Skip to main content

Endophilin B1/Bif-1 Antibody - BSA Free

Novus Biologicals, part of Bio-Techne | Catalog # NBP1-89973

Novus Biologicals, part of Bio-Techne
Catalog #
Availability
Size / Price
Qty
Loading...
NBP1-89973

Key Product Details

Validated by

Orthogonal Validation

Species Reactivity

Validated:

Human, Rat

Predicted:

Mouse (90%). Backed by our 100% Guarantee.

Applications

Immunohistochemistry, Immunohistochemistry-Paraffin, Western Blot

Label

Unconjugated

Antibody Source

Polyclonal Rabbit IgG

Format

BSA Free

Concentration

Concentrations vary lot to lot. See vial label for concentration. If unlisted please contact technical services.

Product Specifications

Immunogen

This antibody was developed against Recombinant Protein corresponding to amino acids: THAHHLRCLNDFVEAQMTYYAQCYQYMLDLQKQLGSFPSNYLSNNNQTSVTPVPSVLPNAIGSSAMASTSGLVITSPSNLSDLKECSGSRKARVLYDYDAANSTELSLLADEVITVFSVVGMDSD

Reactivity Notes

Immunogen displays the following percentage of sequence identity for non-tested species: Rat (87%)

Clonality

Polyclonal

Host

Rabbit

Isotype

IgG

Scientific Data Images for Endophilin B1/Bif-1 Antibody - BSA Free

Endophilin B1/Bif-1 Antibody - BSA Free Immunohistochemistry-Paraffin: Endophilin B1/Bif-1 Antibody - BSA Free [NBP1-89973]

Immunohistochemistry-Paraffin: Endophilin B1/Bif-1 Antibody - BSA Free [NBP1-89973]

Analysis in human testis and pancreas tissues using Anti-SH3GLB1 antibody. Corresponding SH3GLB1 RNA-seq data are presented for the same tissues.
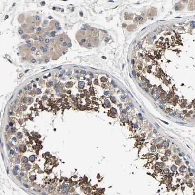
Immunohistochemistry-Paraffin: Endophilin B1/Bif-1 Antibody [NBP1-89973]

Immunohistochemistry-Paraffin: Endophilin B1/Bif-1 Antibody [NBP1-89973]

Immunohistochemistry-Paraffin: Endophilin B1/Bif-1 Antibody [NBP1-89973] - Staining of human testis shows distinct cytoplasmic positivity in cells in seminiferus ducts.
Immunohistochemistry-Paraffin: Endophilin B1/Bif-1 Antibody [NBP1-89973]

Immunohistochemistry-Paraffin: Endophilin B1/Bif-1 Antibody [NBP1-89973]

Immunohistochemistry-Paraffin: Endophilin B1/Bif-1 Antibody [NBP1-89973] - Staining of human pancreas shows low expression as expected.

Applications for Endophilin B1/Bif-1 Antibody - BSA Free

Application
Recommended Usage

Immunohistochemistry

1:50 - 1:200

Immunohistochemistry-Paraffin

1:50 - 1:200

Western Blot

0.04-0.4 ug/ml
Application Notes
For IHC-Paraffin, HIER pH 6 retrieval is recommended.

Formulation, Preparation, and Storage

Purification

Affinity purified

Formulation

PBS (pH 7.2) and 40% Glycerol

Format

BSA Free

Preservative

0.02% Sodium Azide

Concentration

Concentrations vary lot to lot. See vial label for concentration. If unlisted please contact technical services.

Shipping

The product is shipped with polar packs. Upon receipt, store it immediately at the temperature recommended below.

Stability & Storage

Store at 4C short term. Aliquot and store at -20C long term. Avoid freeze-thaw cycles.

Background: Endophilin B1/Bif-1

Bif-1/Endophilin-B1 may be required for normal outer mitochondrial membrane dynamics. Required for coatomer-mediated retrograde transport in certain cells. May recruit other proteins to membraneswith high curvature. May promote membrane fusion

Long Name

SH3-domain GRB2-like Endophilin B1/Bax-interacting Factor 1

Alternate Names

Bif-1, Bif1, SH3GLB1

Gene Symbol

SH3GLB1

Additional Endophilin B1/Bif-1 Products

Product Documents for Endophilin B1/Bif-1 Antibody - BSA Free

Certificate of Analysis

To download a Certificate of Analysis, please enter a lot number in the search box below.

Product Specific Notices for Endophilin B1/Bif-1 Antibody - BSA Free

This product is for research use only and is not approved for use in humans or in clinical diagnosis. Primary Antibodies are guaranteed for 1 year from date of receipt.

Loading...
Loading...
Loading...
Loading...