Skip to main content

ERK1/2 Antibody - BSA Free

Novus Biologicals, part of Bio-Techne | Catalog # NB110-96887

Novus Biologicals, part of Bio-Techne

Key Product Details

Species Reactivity

Validated:

Human, Mouse, Rat, Bovine, Chicken, Drosophila, Sheep, Xenopus

Cited:

Human

Applications

Validated:

Immunohistochemistry, Immunohistochemistry-Paraffin, Western Blot, Flow Cytometry, Immunocytochemistry/ Immunofluorescence

Cited:

Western Blot, Block/Neutralize

Label

Unconjugated

Antibody Source

Polyclonal Rabbit IgG

Format

BSA Free

Concentration

1 mg/ml

Product Specifications

Immunogen

A 35 residue synthetic peptide, corresponding to Erk1 MAP kinase with the CGG spacer group added and the peptide coupled to KLH.

Localization

Cytoplasm , Nucleus

Specificity

Detects approx 44kda (ERK1) and approx 42kDa (ERK2).

Clonality

Polyclonal

Host

Rabbit

Isotype

IgG

Theoretical MW

43 kDa.
Disclaimer note: The observed molecular weight of the protein may vary from the listed predicted molecular weight due to post translational modifications, post translation cleavages, relative charges, and other experimental factors.

Description

Novus Biologicals Rabbit ERK1/2 Antibody - BSA Free (NB110-96887) is a polyclonal antibody validated for use in IHC, WB, Flow and ICC/IF. Anti-ERK1/2 Antibody: Cited in 2 publications. All Novus Biologicals antibodies are covered by our 100% guarantee.

Scientific Data Images for ERK1/2 Antibody - BSA Free

Western Blot: ERK1/2 Antibody [NB110-96887]

Western Blot: ERK1/2 Antibody [NB110-96887]

Western Blot: ERK1/2 Antibody [NB110-96887] - Western blot analysis of Human Cell line lysates showing detection of ERK1/2 protein using Rabbit Anti-ERK1/2 Polyclonal Antibody (NB110-96887). Load: 15 ugprotein. Block: 1.5% BSA for 30 minutes at RT. Primary Antibody: Rabbit Anti-ERK1/2 Polyclonal Antibody (NB110-96887) at 1:1000 for 2 hours at RT. Secondary Antibody: Donkey Anti-Rabbit IgG: HRP for 1 hour at RT.
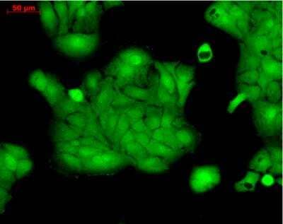
Immunocytochemistry/ Immunofluorescence: ERK1/2 Antibody [NB110-96887]

Immunocytochemistry/ Immunofluorescence: ERK1/2 Antibody [NB110-96887]

Immunocytochemistry/Immunofluorescence: ERK1/2 Antibody [NB110-96887] - Analysis using Rabbit Anti-ERK1 Polyclonal Antibody. Tissue: HaCaT cells. Species: Human. Fixation: Cold 100% methanol at -20C for 10 minutes. Primary Antibody: Rabbit Anti-ERK1 Polyclonal Antibody at 1:100 for 12 hours at 4 degrees C. Secondary Antibody: FITC Goat Anti-Rabbit at 1:50 for 1-2 hours at RT in dark. Localization: Cytoplasm. Nucleus.
Immunohistochemistry: ERK1/2 Antibody [NB110-96887]

Immunohistochemistry: ERK1/2 Antibody [NB110-96887]

Immunohistochemistry: ERK1/2 Antibody [NB110-96887] - Immunohistochemistry analysis using Rabbit Anti-ERK1/2 Polyclonal Antibody (NB110-96887). Tissue: backskin. Species: Mouse. Fixation: Bouin's Fixative Solution. Primary Antibody: Rabbit Anti-ERK1/2 Polyclonal Antibody (NB110-96887) at 1:100 for 1 hour at RT. Secondary Antibody: FITC Goat Anti-Rabbit (green) at 1:50 for 1 hour at RT. Localization: Cytoplasm.

