Skip to main content

ErbB4/Her4 Antibody - BSA Free

Novus Biologicals, part of Bio-Techne | Catalog # NBP1-33120

Novus Biologicals, part of Bio-Techne
Catalog #
Availability
Size / Price
Qty
Loading...
NBP1-33120

Key Product Details

Species Reactivity

Validated:

Human, Mouse, Rat

Cited:

Human

Applications

Validated:

Immunohistochemistry, Immunohistochemistry-Paraffin, Western Blot, Immunocytochemistry/ Immunofluorescence, Immunoprecipitation

Cited:

Western Blot

Label

Unconjugated

Antibody Source

Polyclonal Rabbit IgG

Format

BSA Free

Concentration

Concentrations vary lot to lot. See vial label for concentration. If unlisted please contact technical services.

Product Specifications

Immunogen

Recombinant protein encompassing a sequence within the C-terminus region of human ErbB4/Her4. The exact sequence is proprietary.

Reactivity Notes

Chicken (88%), Xenopus laevis (86%).

Localization

Membrane, Single-pass type I membrane protein

Clonality

Polyclonal

Host

Rabbit

Isotype

IgG

Theoretical MW

147 kDa.
Disclaimer note: The observed molecular weight of the protein may vary from the listed predicted molecular weight due to post translational modifications, post translation cleavages, relative charges, and other experimental factors.

Description

Novus Biologicals Rabbit ErbB4/Her4 Antibody - BSA Free (NBP1-33120) is a polyclonal antibody validated for use in IHC, WB, ICC/IF and IP. Anti-ErbB4/Her4 Antibody: Cited in 2 publications. All Novus Biologicals antibodies are covered by our 100% guarantee.

Scientific Data Images for ErbB4/Her4 Antibody - BSA Free

Western Blot: ErbB4/Her4 Antibody [NBP1-33120]

Western Blot: ErbB4/Her4 Antibody [NBP1-33120]

Western Blot: ErbB4/Her4 Antibody [NBP1-33120] - Whole cell extract (30 ug) was separated by 5% SDS-PAGE, and the membrane was blotted with Her4 / ErbB4 antibody [C1C3] diluted at 1:1000. The HRP-conjugated anti-rabbit IgG antibody was used to detect the primary antibody.
Immunocytochemistry/ Immunofluorescence: ErbB4/Her4 Antibody [NBP1-33120]

Immunocytochemistry/ Immunofluorescence: ErbB4/Her4 Antibody [NBP1-33120]

Immunocytochemistry/Immunofluorescence: ErbB4/Her4 Antibody [NBP1-33120] - MCF-7 cells were fixed in ice-cold MeOH for 5 min. Green: ERBB4 protein stained by ERBB4 antibody [C1C3] diluted at 1:500. Blue: Hoechst 33342 staining.
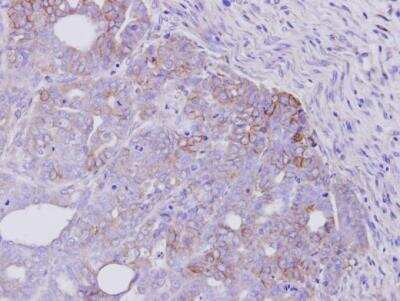
Immunohistochemistry-Paraffin: ErbB4/Her4 Antibody [NBP1-33120]

Immunohistochemistry-Paraffin: ErbB4/Her4 Antibody [NBP1-33120]

Immunohistochemistry-Paraffin: ErbB4/Her4 Antibody [NBP1-33120] - NCIN87 xenograft, using ERBB4(v-erb-A) antibody at 1:500 dilution. Antigen Retrieval: Trilogy™ (EDTA based, pH 8.0) buffer, 15min.

Applications for ErbB4/Her4 Antibody - BSA Free

Application
Recommended Usage

Immunocytochemistry/ Immunofluorescence

1:100-1:1000

Immunohistochemistry

1:100-1:1000

Immunohistochemistry-Paraffin

1:100-1:1000

Immunoprecipitation

1:100-1:500

Western Blot

1:1000-1:10000

Formulation, Preparation, and Storage

Purification

Antigen Affinity-purified

Formulation

PBS, 20% Glycerol

Format

BSA Free

Preservative

0.025% Proclin 300

Concentration

Concentrations vary lot to lot. See vial label for concentration. If unlisted please contact technical services.

Shipping

The product is shipped with polar packs. Upon receipt, store it immediately at the temperature recommended below.

Stability & Storage

Aliquot and store at -20C or -80C. Avoid freeze-thaw cycles.

Background: ErbB4/Her4

erbB4/HER4 is a receptor tyrosine kinase that belongs to the human epidermal growth factor receptor (EGFR) family. erbB4/HER4 is most predominantly expressed in several breast carcinoma cell lines, and in normal skeletal muscle, heart, pituitary, brain, and cerebellum (1). erbB4/HER4 is activated by neuregulins (NRG), betacellulin (BTC), and heparin-binding EGF-like growth factor (2). Neuregulins regulate the expression of ligand- and voltage-gated channels in neurons and skeletal muscle by the activation of ErbB 1-4. The erbB4/HER4 receptor is unique among these receptors because its C-terminal tail binds to a protein motif known as the PDZ domain (3).

Long Name

Receptor Tyrosine Protein Kinase ErbB4

Alternate Names

HER4

Gene Symbol

ERBB4

Additional ErbB4/Her4 Products

Product Documents for ErbB4/Her4 Antibody - BSA Free

Certificate of Analysis

To download a Certificate of Analysis, please enter a lot number in the search box below.

Product Specific Notices for ErbB4/Her4 Antibody - BSA Free

This product is for research use only and is not approved for use in humans or in clinical diagnosis. Primary Antibodies are guaranteed for 1 year from date of receipt.

Loading...
Loading...
Loading...
Loading...