Skip to main content

Elk-1 [p Ser383] Antibody - BSA Free

Novus Biologicals, part of Bio-Techne | Catalog # NBP3-05380

Novus Biologicals, part of Bio-Techne
Catalog #
Availability
Size / Price
Qty
Loading...
NBP3-05380-100ul
NBP3-05380-20ul

Key Product Details

Validated by

Biological Validation

Species Reactivity

Human

Applications

Western Blot

Label

Unconjugated

Antibody Source

Polyclonal Rabbit IgG

Format

BSA Free

Concentration

Please see the vial label for concentration. If unlisted please contact technical services.

Product Specifications

Immunogen

A synthetic phosphorylated peptide around S383 of human ELK1 (NP_005220.2). TLSPI

Modification

p Ser383

Clonality

Polyclonal

Host

Rabbit

Isotype

IgG

Description

Novus Biologicals Rabbit Elk-1 [p Ser383] Antibody - BSA Free (NBP3-05380) is a polyclonal antibody validated for use in WB. All Novus Biologicals antibodies are covered by our 100% guarantee.

Scientific Data Images for Elk-1 [p Ser383] Antibody - BSA Free

Western Blot: Elk-1 [p Ser383] AntibodyBSA Free [NBP3-05380]

Western Blot: Elk-1 [p Ser383] AntibodyBSA Free [NBP3-05380]

Western Blot: Elk-1 [p Ser383] Antibody [NBP3-05380] - Western blot analysis of extracts of Jurkat cells, using Elk-1 antibody (NBP3-05380) at 1:1000 dilution. Jurkat cells were treated by Anisomycin (5ug/mL) for 30 minutes after serum-starvation overnight. Secondary antibody: HRP Goat Anti-Rabbit IgG (H+L) at 1:10000 dilution. Lysates/proteins: 25ug per lane. Blocking buffer: 3% BSA. Detection: ECL Basic Kit. Exposure time: 10s.
Elk-1 [p Ser383] Antibody - BSA Free

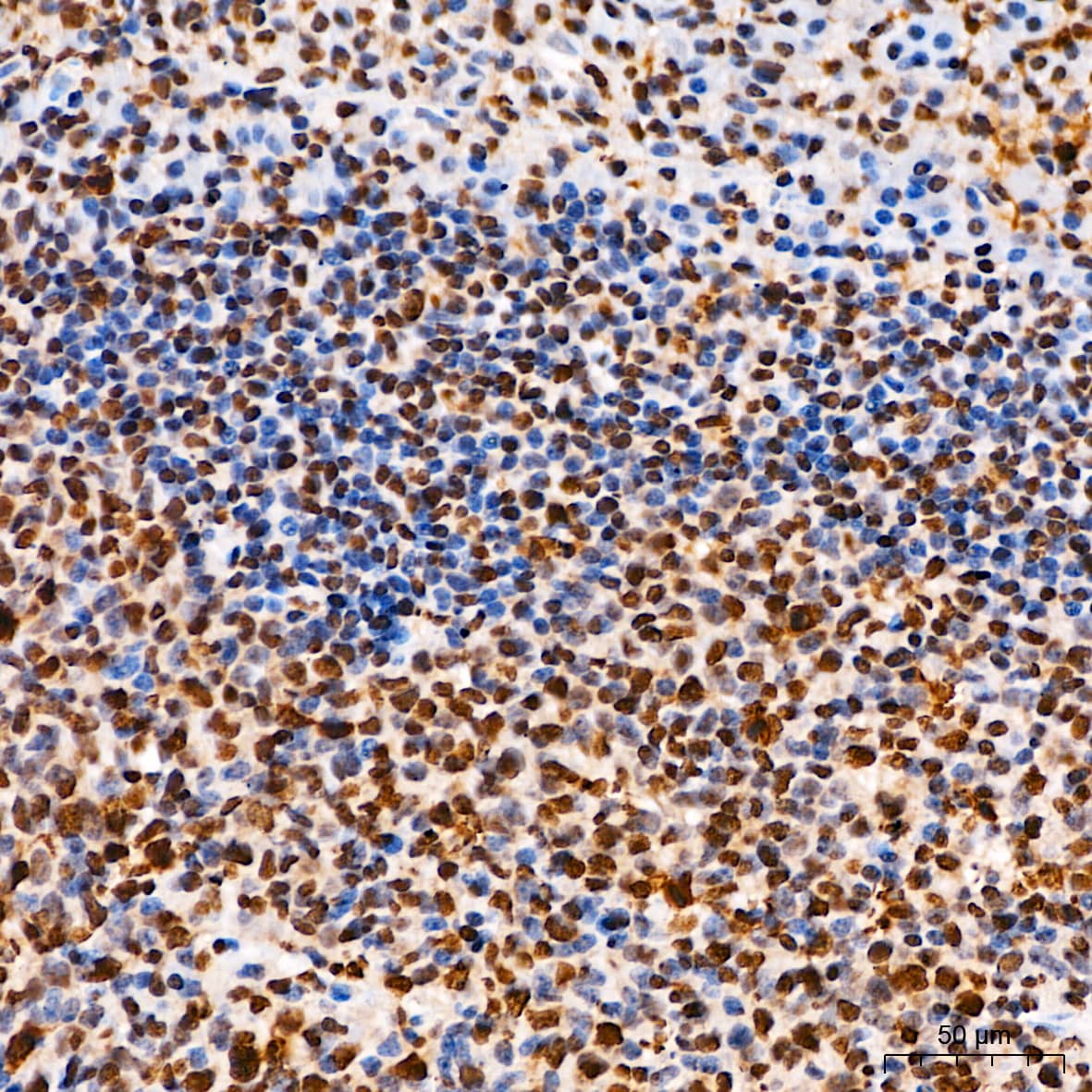
Immunohistochemistry: Elk-1 [p Ser383] Antibody - BSA Free [Elk-1] -

