Skip to main content

ErbB3/Her3 [p Tyr1328] Antibody - BSA Free

Novus Biologicals, part of Bio-Techne | Catalog # NBP1-04970

Novus Biologicals, part of Bio-Techne
Catalog #
Availability
Size / Price
Qty
Loading...
NBP1-04970
NBP1-04970-0.025ml

Key Product Details

Validated by

Biological Validation

Species Reactivity

Human, Mouse, Rat

Applications

Immunocytochemistry/ Immunofluorescence, Immunohistochemistry, Immunohistochemistry-Paraffin, Western Blot

Label

Unconjugated

Antibody Source

Polyclonal Rabbit IgG

Format

BSA Free

Concentration

1.0 mg/ml

Product Specifications

Immunogen

The antiserum was produced against synthesized phosphopeptide derived from human ErbB3/Her3 around the phosphorylation site of tyrosine 1328 (P-D-Yp-W-H).

Modification

p Tyr1328

Specificity

Detects endogenous levels of ErbB3/Her3 only when phosphorylated at tyrosine 1328.

Clonality

Polyclonal

Host

Rabbit

Isotype

IgG

Theoretical MW

148 kDa.
Disclaimer note: The observed molecular weight of the protein may vary from the listed predicted molecular weight due to post translational modifications, post translation cleavages, relative charges, and other experimental factors.

Description

Novus Biologicals Rabbit ErbB3/Her3 [p Tyr1328] Antibody - BSA Free (NBP1-04970) is a polyclonal antibody validated for use in IHC, WB and ICC/IF. All Novus Biologicals antibodies are covered by our 100% guarantee.

Scientific Data Images for ErbB3/Her3 [p Tyr1328] Antibody - BSA Free

Western Blot: ErbB3/Her3 [p Tyr1328] Antibody [NBP1-04970]

Western Blot: ErbB3/Her3 [p Tyr1328] Antibody [NBP1-04970]

Western Blot: ErbB3/Her3 [p Tyr1328] Antibody [NBP1-04970] - Western blot analysis of extracts from A431 cells untreated or treated with EGF using ErbB3 (phospho-Tyr1328) Antibody.
ErbB3/Her3 [p Tyr1328] Antibody - BSA Free

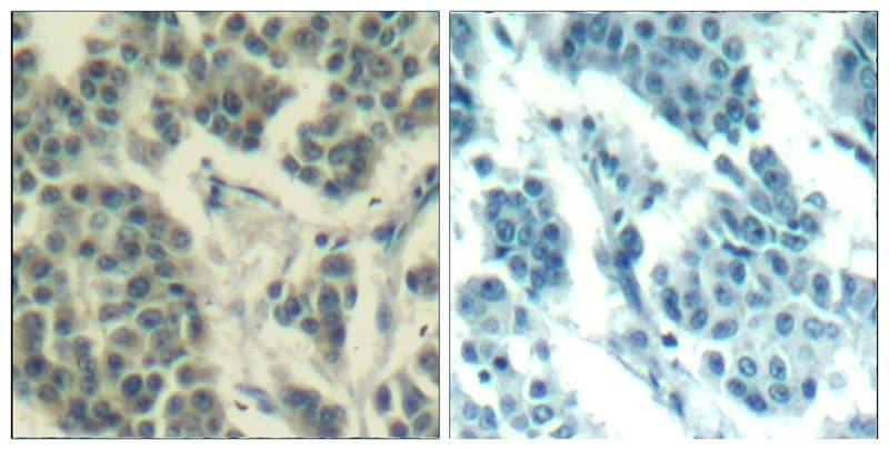
Immunohistochemistry-Paraffin: ErbB3/Her3 [p Tyr1328] Antibody [NBP1-04970] -

Immunohistochemistry-Paraffin: ErbB3/Her3 [p Tyr1328] Antibody [NBP1-04970] - Immunohistochemical analysis of paraffin-embedded human breast carcinoma tissue using NBP1-04970(left) or the same antibody preincubated with blocking peptide(right).
ErbB3/Her3 [p Tyr1328] Antibody - BSA Free

Immunocytochemistry/ Immunofluorescence: ErbB3/Her3 [p Tyr1328] Antibody - BSA Free [NBP1-04970] -

Immunocytochemistry/ Immunofluorescence: ErbB3/Her3 [p Tyr1328] Antibody - BSA Free [NBP1-04970] - Immunofluorescence staining of methanol-fixed MCF7 cells using NBP1-04970.

Applications for ErbB3/Her3 [p Tyr1328] Antibody - BSA Free

Application
Recommended Usage

Immunocytochemistry/ Immunofluorescence

1:100-1:200

Immunohistochemistry

1:50-1:100

Immunohistochemistry-Paraffin

1:50-1:100

Western Blot

1:500-1:1000

Formulation, Preparation, and Storage

Purification

Immunogen affinity purified

Formulation

PBS (without Mg2+ and Ca2+), pH 7.4, 150 mM NaCl, 50% glycerol

Format

BSA Free

Preservative

0.02% Sodium Azide

Concentration

1.0 mg/ml

Shipping

The product is shipped with polar packs. Upon receipt, store it immediately at the temperature recommended below.

Stability & Storage

Store at 4C short term. Aliquot and store at -20C long term. Avoid freeze-thaw cycles.

Background: ErbB3/Her3

The ErbB3 gene encodes a member of the epidermal growth factor receptor (EGFR) family of receptor tyrosine kinases. ErbB3 is a membrane-bound protein which has a neuregulin binding domain but not an active kinase domain. It can therefore bind this ligand but cannot convey a signal into the cell via protein phosphorylation. However it does form heterodimers with other EGF receptor family members which do have kinase activity. Heterodimerization leads to the activation of pathways which lead to cell proliferation or differentiation. Amplification of this gene and/or overexpression of its protein have been reported in numerous cancers including prostate, bladder and breast tumors. Alternate transcriptional splice variants encoding different isoforms have been characterized. One isoform lacks the intermembrane region and is secreted outside the cell. This form acts to modulate the activity of the membrane-bound form. Additional splice variants have also been reported but they have not been thoroughly characterized.

Long Name

Receptor Tyrosine Protein Kinase ErbB3

Alternate Names

HER3

Entrez Gene IDs

2065 (Human); 13867 (Mouse); 29496 (Rat)

Gene Symbol

ERBB3

UniProt

Additional ErbB3/Her3 Products

Product Documents for ErbB3/Her3 [p Tyr1328] Antibody - BSA Free

Certificate of Analysis

To download a Certificate of Analysis, please enter a lot number in the search box below.

Product Specific Notices for ErbB3/Her3 [p Tyr1328] Antibody - BSA Free

This product is for research use only and is not approved for use in humans or in clinical diagnosis. Primary Antibodies are guaranteed for 1 year from date of receipt.

Loading...
Loading...
Loading...
Loading...