Skip to main content

EML4 Antibody - BSA Free

Novus Biologicals, part of Bio-Techne | Catalog # NBP2-39055

Novus Biologicals, part of Bio-Techne
Catalog #
Availability
Size / Price
Qty
Loading...
NBP2-39055
NBP2-39055-25ul

Key Product Details

Validated by

Orthogonal Validation, Independent Antibodies

Species Reactivity

Validated:

Human

Predicted:

Mouse (94%), Rat (95%). Backed by our 100% Guarantee.

Applications

Immunohistochemistry, Immunohistochemistry-Paraffin, Western Blot

Label

Unconjugated

Antibody Source

Polyclonal Rabbit IgG

Format

BSA Free

Concentration

Concentrations vary lot to lot. See vial label for concentration. If unlisted please contact technical services.

Product Specifications

Immunogen

This antibody was developed against a recombinant protein corresponding to amino acids: GGVMLIWSKTTVEPTPGKGPKGVYQISKQIKAHDGSVFTLCQMRNGMLLTGGGKDRKIILWDHDLNPEREIEVPDQYGTI

Clonality

Polyclonal

Host

Rabbit

Isotype

IgG

Description

Novus Biologicals Rabbit EML4 Antibody - BSA Free (NBP2-39055) is a polyclonal antibody validated for use in IHC and WB. All Novus Biologicals antibodies are covered by our 100% guarantee.

Scientific Data Images for EML4 Antibody - BSA Free

Western Blot: EML4 Antibody [NBP2-39055]

Western Blot: EML4 Antibody [NBP2-39055]

Western Blot: EML4 Antibody [NBP2-39055] - Lane 1: Marker [kDa] 250, 130, 100, 70, 55, 35, 25, 15, 10
Lane 2: Human cell line HepG2
Immunohistochemistry-Paraffin: EML4 Antibody [NBP2-39055]

Immunohistochemistry-Paraffin: EML4 Antibody [NBP2-39055]

Immunohistochemistry-Paraffin: EML4 Antibody [NBP2-39055] - Staining of human gallbladder.
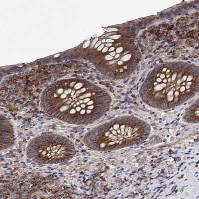
Immunohistochemistry-Paraffin: EML4 Antibody [NBP2-39055]

Immunohistochemistry-Paraffin: EML4 Antibody [NBP2-39055]

Immunohistochemistry-Paraffin: EML4 Antibody [NBP2-39055] - Staining of human appendix shows high expression.

Applications for EML4 Antibody - BSA Free

Application
Recommended Usage

Immunohistochemistry

1:2500 - 1:5000

Immunohistochemistry-Paraffin

1:2500 - 1:5000

Western Blot

0.04-0.4 ug/ml
Application Notes
For IHC-Paraffin, HIER pH 6 retrieval is recommended.

Formulation, Preparation, and Storage

Purification

Immunogen affinity purified

Formulation

PBS (pH 7.2) and 40% Glycerol

Format

BSA Free

Preservative

0.02% Sodium Azide

Concentration

Concentrations vary lot to lot. See vial label for concentration. If unlisted please contact technical services.

Shipping

The product is shipped with polar packs. Upon receipt, store it immediately at the temperature recommended below.

Stability & Storage

Store at 4C short term. Aliquot and store at -20C long term. Avoid freeze-thaw cycles.

Background: EML4

Echinoderm microtubule associated protein like 4 (EML4) has been identified as part of a gene fusion with the kinase domain of the anaplastic lymphoma receptor tyrosine kinase (ALK) in non-small cell lung cancer. EML4 associates with in vitro polymerized microtubules. In the cell, phosphorylated EML4 associates with the mitotic spindle and is essential for proliferation and microtubule network formation. Alternative names for EML4 include EMAPL4, ropp120, C2orf2, ELP120, and EMAP-4.

Alternate Names

C2orf2, echinoderm microtubule associated protein like 4, echinoderm microtubule-associated protein-like 4, ELP120, EMAP-4, EMAPL4, FLJ10942, FLJ32318, Restrictedly overexpressed proliferation-associated protein, Ropp 120, ROPP120DKFZp686P18118

Gene Symbol

EML4

UniProt

Additional EML4 Products

Product Documents for EML4 Antibody - BSA Free

Certificate of Analysis

To download a Certificate of Analysis, please enter a lot number in the search box below.

Product Specific Notices for EML4 Antibody - BSA Free

This product is for research use only and is not approved for use in humans or in clinical diagnosis. Primary Antibodies are guaranteed for 1 year from date of receipt.

Loading...
Loading...
Loading...
Loading...