Immunohistochemistry: Elk-1 [p Ser383] Antibody - BSA Free [Elk-1] - Immunohistochemistry analysis of paraffin-embedded Human tonsil tissue using Elk-1 Rabbit pAb at a dilution of 1:200 (40x lens). High pressure antigen retrieval performed with 0.01M Citrate Buffer(pH 6.0) prior to IHC staining.
Elk-1 [p Ser383] Antibody - BSA Free

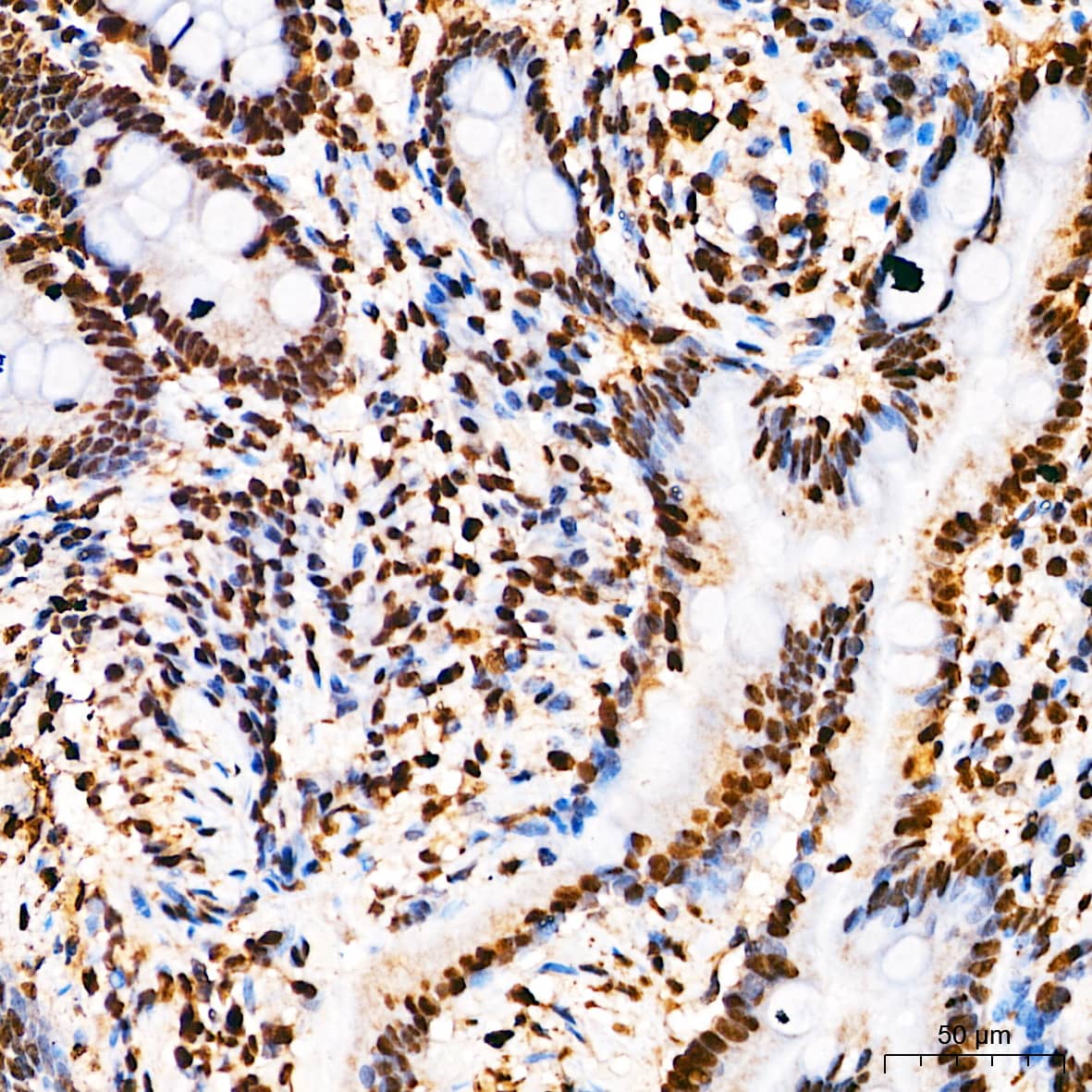
Immunohistochemistry: Elk-1 [p Ser383] Antibody - BSA Free [Elk-1] -

Immunohistochemistry: Elk-1 [p Ser383] Antibody - BSA Free [Elk-1] - Immunohistochemistry analysis of paraffin-embedded Rat intestine tissue using Elk-1 Rabbit pAb at a dilution of 1:200 (40x lens). High pressure antigen retrieval performed with 0.01M Citrate Buffer(pH 6.0) prior to IHC staining.

Applications for Elk-1 [p Ser383] Antibody - BSA Free

Application
Recommended Usage

Western Blot

1:500 - 1:1000

Formulation, Preparation, and Storage

Purification

Affinity purified

Formulation

PBS (pH 7.3), 50% glycerol

Format

BSA Free

Preservative

0.02% Sodium Azide

Concentration

Please see the vial label for concentration. If unlisted please contact technical services.

Shipping

The product is shipped with polar packs. Upon receipt, store it immediately at the temperature recommended below.

Stability & Storage

Store at -20C. Avoid freeze-thaw cycles.

Background: Elk-1

ELK is a member of the family of genes homologous to the v-Ets oncogene isolated from the E26 eythroblastosis virus. Members of this family exhibit varied patterns of tissue expression. They also share a highly conserved C-terminal domain that may be responsible for the DNA binding activity of all members of the Ets gene family.

Alternate Names

Elk1

Gene Symbol

ELK1

Additional Elk-1 Products

Product Documents for Elk-1 [p Ser383] Antibody - BSA Free

Certificate of Analysis

To download a Certificate of Analysis, please enter a lot number in the search box below.

Product Specific Notices for Elk-1 [p Ser383] Antibody - BSA Free

This product is for research use only and is not approved for use in humans or in clinical diagnosis. Primary Antibodies are guaranteed for 1 year from date of receipt.

Loading...
Loading...
Loading...
Loading...