Endophilin A1/SH3GL2 Antibody - BSA Free
Novus Biologicals, part of Bio-Techne | Catalog # NBP2-38996
Key Product Details
Validated by
Orthogonal Validation
Species Reactivity
Validated:
Human
Predicted:
Mouse (100%), Rat (100%). Backed by our 100% Guarantee.
Applications
Immunohistochemistry, Immunohistochemistry-Paraffin
Label
Unconjugated
Antibody Source
Polyclonal Rabbit IgG
Format
BSA Free
Concentration
Concentrations vary lot to lot. See vial label for concentration. If unlisted please contact technical services.
Product Specifications
Immunogen
This antibody was developed against a recombinant protein corresponding to amino acids: QEKGPGYPQAEALLAEAMLKFGRELGDDCNFGPALGEVGEAMRELS
Clonality
Polyclonal
Host
Rabbit
Isotype
IgG
Description
Novus Biologicals Rabbit Endophilin A1/SH3GL2 Antibody - BSA Free (NBP2-38996) is a polyclonal antibody validated for use in IHC. All Novus Biologicals antibodies are covered by our 100% guarantee.
Scientific Data Images for Endophilin A1/SH3GL2 Antibody - BSA Free
Immunohistochemistry-Paraffin: Endophilin A1/SH3GL2 Antibody [NBP2-38996]
Immunohistochemistry-Paraffin: Endophilin A1/SH3GL2 Antibody [NBP2-38996] - Staining of human pancreas shows low expression as expected.Immunohistochemistry: Endophilin A1/SH3GL2 Antibody [NBP2-38996]
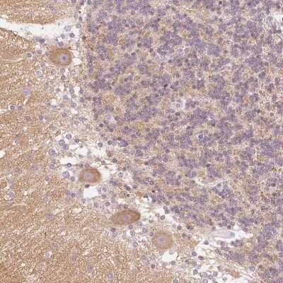
Immunohistochemistry: Endophilin A1/SH3GL2 Antibody [NBP2-38996] - Staining of human cerebellum shows moderate cytoplasmic positivity in Purkinje cells.Immunohistochemistry-Paraffin: Endophilin A1/SH3GL2 Antibody [NBP2-38996]
Immunohistochemistry-Paraffin: Endophilin A1/SH3GL2 Antibody [NBP2-38996] - Staining of human cerebral cortex shows high expression.Applications for Endophilin A1/SH3GL2 Antibody - BSA Free
Application
Recommended Usage
Immunohistochemistry
1:500 - 1:1000
Immunohistochemistry-Paraffin
1:500 - 1:1000
Application Notes
For IHC-Paraffin, HIER pH 6 retrieval is recommended.
Formulation, Preparation, and Storage
Purification
Affinity purified
Formulation
PBS (pH 7.2) and 40% Glycerol
Format
BSA Free
Preservative
0.02% Sodium Azide
Concentration
Concentrations vary lot to lot. See vial label for concentration. If unlisted please contact technical services.
Shipping
The product is shipped with polar packs. Upon receipt, store it immediately at the temperature recommended below.
Stability & Storage
Store at 4C short term. Aliquot and store at -20C long term. Avoid freeze-thaw cycles.
Background: Endophilin A1/SH3GL2
Long Name
SH3-domain GRB2-like 2
Alternate Names
CNSA2, EEN-B1, Endophilin-1, SH3D2A, SH3GL2, SH3P4
Gene Symbol
SH3GL2
UniProt
Additional Endophilin A1/SH3GL2 Products
Product Documents for Endophilin A1/SH3GL2 Antibody - BSA Free
Product Specific Notices for Endophilin A1/SH3GL2 Antibody - BSA Free
This product is for research use only and is not approved for use in humans or in clinical diagnosis. Primary Antibodies are guaranteed for 1 year from date of receipt.
Loading...
Loading...
Loading...
Loading...