Skip to main content

ER alpha/NR3A1 Antibody (OTI2D3) - Azide and BSA Free

Novus Biologicals, part of Bio-Techne | Catalog # NBP2-70688

Novus Biologicals, part of Bio-Techne

Key Product Details

Species Reactivity

Human, Mouse, Rat

Applications

Immunohistochemistry, Immunohistochemistry-Paraffin, Western Blot

Label

Unconjugated

Antibody Source

Monoclonal Mouse IgG1 Clone # OTI2D3

Format

Azide and BSA Free

Concentration

LYOPH mg/ml

Product Specifications

Immunogen

Human recombinant protein fragment corresponding to amino acids 1-310 of human ESR1 (NP_000116) produced in E.coli.

Reactivity Notes

Please note that this antibody is reactive to Mouse and derived from the same host, Mouse. Mouse-On-Mouse blocking reagent may be needed for IHC and ICC experiments to reduce high background signal. You can find these reagents under catalog numbers PK-2200-NB and MP-2400-NB. Please contact Technical Support if you have any questions.

Clonality

Monoclonal

Host

Mouse

Isotype

IgG1

Theoretical MW

66 kDa.
Disclaimer note: The observed molecular weight of the protein may vary from the listed predicted molecular weight due to post translational modifications, post translation cleavages, relative charges, and other experimental factors.

Description

Novus Biologicals Mouse ER alpha/NR3A1 Antibody (OTI2D3) - Azide and BSA Free (NBP2-45522) is a monoclonal antibody validated for use in IHC and WB. All Novus Biologicals antibodies are covered by our 100% guarantee.

Scientific Data Images for ER alpha/NR3A1 Antibody (OTI2D3) - Azide and BSA Free

Western Blot: ER alpha/NR3A1 Antibody (OTI2D3)Azide and BSA Free [NBP2-70688]

Western Blot: ER alpha/NR3A1 Antibody (OTI2D3)Azide and BSA Free [NBP2-70688]

Western Blot: ER alpha/NR3A1 Antibody (OTI2D3) - Azide and BSA Free [NBP2-70688] - Analysis of HEK293T cells were transfected with the pCMV6-ENTRY control (Left lane) or pCMV6-ENTRY ER alpha/NR3A1.
Immunohistochemistry: ER alpha/NR3A1 Antibody (OTI2D3) - Azide and BSA Free [NBP2-70688]

Immunohistochemistry: ER alpha/NR3A1 Antibody (OTI2D3) - Azide and BSA Free [NBP2-70688]

Immunohistochemistry: ER alpha/NR3A1 Antibody (OTI2D3) - Azide and BSA Free [NBP2-70688] - Analysis of Human breast tissue.
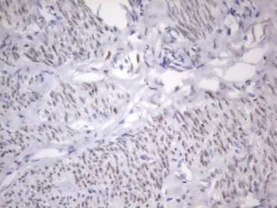
Immunohistochemistry: ER alpha/NR3A1 Antibody (OTI2D3) - Azide and BSA Free [NBP2-70688]

Immunohistochemistry: ER alpha/NR3A1 Antibody (OTI2D3) - Azide and BSA Free [NBP2-70688]

Immunohistochemistry: ER alpha/NR3A1 Antibody (OTI2D3) - Azide and BSA Free [NBP2-70688] - Analysis of Adenocarcinoma of Human endometrium tissue.

Applications for ER alpha/NR3A1 Antibody (OTI2D3) - Azide and BSA Free

Application
Recommended Usage

Immunohistochemistry

1:150

Immunohistochemistry-Paraffin

1:150

Western Blot

1:2000

Formulation, Preparation, and Storage

Purification

Immunogen affinity purified

Reconstitution

we recommend adding 100uL distilled water to a final antibody concentration of about 1 mg/mL. To use this carrier-free antibody for conjugation experiment, we strongly recommend performing another round of desalting process.

Formulation

Lyophilized from PBS (pH 7.3) with 8% Trehalose

Format

Azide and BSA Free

Preservative

No Preservative

Concentration

LYOPH mg/ml

Shipping

The product is shipped with polar packs. Upon receipt, store it immediately at the temperature recommended below.

Stability & Storage

Store at -20C. Avoid freeze-thaw cycles.

Background: ER alpha/NR3A1

Estrogen receptor alpha (ER alpha) is a nuclear protein and member of the steroid hormone receptor family. ER alpha possesses both DNA binding and ligand binding domains, and exerts a significant role in activating the transcription of certain genes (1). Ligand-dependent dimerization and phosphorylation on serines, 104, 106, and 118 function to regulate the transcriptional activation of ER alpha (2). The phosphorylation of the human estrogen receptor (ER) serine residue at position 118 is required for full activity of the ER activation function 1 (AF-1) (3).

Long Name

Estrogen Receptor alpha

Alternate Names

ESR1, NR3A1

Gene Symbol

ESR1

Additional ER alpha/NR3A1 Products

Product Documents for ER alpha/NR3A1 Antibody (OTI2D3) - Azide and BSA Free

Certificate of Analysis

To download a Certificate of Analysis, please enter a lot number in the search box below.

Product Specific Notices for ER alpha/NR3A1 Antibody (OTI2D3) - Azide and BSA Free

This product is for research use only and is not approved for use in humans or in clinical diagnosis. Primary Antibodies are guaranteed for 1 year from date of receipt.

Loading...
Loading...
Loading...
Loading...
Loading...