Skip to main content

ERR gamma/NR3B3 Antibody (OTI1E5)

Novus Biologicals, part of Bio-Techne | Catalog # NBP2-45698

Novus Biologicals, part of Bio-Techne

Key Product Details

Species Reactivity

Human, Mouse, Rat

Applications

Immunohistochemistry, Immunohistochemistry-Paraffin, Western Blot

Label

Unconjugated

Antibody Source

Monoclonal Mouse IgG1 Clone # OTI1E5

Concentration

1 mg/ml

Product Specifications

Immunogen

Human recombinant protein fragment corresponding to amino acids 24-263 of human ESRRG(NP_001429) produced in E.coli.

Reactivity Notes

Please note that this antibody is reactive to Mouse and derived from the same host, Mouse. Mouse-On-Mouse blocking reagent may be needed for IHC and ICC experiments to reduce high background signal. You can find these reagents under catalog numbers PK-2200-NB and MP-2400-NB. Please contact Technical Support if you have any questions.

Clonality

Monoclonal

Host

Mouse

Isotype

IgG1

Theoretical MW

51.1 kDa.
Disclaimer note: The observed molecular weight of the protein may vary from the listed predicted molecular weight due to post translational modifications, post translation cleavages, relative charges, and other experimental factors.

Scientific Data Images for ERR gamma/NR3B3 Antibody (OTI1E5)

Western Blot: ERR gamma/NR3B3 Antibody (OTI1E5) [NBP2-45698]

Western Blot: ERR gamma/NR3B3 Antibody (OTI1E5) [NBP2-45698]

Western Blot: ERR gamma/NR3B3 Antibody (1E5) [NBP2-45698] - Analysis of HEK293T cells were transfected with the pCMV6-ENTRY control (Left lane) or pCMV6-ENTRY ERR gamma.
Immunohistochemistry: ERR gamma/NR3B3 Antibody (OTI1E5) [NBP2-45698]

Immunohistochemistry: ERR gamma/NR3B3 Antibody (OTI1E5) [NBP2-45698]

Immunohistochemistry: ERR gamma/NR3B3 Antibody (1E5) [NBP2-45698] - Analysis of Carcinoma of Human bladder tissue.
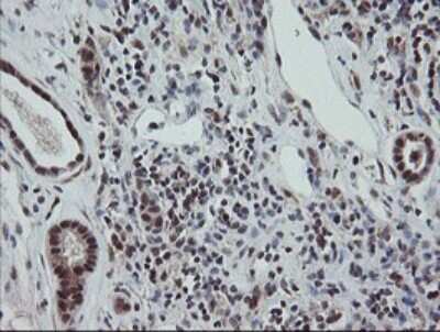
Immunohistochemistry: ERR gamma/NR3B3 Antibody (OTI1E5) [NBP2-45698]

Immunohistochemistry: ERR gamma/NR3B3 Antibody (OTI1E5) [NBP2-45698]

Immunohistochemistry: ERR gamma/NR3B3 Antibody (1E5) [NBP2-45698] - Analysis of Human breast tissue.

Applications for ERR gamma/NR3B3 Antibody (OTI1E5)

Application
Recommended Usage

Immunohistochemistry

1:150

Immunohistochemistry-Paraffin

1:150

Western Blot

1:2000

Formulation, Preparation, and Storage

Purification

Immunogen affinity purified

Formulation

PBS (pH 7.3), 1.0% BSA and 50% Glycerol

Preservative

0.02% Sodium Azide

Concentration

1 mg/ml

Shipping

The product is shipped with polar packs. Upon receipt, store it immediately at the temperature recommended below.

Stability & Storage

Store at -20C. Avoid freeze-thaw cycles.

Background: ERR gamma/NR3B3

Estrogen related receptor (ERR gamma), a NR3 Steroid Receptor is an orphan member of the nuclear hormone receptor superfamily. All the ERR family members (1,2, and 3) share an almost identical DNA binding domain, which has 68% amino acid identity with that of estrogen receptor. Studies involving the crystal structure of the LBD have shown a complex between ERR3 and SRC1. ERR gamma has been suggested to affect differentiation of the brain, heart, and kidney. ERR gamma binds as a monomer to an extended half site of the ERRE type (TCAAGGTCA). ERR gamma has been shown to interact with PGC1 alpha and has been implicated in the regulation of mitochondrial energy metabolism. In humans, ERR gamma pre mRNA undergoes extensive alternative splicing at the 5 prime end, yielding at least six mRNA splice variants and two protein isoforms that differ by 23 amino acids in the N terminus. ERR gamma has been shown to be overexpressed in breast tumors, and its expression is correlated with levels of ErbB4, a likely indicator of preferred clinical course. As a result, ERR gamma has been suggested to be a potential biomarker for favorable clinical course and, possibly, hormonal sensitivity, and as a candidate target for therapeutic development.

Long Name

Estrogen-related Receptor gamma

Alternate Names

ERR3, ESRRG, NR3B3

Gene Symbol

ESRRG

Additional ERR gamma/NR3B3 Products

Product Documents for ERR gamma/NR3B3 Antibody (OTI1E5)

Certificate of Analysis

To download a Certificate of Analysis, please enter a lot number in the search box below.

Product Specific Notices for ERR gamma/NR3B3 Antibody (OTI1E5)

This product is for research use only and is not approved for use in humans or in clinical diagnosis. Primary Antibodies are guaranteed for 1 year from date of receipt.

Loading...
Loading...
Loading...
Loading...