ENT2 Antibody (7B2J3)
Novus Biologicals, part of Bio-Techne | Catalog # NBP3-33206
Key Product Details
Species Reactivity
Human, Mouse, Rat
Applications
Immunohistochemistry, Immunohistochemistry-Paraffin, ELISA, Immunocytochemistry/ Immunofluorescence
Label
Unconjugated
Antibody Source
Monoclonal Rabbit IgG Clone # 7B2J3
Concentration
Please see the vial label for concentration. If unlisted please contact technical services.
Product Specifications
Immunogen
A synthetic peptide corresponding to a sequence within amino acids 1-100 of human ENT2 (Q14542).
Sequence:
MARGDAPRDSYHLVGISFFILGLGTLLPWNFFITAIPYFQARLAGAGNSTARILSTNHTGPEDAFNFNNWVTLLSQLPLLLFTLLNSFLYQCVPETVRIL
Sequence:
MARGDAPRDSYHLVGISFFILGLGTLLPWNFFITAIPYFQARLAGAGNSTARILSTNHTGPEDAFNFNNWVTLLSQLPLLLFTLLNSFLYQCVPETVRIL
Clonality
Monoclonal
Host
Rabbit
Isotype
IgG
Theoretical MW
50 kDa.
Disclaimer note: The observed molecular weight of the protein may vary from the listed predicted molecular weight due to post translational modifications, post translation cleavages, relative charges, and other experimental factors.
Disclaimer note: The observed molecular weight of the protein may vary from the listed predicted molecular weight due to post translational modifications, post translation cleavages, relative charges, and other experimental factors.
Description
Novus Biologicals Rabbit ENT2 Antibody (7B2J3) (NBP3-33206) is a monoclonal antibody validated for use in IHC, ELISA and ICC/IF. All Novus Biologicals antibodies are covered by our 100% guarantee.
Scientific Data Images for ENT2 Antibody (7B2J3)
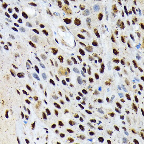
Immunohistochemistry: ENT2 Antibody (7B2J3) [NBP3-33206] -
Immunohistochemistry: ENT2 Antibody (7B2J3) [NBP3-33206] - Immunohistochemistry analysis of paraffin-embedded Rat ovary using ENT2 Rabbit mAb at dilution of 1:100 (40x lens). Microwave antigen retrieval performed with 0.01M Tris/EDTA Buffer (pH 9.0) prior to IHC staining.Immunohistochemistry: ENT2 Antibody (7B2J3) [NBP3-33206] -
Immunohistochemistry: ENT2 Antibody (7B2J3) [NBP3-33206] - Immunohistochemistry analysis of paraffin-embedded Human esophageal cancer using ENT2 Rabbit mAb at dilution of 1:100 (40x lens). Microwave antigen retrieval performed with 0.01M Tris/EDTA Buffer (pH 9.0) prior to IHC staining.Immunocytochemistry/ Immunofluorescence: ENT2 Antibody (7B2J3) [NBP3-33206] -
Immunocytochemistry/ Immunofluorescence: ENT2 Antibody (7B2J3) [NBP3-33206] - Confocal imaging of C2C12 cells using ENT2 Rabbit mAb followed by a further incubation with Cy3 Goat Anti-Rabbit IgG (H+L) . The cells were counterstained with alpha-Tubulin Mouse mAb followed by incubation with ABflo(R) 488-conjugated Goat Anti-Mouse IgG (H+L) Ab (Green). DAPI was used for nuclear staining (Blue). Objective: 100x.Applications for ENT2 Antibody (7B2J3)
Application
Recommended Usage
ELISA
Recommended starting concentration is 1 ug/mL
Immunocytochemistry/ Immunofluorescence
1:50 - 1:200
Immunohistochemistry-Paraffin
1:50 - 1:200
Formulation, Preparation, and Storage
Purification
Affinity purified
Formulation
PBS (pH 7.3), 50% glycerol, 0.05% BSA
Preservative
0.02% Sodium Azide
Concentration
Please see the vial label for concentration. If unlisted please contact technical services.
Shipping
The product is shipped with polar packs. Upon receipt, store it immediately at the temperature recommended below.
Stability & Storage
Store at -20C. Avoid freeze-thaw cycles.
Background: ENT2
Long Name
Equilibrative nucleoside transporter 2
Alternate Names
DER12, HNP36, SLC29A2
Gene Symbol
SLC29A2
Additional ENT2 Products
Product Documents for ENT2 Antibody (7B2J3)
Product Specific Notices for ENT2 Antibody (7B2J3)
This product is for research use only and is not approved for use in humans or in clinical diagnosis. Primary Antibodies are guaranteed for 1 year from date of receipt.
Loading...
Loading...
Loading...
Loading...