Skip to main content

EPHX1 Antibody (OTI3F10)

Novus Biologicals, part of Bio-Techne | Catalog # NBP2-45478

Novus Biologicals, part of Bio-Techne
Catalog #
Availability
Size / Price
Qty
Loading...
NBP2-45478

Key Product Details

Species Reactivity

Human, Mouse, Rat, Monkey

Applications

Immunohistochemistry, Immunohistochemistry-Paraffin, Western Blot

Label

Unconjugated

Antibody Source

Monoclonal Mouse IgG2B Clone # OTI3F10

Concentration

1 mg/ml

Product Specifications

Immunogen

Human recombinant protein fragment corresponding to amino acids 21-230 of human EPHX1 (NP_000111) produced in E.coli.

Reactivity Notes

Please note that this antibody is reactive to Mouse and derived from the same host, Mouse. Mouse-On-Mouse blocking reagent may be needed for IHC and ICC experiments to reduce high background signal. You can find these reagents under catalog numbers PK-2200-NB and MP-2400-NB. Please contact Technical Support if you have any questions.

Clonality

Monoclonal

Host

Mouse

Isotype

IgG2B

Theoretical MW

52.8 kDa.
Disclaimer note: The observed molecular weight of the protein may vary from the listed predicted molecular weight due to post translational modifications, post translation cleavages, relative charges, and other experimental factors.

Description

Novus Biologicals Mouse EPHX1 Antibody (OTI3F10) (NBP2-45478) is a monoclonal antibody validated for use in IHC and WB. All Novus Biologicals antibodies are covered by our 100% guarantee.

Scientific Data Images for EPHX1 Antibody (OTI3F10)

Western Blot: EPHX1 Antibody (OTI3F10) [NBP2-45478]

Western Blot: EPHX1 Antibody (OTI3F10) [NBP2-45478]

Western Blot: EPHX1 Antibody (OTI3F10) [NBP2-45478] - EPHX1 Antibody (3F10) [NBP2-45478] - Analysis of extracts (35ug) from 9 different cell lines (HepG2: human; HeLa: human; SVT2: mouse; A549: human; COS7: monkey; Jurkat: human; MDCK: canine; PC12: rat; MCF7: human).
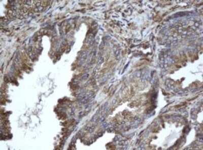
Immunohistochemistry: EPHX1 Antibody (OTI3F10) [NBP2-45478]

Immunohistochemistry: EPHX1 Antibody (OTI3F10) [NBP2-45478]

Immunohistochemistry: EPHX1 Antibody (3F10) [NBP2-45478] - Analysis of Human prostate tissue.
Western Blot: EPHX1 Antibody (OTI3F10) [NBP2-45478]

Western Blot: EPHX1 Antibody (OTI3F10) [NBP2-45478]

Western Blot: EPHX1 Antibody (3F10) [NBP2-45478] - Analysis of HEK293T cells were transfected with the pCMV6-ENTRY control (Left lane) or pCMV6-ENTRY EPHX1.

Applications for EPHX1 Antibody (OTI3F10)

Application
Recommended Usage

Immunohistochemistry

1:150

Western Blot

1:2000

Formulation, Preparation, and Storage

Purification

Immunogen affinity purified

Formulation

PBS (pH 7.3), 1.0% BSA and 50% Glycerol

Preservative

0.02% Sodium Azide

Concentration

1 mg/ml

Shipping

The product is shipped with polar packs. Upon receipt, store it immediately at the temperature recommended below.

Stability & Storage

Store at -20C. Avoid freeze-thaw cycles.

Background: Epoxide Hydrolase 1/EPHX1

Epoxide hydrolase plays an important role in both the activation and detoxification of exogenous chemicals such as polycyclic aromatic hydrocarbons. [provided by RefSeq]

Alternate Names

EPHX, EPHX1, EPOX, Epoxide Hydratase, HYL1, MEH, MEH8, Microsomal Epoxide Hydrolase

Gene Symbol

EPHX1

Additional Epoxide Hydrolase 1/EPHX1 Products

Product Documents for EPHX1 Antibody (OTI3F10)

Certificate of Analysis

To download a Certificate of Analysis, please enter a lot number in the search box below.

Product Specific Notices for EPHX1 Antibody (OTI3F10)

This product is for research use only and is not approved for use in humans or in clinical diagnosis. Primary Antibodies are guaranteed for 1 year from date of receipt.

Loading...
Loading...
Loading...
Loading...