Endophilin B1/Bif-1 Antibody - BSA Free
Novus Biologicals, part of Bio-Techne | Catalog # NBP1-89972
Key Product Details
Species Reactivity
Validated:
Human
Predicted:
Mouse (100%), Rat (100%). Backed by our 100% Guarantee.
Applications
Immunohistochemistry, Immunohistochemistry-Paraffin, Western Blot, Immunocytochemistry/ Immunofluorescence
Label
Unconjugated
Antibody Source
Polyclonal Rabbit IgG
Format
BSA Free
Concentration
Concentrations vary lot to lot. See vial label for concentration. If unlisted please contact technical services.
Product Specifications
Immunogen
This antibody was developed against Recombinant Protein corresponding to amino acids: DRKAPSRINNPELLGQYMIDAGTEFGPGTAYGNALIKCGETQKRIGTADRELIQTSALNFLTPLRNFIEGDYKTIAKER
Clonality
Polyclonal
Host
Rabbit
Isotype
IgG
Description
Novus Biologicals Rabbit Endophilin B1/Bif-1 Antibody - BSA Free (NBP1-89972) is a polyclonal antibody validated for use in IHC, WB and ICC/IF. All Novus Biologicals antibodies are covered by our 100% guarantee.
Scientific Data Images for Endophilin B1/Bif-1 Antibody - BSA Free
Immunocytochemistry/ Immunofluorescence: Endophilin B1/Bif-1 Antibody [NBP1-89972]
Immunocytochemistry/Immunofluorescence: Endophilin B1/Bif-1 Antibody [NBP1-89972] - Staining of human cell line U-251 MG shows localization to cytosol. Antibody staining is shown in green.Immunohistochemistry-Paraffin: Endophilin B1/Bif-1 Antibody - BSA Free [NBP1-89972]
Staining of human skeletal muscle shows strong cytoplasmic positivity in myocytes.Immunohistochemistry-Paraffin: Endophilin B1/Bif-1 Antibody - BSA Free [NBP1-89972]
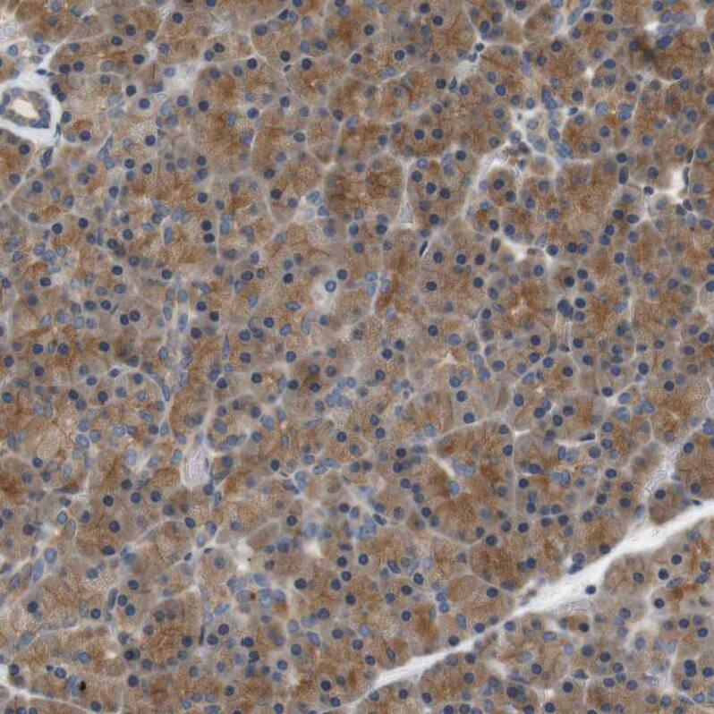
Staining of human pancreas show strong cytoplasmic positivity in exocrine glandular cells.Applications for Endophilin B1/Bif-1 Antibody - BSA Free
Application
Recommended Usage
Immunocytochemistry/ Immunofluorescence
0.25-2 ug/ml
Immunohistochemistry
1:50 - 1:200
Immunohistochemistry-Paraffin
1:50 - 1:200
Western Blot
0.04-0.4 ug/ml
Application Notes
For IHC-Paraffin, HIER pH 6 retrieval is recommended. ICC/IF, Fixation Permeabilization: Use PFA/Triton X-100.
Formulation, Preparation, and Storage
Purification
Affinity purified
Formulation
PBS (pH 7.2) and 40% Glycerol
Format
BSA Free
Preservative
0.02% Sodium Azide
Concentration
Concentrations vary lot to lot. See vial label for concentration. If unlisted please contact technical services.
Shipping
The product is shipped with polar packs. Upon receipt, store it immediately at the temperature recommended below.
Stability & Storage
Store at 4C short term. Aliquot and store at -20C long term. Avoid freeze-thaw cycles.
Background: Endophilin B1/Bif-1
Long Name
SH3-domain GRB2-like Endophilin B1/Bax-interacting Factor 1
Alternate Names
Bif-1, Bif1, SH3GLB1
Gene Symbol
SH3GLB1
Additional Endophilin B1/Bif-1 Products
Product Documents for Endophilin B1/Bif-1 Antibody - BSA Free
Product Specific Notices for Endophilin B1/Bif-1 Antibody - BSA Free
This product is for research use only and is not approved for use in humans or in clinical diagnosis. Primary Antibodies are guaranteed for 1 year from date of receipt.
Loading...
Loading...
Loading...
Loading...