ENT2 Antibody - BSA Free
Novus Biologicals, part of Bio-Techne | Catalog # NBP2-81984
Conjugate
Catalog #
Key Product Details
Species Reactivity
Validated:
Human
Predicted:
Rat (100%). Backed by our 100% Guarantee.
Applications
Immunohistochemistry, Immunohistochemistry-Paraffin, Western Blot, ELISA, Immunocytochemistry/ Immunofluorescence
Label
Unconjugated
Antibody Source
Polyclonal Rabbit IgG
Format
BSA Free
Concentration
1 mg/ml
Product Specifications
Immunogen
ENT2 antibody was raised against a 19 amino acid peptide near the center of human ENT2. The immunogen is located within amino acids 250 - 300 of ENT2. Amino Acid Squence: KEPESEPDEPQKPGKPSV
Specificity
ENT2 antibody is human specific. ENT2 antibody is predicted to not cross-react with other SLC29 proteins.
Clonality
Polyclonal
Host
Rabbit
Isotype
IgG
Theoretical MW
50 kDa.
Disclaimer note: The observed molecular weight of the protein may vary from the listed predicted molecular weight due to post translational modifications, post translation cleavages, relative charges, and other experimental factors.
Disclaimer note: The observed molecular weight of the protein may vary from the listed predicted molecular weight due to post translational modifications, post translation cleavages, relative charges, and other experimental factors.
Scientific Data Images for ENT2 Antibody - BSA Free
Western Blot: ENT2 AntibodyBSA Free [NBP2-81984]
Western Blot: ENT2 Antibody [NBP2-81984] - Analysis of ENT2 in human bladder tissue lysate with ENT2 antibody at 1 ug/ml.Immunocytochemistry/ Immunofluorescence: ENT2 Antibody - BSA Free [NBP2-81984] -
Immunocytochemistry/ Immunofluorescence: ENT2 Antibody - BSA Free [NBP2-81984] - Immunofluorescence of ENT2 in human bladder tissue with ENT2 antibody at 20 u/ml.Immunohistochemistry: ENT2 Antibody - BSA Free [NBP2-81984] -
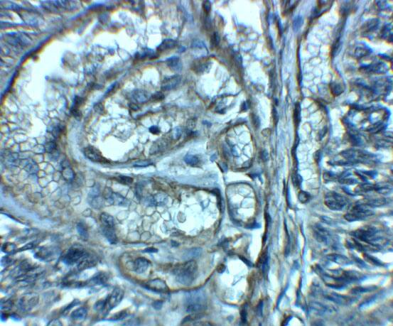
Immunohistochemistry: ENT2 Antibody - BSA Free [NBP2-81984] - Immunohistochemistry of ENT2 in human bladder tissue with ENT2 antibody at 2.5 ug/mL.Applications for ENT2 Antibody - BSA Free
Application
Recommended Usage
Immunocytochemistry/ Immunofluorescence
20 ug/ml
Immunohistochemistry
2.5 ug/ml
Western Blot
1-2 ug/ml
Formulation, Preparation, and Storage
Purification
Peptide affinity purified
Formulation
PBS
Format
BSA Free
Preservative
0.02% Sodium Azide
Concentration
1 mg/ml
Shipping
The product is shipped with polar packs. Upon receipt, store it immediately at the temperature recommended below.
Stability & Storage
Store at 4C short term. Aliquot and store at -20C long term. Avoid freeze-thaw cycles.
Background: ENT2
Long Name
Equilibrative nucleoside transporter 2
Alternate Names
DER12, HNP36, SLC29A2
Gene Symbol
SLC29A2
Additional ENT2 Products
Product Documents for ENT2 Antibody - BSA Free
Product Specific Notices for ENT2 Antibody - BSA Free
This product is for research use only and is not approved for use in humans or in clinical diagnosis. Primary Antibodies are guaranteed for 1 year from date of receipt.
Loading...
Loading...
Loading...
Loading...