Skip to main content

ELK4 Antibody - BSA Free

Novus Biologicals, part of Bio-Techne | Catalog # NBP1-87092

Novus Biologicals, part of Bio-Techne
Catalog #
Availability
Size / Price
Qty
Loading...
NBP1-87092-25ul
NBP1-87092

Key Product Details

Species Reactivity

Human

Applications

Immunohistochemistry, Immunohistochemistry-Paraffin, Western Blot, Immunocytochemistry/ Immunofluorescence, Chromatin Immunoprecipitation-exo-Seq

Label

Unconjugated

Antibody Source

Polyclonal Rabbit IgG

Format

BSA Free

Concentration

Concentrations vary lot to lot. See vial label for concentration. If unlisted please contact technical services.

Product Specifications

Immunogen

This antibody was developed against Recombinant Protein corresponding to amino acids: MDPMTVGRIEGDCESLNFSEVSSSSKDVENGGKDKPPQPGAKTSSRNDYIHSGLYSSFTLNSLNSSNVKLFKLIKTENPAEKLAEKKSPQEPTPSVIKFVTTPSKKPPVEPVAATISIGPS

Reactivity Notes

Immunogen displays the following percentage of sequence identity for non-tested species: Mouse (82%), Rat (80%)

Clonality

Polyclonal

Host

Rabbit

Isotype

IgG

Description

Novus Biologicals Rabbit ELK4 Antibody - BSA Free (NBP1-87092) is a polyclonal antibody validated for use in IHC, WB and ICC/IF. All Novus Biologicals antibodies are covered by our 100% guarantee.

Scientific Data Images for ELK4 Antibody - BSA Free

Western Blot: ELK4 Antibody [NBP1-87092]

Western Blot: ELK4 Antibody [NBP1-87092]

Western Blot: ELK4 Antibody [NBP1-87092] - Analysis in control (vector only transfected HEK293T lysate) and ELK4 over-expression lysate (Co-expressed with a C-terminal myc-DDK tag (3.1 kDa) in mammalian HEK293T cells).
Immunocytochemistry/ Immunofluorescence: ELK4 Antibody [NBP1-87092]

Immunocytochemistry/ Immunofluorescence: ELK4 Antibody [NBP1-87092]

Immunocytochemistry/Immunofluorescence: ELK4 Antibody [NBP1-87092] - Staining of human cell line U-2 OS shows localization to nucleoplasm. Antibody staining is shown in green.
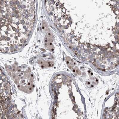
Immunohistochemistry-Paraffin: ELK4 Antibody [NBP1-87092]

Immunohistochemistry-Paraffin: ELK4 Antibody [NBP1-87092]

Immunohistochemistry-Paraffin: ELK4 Antibody [NBP1-87092] - Staining of human testis shows strong nuclear positivity in Leydig cells.

Applications for ELK4 Antibody - BSA Free

Application
Recommended Usage

Chromatin Immunoprecipitation-exo-Seq

1-10ug per reaction

Immunocytochemistry/ Immunofluorescence

0.25-2 ug/ml

Immunohistochemistry

1:50 - 1:200

Immunohistochemistry-Paraffin

1:50 - 1:200

Western Blot

0.04 - 0.4 ug/ml
Application Notes
IHC-Paraffin, HIER pH 6 retrieval is recommended. ICC/IF, Fixation Permeabilization: Use PFA/Triton X-100.

Formulation, Preparation, and Storage

Purification

Affinity purified

Formulation

PBS (pH 7.2) and 40% Glycerol

Format

BSA Free

Preservative

0.02% Sodium Azide

Concentration

Concentrations vary lot to lot. See vial label for concentration. If unlisted please contact technical services.

Shipping

The product is shipped with polar packs. Upon receipt, store it immediately at the temperature recommended below.

Stability & Storage

Store at 4C short term. Aliquot and store at -20C long term. Avoid freeze-thaw cycles.

Background: ELK4

ELK4 is a member of the Ets family of transcription factors and of the ternary complex factor (TCF) subfamily. Proteins of the TCF subfamily form a ternary complex by binding to the the serum response factor and the serum reponse element in the promoter of the c-fos proto-oncogene. The protein encoded by this gene is phosphorylated by the kinases, MAPK1 and MAPK8. Several transcript variants have been described for this gene. [provided by RefSeq]

Alternate Names

ELK4, ETS-domain protein (SRF accessory protein 1), ETS-domain protein, SAP-1, SAP1ETS domain-containing protein Elk-4, Serum response factor accessory protein 1, SRF accessory protein 1

Gene Symbol

ELK4

Additional ELK4 Products

Product Documents for ELK4 Antibody - BSA Free

Certificate of Analysis

To download a Certificate of Analysis, please enter a lot number in the search box below.

Product Specific Notices for ELK4 Antibody - BSA Free

This product is for research use only and is not approved for use in humans or in clinical diagnosis. Primary Antibodies are guaranteed for 1 year from date of receipt.

Loading...
Loading...
Loading...
Loading...