and cerebral cortex tissues using NBP3-44326 antibody. Corresponding EZH2/KMT6 RNA-seq data are presented for the same tissues.
EZH2/KMT6 Antibody (CL11915) - Azide and BSA Free Immunohistochemistry-Paraffin: EZH2/KMT6 Antibody [NBP3-44326]

Immunohistochemistry-Paraffin: EZH2/KMT6 Antibody [NBP3-44326]

Staining of human kidney shows mainly absence of positivity in cells in tubules as expected.
EZH2/KMT6 Antibody (CL11915) - Azide and BSA Free Immunohistochemistry-Paraffin: EZH2/KMT6 Antibody [NBP3-44326]

Immunohistochemistry-Paraffin: EZH2/KMT6 Antibody [NBP3-44326]

Staining of human glioblastoma multiforme shows strong nuclear positivity in tumor cells.

Applications for EZH2/KMT6 Antibody (CL11915) - Azide and BSA Free

Application
Recommended Usage

Immunocytochemistry/ Immunofluorescence

2-10 ug/ml

Immunohistochemistry-Paraffin

1:200 - 1:500

Western Blot

1 ug/ml
Application Notes
Immunocytochemistry/ Immunofluorescence/IF Fixation Permeabilization: Use PFA/Triton X-100. For IHC-Paraffin, HIER pH 6 retrieval is recommended.

Formulation, Preparation, and Storage

Purification

Protein A purified

Reconstitution

Centrifuge the vial of lyophilized antibody at 12,000 x g for 20 seconds. Reconstitute by adding sterile, distilled water to achieve a final antibody concentration of 1mg/ml.

Formulation

Lyophilized from a 0.2 um filtered solution in PBS with Trehalose

Format

Azide and BSA Free

Preservative

No Preservative

Concentration

LYOPH mg/ml

Shipping

The product is shipped at ambient temperature. Upon receipt, store it immediately at the temperature recommended below.

Stability & Storage

Store at 4C short term. Aliquot and store at -20C long term. Avoid freeze-thaw cycles.

Background: EZH2

KMT6 / EZH2 encodes a member of the Polycomb-group (PcG) family. PcG family members form multimeric protein complexes, which are involved in maintaining the transcriptional repressive state of genes over successive cell generations. This protein associates with the embryonic ectoderm development protein, the VAV1 oncoprotein, and the X-linked nuclear protein. This protein may play a role in the hematopoietic and central nervous systems. Two transcript variants encoding distinct isoforms have been identified for this gene. [provided by RefSeq]

Long Name

Enhancer of Zeste Homolog 2 [Drosophila]

Alternate Names

ENX1, KMT6

Gene Symbol

EZH2

Additional EZH2 Products

Product Documents for EZH2/KMT6 Antibody (CL11915) - Azide and BSA Free

Certificate of Analysis

To download a Certificate of Analysis, please enter a lot number in the search box below.

Product Specific Notices for EZH2/KMT6 Antibody (CL11915) - Azide and BSA Free

This product is for research use only and is not approved for use in humans or in clinical diagnosis. Primary Antibodies are guaranteed for 1 year from date of receipt.

Loading...
Loading...
Loading...
Loading...
Loading...