Skip to main content

enkurin Antibody - BSA Free

Novus Biologicals, part of Bio-Techne | Catalog # NBP1-89911

Novus Biologicals, part of Bio-Techne
Catalog #
Availability
Size / Price
Qty
Loading...
NBP1-89911
NBP1-89911-25ul

Key Product Details

Validated by

Orthogonal Validation, Independent Antibodies

Species Reactivity

Validated:

Human

Predicted:

Mouse (92%). Backed by our 100% Guarantee.

Applications

Immunohistochemistry, Immunohistochemistry-Paraffin, Western Blot

Label

Unconjugated

Antibody Source

Polyclonal Rabbit IgG

Format

BSA Free

Concentration

Concentrations vary lot to lot. See vial label for concentration. If unlisted please contact technical services.

Product Specifications

Immunogen

This antibody was developed against Recombinant Protein corresponding to amino acids: PAVPLKTDHPVMGIQSGKNFINTNAADIIMGVAKKPKPIYVDKRTGDKHDLEPSGLVPKYINKKDYGVTPEYICKRNEE

Reactivity Notes

Immunogen displays the following percentage of sequence identity for non-tested species: Rat (87%)

Clonality

Polyclonal

Host

Rabbit

Isotype

IgG

Description

Novus Biologicals Rabbit enkurin Antibody - BSA Free (NBP1-89911) is a polyclonal antibody validated for use in IHC and WB. All Novus Biologicals antibodies are covered by our 100% guarantee.

Scientific Data Images for enkurin Antibody - BSA Free

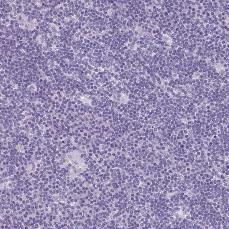
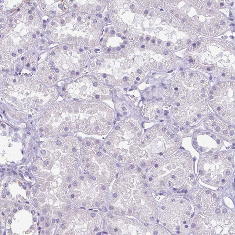
enkurin Antibody - BSA Free Immunohistochemistry-Paraffin: enkurin Antibody - BSA Free [NBP1-89911]

Immunohistochemistry-Paraffin: enkurin Antibody - BSA Free [NBP1-89911]

Staining of human colon, fallopian tube, kidney and lymph node using Anti-ENKUR antibody NBP1-89911 (A) shows similar protein distribution across tissues to independent antibody NBP2-34037 (B).
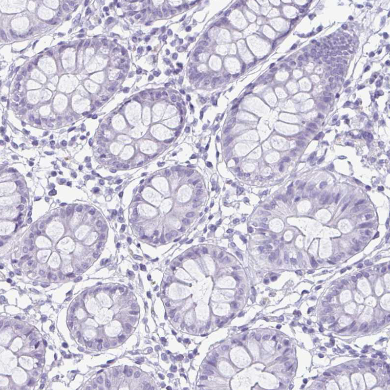
enkurin Antibody - BSA Free Immunohistochemistry-Paraffin: enkurin Antibody - BSA Free [NBP1-89911]

Immunohistochemistry-Paraffin: enkurin Antibody - BSA Free [NBP1-89911]

Analysis in human fallopian tube and colon tissues using NBP1-89911 antibody. Corresponding ENKUR RNA-seq data are presented for the same tissues.
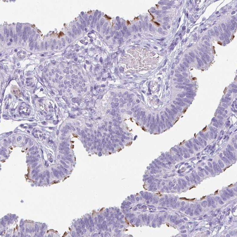
enkurin Antibody - BSA Free Immunohistochemistry-Paraffin: enkurin Antibody - BSA Free [NBP1-89911]

Immunohistochemistry-Paraffin: enkurin Antibody - BSA Free [NBP1-89911]

Staining of human fallopian tube shows moderate positivity in ciliated cells.

Applications for enkurin Antibody - BSA Free

Application
Recommended Usage

Immunohistochemistry

1:1000 - 1:2500

Immunohistochemistry-Paraffin

1:1000 - 1:2500

Western Blot

0.04-0.4 ug/ml
Application Notes
For IHC-Paraffin, HIER pH 6 retrieval is recommended.

Formulation, Preparation, and Storage

Purification

Affinity purified

Formulation

PBS (pH 7.2) and 40% Glycerol

Format

BSA Free

Preservative

0.02% Sodium Azide

Concentration

Concentrations vary lot to lot. See vial label for concentration. If unlisted please contact technical services.

Shipping

The product is shipped with polar packs. Upon receipt, store it immediately at the temperature recommended below.

Stability & Storage

Store at 4C short term. Aliquot and store at -20C long term. Avoid freeze-thaw cycles.

Background: enkurin

Enkurin interacts with transient receptor potential canonical (TRPC) cation channels (see TRPC1; MIM 602343) and functions as an adapter protein, tethering signal transduction proteins to TRPC channels (Sutton et al., 2004 [PubMed 15385169]).[supplied by OMIM]

Alternate Names

C10orf63DKFZp781F21103, chromosome 10 open reading frame 63, enkurin, enkurin, TRPC channel interacting protein, MGC26778

Gene Symbol

ENKUR

Additional enkurin Products

Product Documents for enkurin Antibody - BSA Free

Certificate of Analysis

To download a Certificate of Analysis, please enter a lot number in the search box below.

Product Specific Notices for enkurin Antibody - BSA Free

This product is for research use only and is not approved for use in humans or in clinical diagnosis. Primary Antibodies are guaranteed for 1 year from date of receipt.

Loading...
Loading...
Loading...
Loading...