Applications for ERK1/2 Antibody - BSA Free

Application
Recommended Usage

Flow Cytometry

1:100

Immunocytochemistry/ Immunofluorescence

1:100

Immunohistochemistry

1:100

Immunohistochemistry-Paraffin

1:100

Western Blot

1:1000
Application Notes
A 1:1000 dilution of Erk1/2 Antibody was sufficient for detection of ERK1/2 in 20 ug of HeLa cell lysate by ECL immunoblot analysis.

Formulation, Preparation, and Storage

Purification

Peptide affinity purified

Formulation

PBS (pH 7.4), 50% Glycerol

Format

BSA Free

Preservative

0.09% Sodium Azide

Concentration

1 mg/ml

Shipping

The product is shipped with polar packs. Upon receipt, store it immediately at the temperature recommended below.

Stability & Storage

Store at 4C short term. Aliquot and store at -20C long term. Avoid freeze-thaw cycles.

Background: ERK1/2

The extracellular signal-regulated kinases 1 and 2 (ERK1 and ERK2), also called p44 and p42 MAP kinases, are members of the Mitogen Activated Protein Kinase (MAPK) family of proteins found in all eukaryotes. Because the 44 kDa ERK1 and the 42 kDa ERK2 are highly homologous and both function in the same protein kinase cascade, the two proteins are often referred to collectively as ERK1/2 or p44/p42 MAP kinase (1). They are both located in the cytosol and mitochondria (2). While the role of cytosol ERK1/2 is well studied and involved in multiple cellular functions (2), the role of mitochondrial ERK1/2 remains poorly understood. Both ERK 1 and 2 are activated by MEK1 or MEK2, by dual phosphorylation of a threonine and tyrosine residue in the activation loop (TEY motif) (1, 3). Either phosphorylation alone can induce an electrophoretic mobility shift, but both are required for activation of the kinase. This dual phosphorylation is efficiently detected by phosphorylation state-specific antibody directed to the pTEpY motif. Once activated, MAP kinases phosphorylate a broad spectrum of substrates, including cytoskeletal proteins, translation regulators, transcription factors, and the Rsk family of protein kinases (4). ERK1/2 activation is generally thought to confer a survival advantage to cells (5); however there is increasing evidence that suggests that the activation of ERK1/2 also contributes to cell death under certain conditions (5). ERK1/2 also is activated in neuronal and renal epithelial cells upon exposure to oxidative stress and toxicants or deprivation of growth factors, and inhibition of the ERK pathway blocks apoptosis (5).

Alternate Names

EC 2.7.11, ERK-1, ERK1p44-MAPK, ERT2, Extracellular signal-regulated kinase 1, extracellular signal-related kinase 1, HS44KDAP, HUMKER1A, Insulin-stimulated MAP2 kinase, MAP kinase 1, MAP kinase 3, MAP kinase isoform p44, MAPK 1, MAPK 3, MGC20180, Microtubule-associated protein 2 kinase, Mitogen-activated protein kinase 1, mitogen-activated protein kinase 3, p44erk1, p44-ERK1, P44MAPK, PRKM3EC 2.7.11.24

Entrez Gene IDs

5595 (Human); 26417 (Mouse); 50689 (Rat)

Gene Symbol

MAPK3

UniProt

Additional ERK1/2 Products

Product Documents for ERK1/2 Antibody - BSA Free

Certificate of Analysis

To download a Certificate of Analysis, please enter a lot number in the search box below.

Product Specific Notices for ERK1/2 Antibody - BSA Free

This product is for research use only and is not approved for use in humans or in clinical diagnosis. Primary Antibodies are guaranteed for 1 year from date of receipt.

Loading...
Loading...
Loading...
Loading...
Loading...