Skip to main content

Eps8 Antibody - BSA Free

Novus Biologicals, part of Bio-Techne | Catalog # NBP2-97753

Novus Biologicals, part of Bio-Techne

Key Product Details

Species Reactivity

Human

Applications

Immunocytochemistry/ Immunofluorescence, Immunohistochemistry, Immunohistochemistry-Paraffin

Label

Unconjugated

Antibody Source

Polyclonal Rabbit IgG

Format

BSA Free

Concentration

Please see the vial label for concentration. If unlisted please contact technical services.

Product Specifications

Immunogen

Produced in rabbits immunized with E. coli-derived Human Eps8 fragment.

Clonality

Polyclonal

Host

Rabbit

Isotype

IgG

Description

This antibody can be stored at 2C to 8C for one month without detectable loss of activity. Antibody products are stable for twelve months from date of receipt when stored at -20C to -80C. Avoid repeated freeze-thaw cycles.

Scientific Data Images for Eps8 Antibody - BSA Free

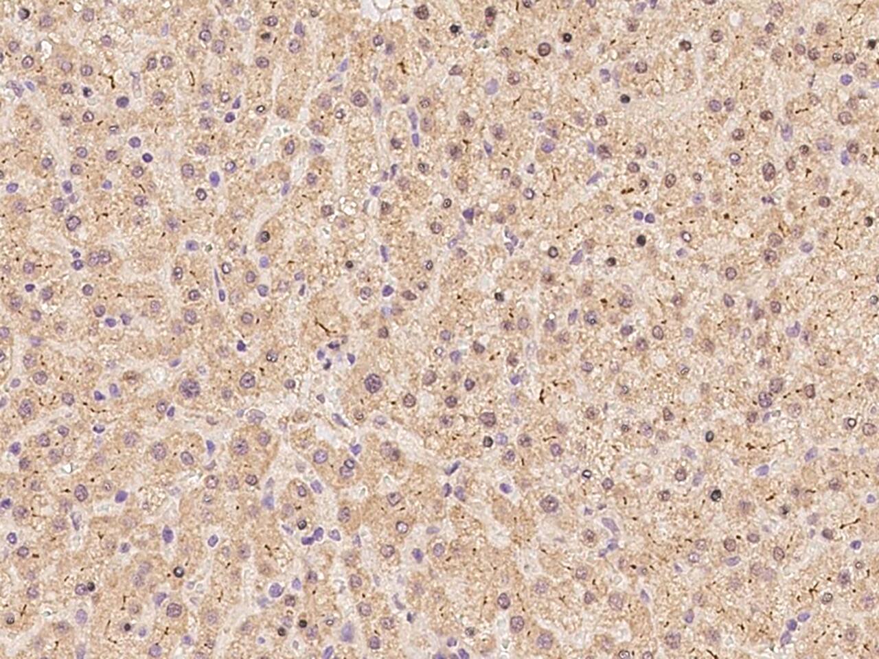
Immunohistochemistry-Paraffin: Eps8 Antibody [NBP2-97753]

Immunohistochemistry-Paraffin: Eps8 Antibody [NBP2-97753]

Immunohistochemistry-Paraffin: Eps8 Antibody [NBP2-97753] - Immunochemical staining of human Eps8 in human liver with rabbit polyclonal antibody at 1:100 dilution, formalin-fixed paraffin embedded sections.
Eps8 Antibody - BSA Free

Immunohistochemistry-Paraffin: Eps8 Antibody - BSA Free [NBP2-97753] -

Immunohistochemistry-Paraffin: Eps8 Antibody - BSA Free [NBP2-97753] - Immunochemical staining of human Eps8 in human liver with NBP2-97753 at 1:100 dilution, formalin-fixed paraffin embedded sections.
Eps8 Antibody - BSA Free

Immunocytochemistry/Immunofluorescence: Eps8 Antibody [NBP2-97753] -

Immunocytochemistry/Immunofluorescence: Eps8 Antibody [NBP2-97753] - Immunofluorescence staining of Eps8 in U251MG cells. Cells were fixed with 4% PFA, permeabilzed with 0.1% Triton X-100 in PBS, blocked with 10% serum, and incubated with NBP2-97753 antibody (dilution ratio 1:200) at 4C overnight. Then cells were stained with the Alexa Fluor(R)488-conjugated Goat Anti-rabbit IgG secondary antibody (green) and counterstained with DAPI (blue).Positive staining was localized to Cytoplasm.

Applications for Eps8 Antibody - BSA Free

Application
Recommended Usage

Immunocytochemistry/ Immunofluorescence

1:100-1:500

Immunohistochemistry

1:50-1:200

Immunohistochemistry-Paraffin

1:50-1:200

Formulation, Preparation, and Storage

Purification

Antigen and protein A Affinity-purified

Formulation

PBS

Format

BSA Free

Preservative

0.03% Proclin 300

Concentration

Please see the vial label for concentration. If unlisted please contact technical services.

Shipping

The product is shipped with polar packs. Upon receipt, store it immediately at the temperature recommended below.

Stability & Storage

Store at 4C short term. Aliquot and store at -20C long term. Avoid freeze-thaw cycles.

Background: Eps8

EPS8 encodes a member of the EPS8 family. This protein contains one PH domain and one SH3 domain. It functions as part of the EGFR pathway, though its exact role has not been determined. Highly similar proteins in other organisms are involved in the transduction of signals from Ras to Rac and growth factor-mediated actin remodeling. Alternate transcriptional splice variants of this gene have been observed but have not been thoroughly characterized.

Long Name

Epidermal Growth Factor Receptor Pathway Substrate 8

Alternate Names

epidermal growth factor receptor kinase substrate 8, epidermal growth factor receptor pathway substrate 8

Gene Symbol

EPS8

Additional Eps8 Products

Product Documents for Eps8 Antibody - BSA Free

Certificate of Analysis

To download a Certificate of Analysis, please enter a lot number in the search box below.

Product Specific Notices for Eps8 Antibody - BSA Free

This product is for research use only and is not approved for use in humans or in clinical diagnosis. Primary Antibodies are guaranteed for 1 year from date of receipt.

Loading...
Loading...
Loading...
Loading...