Skip to main content

ERGI3 Antibody - BSA Free

Novus Biologicals, part of Bio-Techne | Catalog # NBP1-89881

Novus Biologicals, part of Bio-Techne
Catalog #
Availability
Size / Price
Qty
Loading...
NBP1-89881

Key Product Details

Species Reactivity

Human

Applications

Immunohistochemistry, Immunohistochemistry-Paraffin, Western Blot

Label

Unconjugated

Antibody Source

Polyclonal Rabbit IgG

Format

BSA Free

Concentration

Concentrations vary lot to lot. See vial label for concentration. If unlisted please contact technical services.

Product Specifications

Immunogen

This antibody was developed against Recombinant Protein corresponding to amino acids: NINMTHYIQHLSFGEDYPGIVNPLDHTNVTAPQASMMFQYFVKVVPTVYMKVDGEVLRTNQFSVTRHEKVANGLLGDQGLPGVFVLYELSPMMVKLTEKH

Clonality

Polyclonal

Host

Rabbit

Isotype

IgG

Scientific Data Images for ERGI3 Antibody - BSA Free

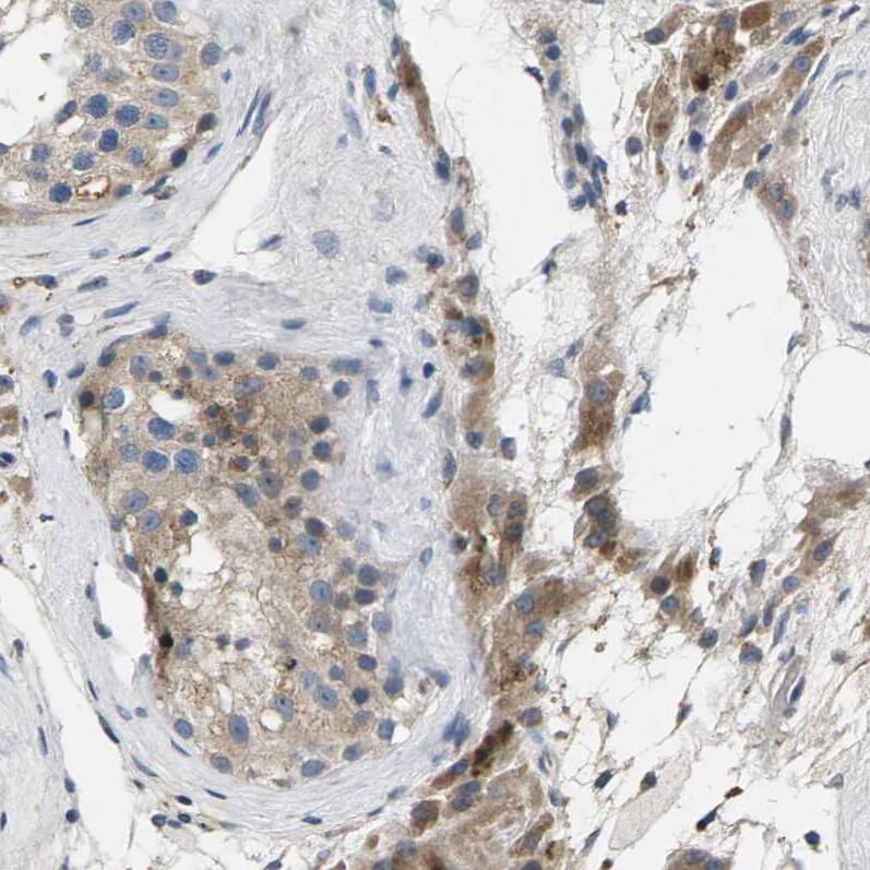
ERGI3 Antibody - BSA Free Immunohistochemistry-Paraffin: ERGI3 Antibody - BSA Free [NBP1-89881]

Immunohistochemistry-Paraffin: ERGI3 Antibody - BSA Free [NBP1-89881]

Staining of human colon shows strong granular cytoplasmic positivity in glandular cells.
ERGI3 Antibody - BSA Free Immunohistochemistry-Paraffin: ERGI3 Antibody - BSA Free [NBP1-89881]

Immunohistochemistry-Paraffin: ERGI3 Antibody - BSA Free [NBP1-89881]

Staining of human testis shows strong granular cytoplasmic positivity in Leydig cells.
ERGI3 Antibody - BSA Free Immunohistochemistry-Paraffin: ERGI3 Antibody - BSA Free [NBP1-89881]

Immunohistochemistry-Paraffin: ERGI3 Antibody - BSA Free [NBP1-89881]

Staining of human cerebellum shows strong granular cytoplasmic positivity in Purkinje cells.

Applications for ERGI3 Antibody - BSA Free

Application
Recommended Usage

Immunohistochemistry

1:20 - 1:50

Immunohistochemistry-Paraffin

1:20 - 1:50

Western Blot

0.04-0.4 ug/ml
Application Notes
For IHC-Paraffin, HIER pH 6 retrieval is recommended.

Formulation, Preparation, and Storage

Purification

Affinity purified

Formulation

PBS (pH 7.2) and 40% Glycerol

Format

BSA Free

Preservative

0.02% Sodium Azide

Concentration

Concentrations vary lot to lot. See vial label for concentration. If unlisted please contact technical services.

Shipping

The product is shipped with polar packs. Upon receipt, store it immediately at the temperature recommended below.

Stability & Storage

Store at 4C short term. Aliquot and store at -20C long term. Avoid freeze-thaw cycles.

Background: ERGI3

Possible role in transport between endoplasmic reticulum and Golgi (By similari

Alternate Names

C20orf47, CGI-54, chromosome 20 open reading frame 47, dJ477O4.2, endoplasmic reticulum-Golgi intermediate compartment protein 3, endoplasmic reticulum-localized protein ERp43, ERGIC and golgi 3, Erv46, NY-BR-84, PRO0989, SDBCAG84, serologically defined breast cancer antigen 84, Serologically defined breast cancer antigen NY-BR-84

Gene Symbol

ERGIC3

Additional ERGI3 Products

Product Documents for ERGI3 Antibody - BSA Free

Certificate of Analysis

To download a Certificate of Analysis, please enter a lot number in the search box below.

Product Specific Notices for ERGI3 Antibody - BSA Free

This product is for research use only and is not approved for use in humans or in clinical diagnosis. Primary Antibodies are guaranteed for 1 year from date of receipt.

Loading...
Loading...
Loading...
Loading...