Skip to main content

Enolase 2/Neuron-specific Enolase Antibody (ENO2/1375) - Azide and BSA Free

Novus Biologicals, part of Bio-Techne | Catalog # NBP2-54452

Novus Biologicals, part of Bio-Techne
Catalog #
Availability
Size / Price
Qty
Loading...
NBP2-54452-100ug
Conjugate
Catalog #

Key Product Details

Species Reactivity

Human, Mouse, Rat

Applications

Immunohistochemistry, Immunohistochemistry-Paraffin, Western Blot, Flow Cytometry, Flow (Intracellular), CyTOF-ready

Label

Unconjugated

Antibody Source

Monoclonal Mouse IgG2b Kappa Clone # ENO2/1375

Format

Azide and BSA Free

Concentration

1 mg/ml

Product Specifications

Immunogen

A synthetic peptide of human Enolase 2/Neuron-specific Enolase (around aa416-433) (exact sequence is proprietary) (Uniprot: P09104)

Localization

Cytoplasmic

Marker

Neuroendocrine Marker

Clonality

Monoclonal

Host

Mouse

Isotype

IgG2b Kappa

Theoretical MW

50 kDa.
Disclaimer note: The observed molecular weight of the protein may vary from the listed predicted molecular weight due to post translational modifications, post translation cleavages, relative charges, and other experimental factors.

Description

1.0 mg/ml of antibody purified from Bioreactor Concentrate by Protein A/G. Prepared in 10mM PBS WITHOUT BSA & azide. Also available at 200 ug/ml WITH BSA & azide (NBP2-47635).

Antibody with azide - store at 2 to 8C. Antibody without azide - store at -20 to -80C.

Scientific Data Images

Western Blot: Enolase 2/Neuron-specific Enolase Antibody (ENO2/1375)Azide and BSA Free [NBP2-54452]

Western Blot: Enolase 2/Neuron-specific Enolase Antibody (ENO2/1375)Azide and BSA Free [NBP2-54452]

Western Blot: Enolase 2/Neuron-specific Enolase Antibody (ENO2/1375) - Azide and BSA Free [NBP2-54452] - Y79, HeLa and HepG2 Cell Lysate using NSE, gamma Monoclonal Antibody (ENO2/1375).
Immunohistochemistry-Paraffin: Enolase 2/Neuron-specific Enolase Antibody (ENO2/1375) - Azide and BSA Free [NBP2-54452]

Immunohistochemistry-Paraffin: Enolase 2/Neuron-specific Enolase Antibody (ENO2/1375) - Azide and BSA Free [NBP2-54452]

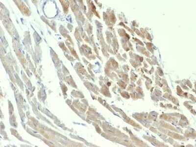
Immunohistochemistry-Paraffin: Enolase 2/Neuron-specific Enolase Antibody (ENO2/1375) - Azide and BSA Free [NBP2-54452] - Formalin-fixed, paraffin-embedded Rat Heart stained with Formalin-fixed, paraffin-embedded Rat Heart stained with NSE gamma Monoclonal Antibody (ENO2/1375).
Immunohistochemistry-Paraffin: Enolase 2/Neuron-specific Enolase Antibody (ENO2/1375) - Azide and BSA Free [NBP2-54452]

Immunohistochemistry-Paraffin: Enolase 2/Neuron-specific Enolase Antibody (ENO2/1375) - Azide and BSA Free [NBP2-54452]

Immunohistochemistry-Paraffin: Enolase 2/Neuron-specific Enolase Antibody (ENO2/1375) - Azide and BSA Free [NBP2-54452] - Formalin-fixed, paraffin-embedded Human Cerebellum stained with NSE gamma Monoclonal Antibody (ENO2/1375).

Applications

Application
Recommended Usage

Flow Cytometry

0.5 - 1 ug/million cells

Immunohistochemistry-Paraffin

0.1 - 0.2 ug/ml

Western Blot

0.5 - 1 ug/ml
Application Notes
Immunohistochemistry (Formalin-fixed): 0.2-0.4ug/ml for 30 min at RT. Staining of formalin-fixed tissues requires heating tissue sections in 10mM Tris with 1mM EDTA, pH 9.0, for 45 min at 95C followed by cooling at RT for 20 minutes.
Optimal dilution for a specific application should be determined.

Formulation, Preparation, and Storage

Purification

Protein A or G purified

Formulation

10 mM PBS

Format

Azide and BSA Free

Preservative

No Preservative

Concentration

1 mg/ml

Shipping

The product is shipped with polar packs. Upon receipt, store it immediately at the temperature recommended below.

Stability & Storage

Store at -20 to -80C. Avoid freeze-thaw cycles.

Background: Enolase 2/Neuron-specific Enolase

Neuron-specific enolase (NSE) is a glycolytic isoenzyme which is located in central and peripheral neurons and neuroendocrine cells. This enzyme is released into the CSF when neural tissue is injured. Neoplasms derived from neural or neuroendocrine tissue may release NSE into the blood. NSE is a useful substance that has been detected in patients with certain tumors, namely: neuroblastoma, small cell lung cancer, medullary thyroid cancer, carcinoid tumors, pancreatic endocrine tumors, and melanoma. Recombinant NSE was expressed in E.coli and purified by conventional chromatography techniques.

Alternate Names

ENO2, gamma-Enolase, Neuronspecific Enolase, NSE

Gene Symbol

ENO2

Additional Enolase 2/Neuron-specific Enolase Products

Product Documents

Certificate of Analysis

To download a Certificate of Analysis, please enter a lot number in the search box below.

Product Specific Notices

This product is for research use only and is not approved for use in humans or in clinical diagnosis. Primary Antibodies are guaranteed for 1 year from date of receipt.

Loading...
Loading...
Loading...
Loading...
Loading...