Skip to main content

ELMO2 Antibody

Novus Biologicals, part of Bio-Techne | Catalog # NB100-879

Novus Biologicals, part of Bio-Techne
Catalog #
Availability
Size / Price
Qty
Loading...
NB100-879

Key Product Details

Species Reactivity

Validated:

Human

Cited:

Human

Predicted:

Bovine (100%), Canine (100%), Mouse (100%), Porcine (100%), Rat (100%). Backed by our 100% Guarantee.

Applications

Validated:

Immunohistochemistry, Immunohistochemistry-Paraffin, Western Blot, Peptide ELISA, Immunocytochemistry/ Immunofluorescence

Cited:

Western Blot, Immunocytochemistry/ Immunofluorescence

Label

Unconjugated

Antibody Source

Polyclonal Goat IgG

Concentration

0.5 mg/ml

Product Specifications

Immunogen

Peptide with sequence C-PKEPSSYDFVYHYG corresponding to C-Terminus according to NP_877496.1, NP_573403.1.

Epitope

C-PKEPSSYDFVYHYG

Specificity

NP_877496.1 and NP_573403.1 are varients that encode the same protein.

Clonality

Polyclonal

Host

Goat

Isotype

IgG

Scientific Data Images for ELMO2 Antibody

Western Blot: ELMO2 Antibody [NB100-879]

Western Blot: ELMO2 Antibody [NB100-879]

Western Blot: ELMO2 Antibody [NB100-879] - Analysis of ELMO in Human Brain lysate (RIPA buffer, 30ug total protein per lane). Primary incubated for 12 hour. Detected by western blot using chemiluminescence.
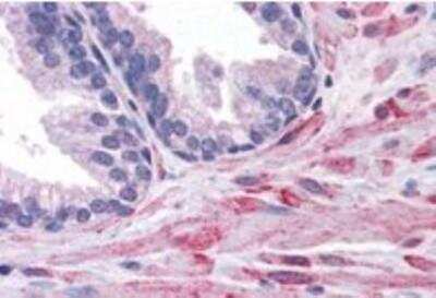
Immunohistochemistry-Paraffin: ELMO2 Antibody [NB100-879]

Immunohistochemistry-Paraffin: ELMO2 Antibody [NB100-879]

Immunohistochemistry-Paraffin: ELMO2 Antibody [NB100-879] - Staining of Human Prostate. Steamed antigen retrieval with citrate buffer pH 6, AP-staining.

Applications for ELMO2 Antibody

Application
Recommended Usage

Immunocytochemistry/ Immunofluorescence

1:10 - 1:500

Immunohistochemistry

3 - 6 ug/ml

Immunohistochemistry-Paraffin

3 - 6 ug/ml

Peptide ELISA

Detection limit 1:32000

Western Blot

1 - 3 ug/ml
Application Notes
WB: Approx. 80 kDa band observed in human brain lysate. IHC-P: Human prostate shows pixulated staining in the cytoplasm of stroma cells.

Formulation, Preparation, and Storage

Purification

Immunogen affinity purified

Formulation

Tris saline (20 mM Tris pH 7.3, 150 mM NaCl), 0.5% BSA

Preservative

0.02% Sodium Azide

Concentration

0.5 mg/ml

Shipping

The product is shipped with polar packs. Upon receipt, store it immediately at the temperature recommended below.

Stability & Storage

Store at -20C. Avoid freeze-thaw cycles.

Background: ELMO2

The protein encoded by this gene interacts with the dedicator of cyto-kinesis 1 protein to promote phagocytosis and effect cell shape changes. Similarity to a C. elegans protein suggests that this protein may function in apoptosis and in cell migration. Alternative splicing of this gene results in multiple transcript variants encoding different isoforms.

Alternate Names

ced-12 homolog 2, CED12A, ELMO-2, engulfment and cell motility 2, engulfment and cell motility 2 (ced-12 homolog, C. elegans), engulfment and cell motility protein 2, FLJ11656, hCed-12A, KIAA1834CED12CED-12, PH domain protein CED12A, Protein ced-12 homolog A

Entrez Gene IDs

63916 (Human); 140579 (Mouse)

Gene Symbol

ELMO2

Additional ELMO2 Products

Product Documents for ELMO2 Antibody

Certificate of Analysis

To download a Certificate of Analysis, please enter a lot number in the search box below.

Product Specific Notices for ELMO2 Antibody

This product is for research use only and is not approved for use in humans or in clinical diagnosis. Primary Antibodies are guaranteed for 1 year from date of receipt.

Loading...
Loading...
Loading...
Loading...