Skip to main content

ELAVL2 Antibody - BSA Free

Novus Biologicals, part of Bio-Techne | Catalog # NBP3-46580

Novus Biologicals, part of Bio-Techne
Catalog #
Availability
Size / Price
Qty
Loading...
NBP3-46580

Key Product Details

Species Reactivity

Human, Mouse, Rat

Applications

Immunohistochemistry, Western Blot, ELISA

Label

Unconjugated

Antibody Source

Polyclonal Rabbit IgG

Format

BSA Free

Concentration

Please see the vial label for concentration. If unlisted please contact technical services.

Product Specifications

Immunogen

ELAV (embryonic lethal, abnormal vision, Drosophila)-like 2 (Hu antigen B). (Uniprot# Q12926)

Clonality

Polyclonal

Host

Rabbit

Isotype

IgG

Theoretical MW

44 kDa.
Disclaimer note: The observed molecular weight of the protein may vary from the listed predicted molecular weight due to post translational modifications, post translation cleavages, relative charges, and other experimental factors.

Description

Novus Biologicals Rabbit ELAVL2 Antibody - BSA Free (NBP3-46580) is a polyclonal antibody validated for use in IHC, WB and ELISA. All Novus Biologicals antibodies are covered by our 100% guarantee.

Scientific Data Images for ELAVL2 Antibody - BSA Free

ELAVL2 Antibody - BSA Free

Western Blot: ELAVL2 Antibody - BSA Free [NBP3-46580] -

Western Blot: ELAVL2 Antibody - BSA Free [NBP3-46580] - Mouse cerebellum tissue were subjected to SDS PAGE followed by western blot with (ELAVL2 antibody) at dilution of 1:1000
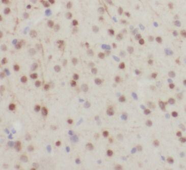
ELAVL2 Antibody - BSA Free

Immunohistochemistry: ELAVL2 Antibody - BSA Free [NBP3-46580] -

Immunohistochemistry: ELAVL2 Antibody - BSA Free [NBP3-46580] - Immunohistochemistry of paraffin-embedded human brain using (ELAVL2 antibody) at dilution of 1:100

Applications for ELAVL2 Antibody - BSA Free

Application
Recommended Usage

Immunohistochemistry

1:50 - 1:200

Western Blot

1:1000 - 1:2000

Formulation, Preparation, and Storage

Purification

Immunogen affinity purified

Formulation

PBS, 50% Glycerol, pH (7.3)

Format

BSA Free

Preservative

0.02% Sodium Azide

Concentration

Please see the vial label for concentration. If unlisted please contact technical services.

Shipping

The product is shipped with polar packs. Upon receipt, store it immediately at the temperature recommended below.

Stability & Storage

Store at -20C. Avoid freeze-thaw cycles.

Background: ELAVL2

Hu-antigen B (HuB), ELAV-like protein 2, ELAV-like neuronal protein 1, Nervous system-specific RNA binding protein Hel-N1 is a transcription factor belonging to the ELAV family of RNP proteins. It binds RNA and seems to recognize a GAAA motif and is neuronal specific.

Alternate Names

ELAV (embryonic lethal, abnormal vision, Drosophila)-like 2 (Hu antigen B), ELAV-like neuronal protein 1, ELAV-like protein 2, HELN1, HEL-N1, Hu-antigen B, HuB, HUBELAV (embryonic lethal, abnormal vision, Drosophila)-like 2, Nervous system-specific RNA-binding protein Hel-N1

Gene Symbol

ELAVL2

Additional ELAVL2 Products

Product Documents for ELAVL2 Antibody - BSA Free

Certificate of Analysis

To download a Certificate of Analysis, please enter a lot number in the search box below.

Product Specific Notices for ELAVL2 Antibody - BSA Free

This product is for research use only and is not approved for use in humans or in clinical diagnosis. Primary Antibodies are guaranteed for 1 year from date of receipt.

Loading...
Loading...
Loading...
Loading...