Skip to main content

Enolase 1 Antibody (SR1812) - BSA Free

Novus Biologicals, part of Bio-Techne | Catalog # NBP3-21624

Recombinant Monoclonal Antibody
Novus Biologicals, part of Bio-Techne
Catalog #
Availability
Size / Price
Qty
Loading...
NBP3-21624-100ul
NBP3-21624-50ul

Key Product Details

Species Reactivity

Human, Mouse, Rat

Applications

Western Blot, Immunocytochemistry/ Immunofluorescence, Immunoprecipitation

Label

Unconjugated

Antibody Source

Recombinant Monoclonal Rabbit IgG Clone # SR1812 expressed in HEK293

Format

BSA Free

Concentration

Please see the vial label for concentration. If unlisted please contact technical services.

Product Specifications

Immunogen

A synthesized peptide derived from human Enolase 1 (Uniprot #: P06733 )

Specificity

Detects endogenous levels of total Enolase 1

Clonality

Monoclonal

Host

Rabbit

Isotype

IgG

Theoretical MW

47 kDa.
Disclaimer note: The observed molecular weight of the protein may vary from the listed predicted molecular weight due to post translational modifications, post translation cleavages, relative charges, and other experimental factors.

Description

Novus Biologicals Rabbit Enolase 1 Antibody (SR1812) - BSA Free (NBP3-21624) is a recombinant monoclonal antibody validated for use in WB, ICC/IF and IP. All Novus Biologicals antibodies are covered by our 100% guarantee.

Scientific Data Images for Enolase 1 Antibody (SR1812) - BSA Free

Western Blot: Enolase 1 Antibody (SR1812) [NBP3-21624] -

Western Blot: Enolase 1 Antibody (SR1812) [NBP3-21624] - Western blot analysis using NBP3-21624 in (1)MCF-7 whole cell lysate; (2)Rat brain tissue lysate.

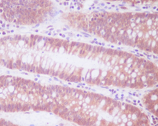
Immunohistochemistry: Enolase 1 Antibody (SR1812) [NBP3-21624] -

Immunohistochemistry: Enolase 1 Antibody (SR1812) [NBP3-21624] - Immunohistochemical analysis of paraffin-embedded human colon, using NBP3-21624.

Applications for Enolase 1 Antibody (SR1812) - BSA Free

Application
Recommended Usage

Immunocytochemistry/ Immunofluorescence

1:50-1:200

Immunoprecipitation

1:50

Western Blot

1:500-1:2000

Formulation, Preparation, and Storage

Purification

Affinity purified

Formulation

PBS, pH 7.4, 150mM NaCl, 50% glycerol.

Format

BSA Free

Preservative

0.02% Sodium Azide

Concentration

Please see the vial label for concentration. If unlisted please contact technical services.

Shipping

The product is shipped with polar packs. Upon receipt, store it immediately at the temperature recommended below.

Stability & Storage

Store at 4C short term. Aliquot and store at -20C long term. Avoid freeze-thaw cycles.

Background: Enolase 1

Enolase 1 encodes one of three enolase isoenzymes found in mammals; it encodes alpha-enolase, a homodimeric soluble enzyme, and also encodes a shorter monomeric structural lens protein, tau-crystallin. The two proteins are made from the same message. The full length protein, the isoenzyme, is found in the cytoplasm. The shorter protein is produced from an alternative translation start, is localized to the nucleus, and has been found to bind to an element in the c-myc promoter. A pseudogene has been identified that is located on the other arm of the same chromosome.

Alternate Names

2-phospho-D-glycerate hydro-lyase, Alpha enolase, C-myc promoter-binding protein, c-myc promoter-binding protein-1, EC 4.2.1, EC 4.2.1.11, ENO1L1, Enolase 1, enolase 1, (alpha), MBP-1, MBPB1, MPB-1, MPB1c-myc promoter-binding protein 1, MYC promoter-binding protein 1, NNE, Non-neural enolase, Phosphopyruvate hydratase, Plasminogen-binding protein, PPHalpha enolase like 1, tau-crystallin

Gene Symbol

ENO1

Additional Enolase 1 Products

Product Documents for Enolase 1 Antibody (SR1812) - BSA Free

Certificate of Analysis

To download a Certificate of Analysis, please enter a lot number in the search box below.

Product Specific Notices for Enolase 1 Antibody (SR1812) - BSA Free

This product is for research use only and is not approved for use in humans or in clinical diagnosis. Primary Antibodies are guaranteed for 1 year from date of receipt.

Loading...
Loading...
Loading...
Loading...