Skip to main content

Elastase Antibody (HL2882)

Novus Biologicals, part of Bio-Techne | Catalog # NBP3-48742

Novus Biologicals, part of Bio-Techne
Catalog #
Availability
Size / Price
Qty
Loading...
NBP3-48742

Key Product Details

Validated by

Orthogonal Validation

Species Reactivity

Human, Mouse, Rat

Applications

Western Blot

Label

Unconjugated

Antibody Source

Monoclonal Rabbit IgG Clone # HL2882

Concentration

Concentrations vary lot to lot. See vial label for concentration. If unlisted please contact technical services.

Product Specifications

Immunogen

Recombinant fragment of human Elastase.

Clonality

Monoclonal

Host

Rabbit

Isotype

IgG

Description

Novus Biologicals Rabbit Elastase Antibody (HL2882) (NBP3-48742) is a monoclonal antibody validated for use in WB. All Novus Biologicals antibodies are covered by our 100% guarantee.

Scientific Data Images for Elastase Antibody (HL2882)

Elastase Antibody (HL2882)

Immunohistochemistry-Paraffin: Elastase Antibody (HL2882) [NBP3-48742] -

Elastase 3A + Elastase 3B antibody [HL2882] detects Elastase 3A + Elastase 3B protein by immunohistochemical analysis.
Sample: Paraffin-embedded human tissues.
Elastase 3A + Elastase 3B stained by Elastase 3A + Elastase 3B antibody [HL2882] (NBP3-48742) diluted at 1:200.
Antigen Retrieval: Citrate buffer, pH 6.0, 15 min
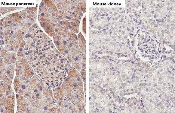
Elastase Antibody (HL2882)

Immunohistochemistry-Paraffin: Elastase Antibody (HL2882) [NBP3-48742] -

Elastase 3A + Elastase 3B antibody [HL2882] detects Elastase 3A + Elastase 3B protein by immunohistochemical analysis.
Sample: Paraffin-embedded mouse pancreas tissue (high expression) and kidney tissue (low expression).
Elastase 3A + Elastase 3B stained by Elastase 3A + Elastase 3B antibody [HL2882] (NBP3-48742) diluted at 1:100.
Antigen Retrieval: Citrate buffer, pH 6.0, 15 min
Elastase Antibody (HL2882)

Western Blot: Elastase Antibody (HL2882) [NBP3-48742] -

Non-transfected (-) and transfected (+) 293T whole cell extracts were separated by 12% SDS-PAGE, and the membrane was blotted with Elastase 3A + Elastase 3B antibody [HL2882] (NBP3-48742) diluted at 1:5000. The HRP-conjugated anti-rabbit IgG antibody was used to detect the primary antibody.

Applications for Elastase Antibody (HL2882)

Application
Recommended Usage

Western Blot

1:500-1:10000

Formulation, Preparation, and Storage

Purification

Protein A purified

Formulation

PBS

Preservative

No Preservative

Concentration

Concentrations vary lot to lot. See vial label for concentration. If unlisted please contact technical services.

Shipping

The product is shipped with polar packs. Upon receipt, store it immediately at the temperature recommended below.

Stability & Storage

Store at 4C short term. Aliquot and store at -20C long term. Avoid freeze-thaw cycles.

Background: Elastase

Elastases form a subfamily of serine proteases that hydrolyze many proteins in addition to elastin. Humans have sixelastase genes which encode the structurally similar proteins elastase 1, 2, 2A, 2B, 3A, and 3B. Unlike otherelastases, elastase 3B has little elastolytic activity. Like most of the human elastases, elastase 3B is secreted fromthe pancreas as a zymogen and, like other serine proteases such as trypsin, chymotrypsin and kallikrein, it has adigestive function in the intestine. Elastase 3B preferentially cleaves proteins after alanine residues. Elastase 3Bmay also function in the intestinal transport and metabolism of cholesterol. Both elastase 3A and elastase 3B havebeen referred to as protease E and as elastase 1, and excretion of this protein in fecal material is frequently usedas a measure of pancreatic function in clinical assays. (provided by RefSeq)

Alternate Names

CBPP, cholesterol-binding pancreatic protease, chymotrypsin-like elastase family member 3B, chymotrypsin-like elastase family, member 3B, E1, EC 3.4.21, EC 3.4.21.70, EL-1, ELA3B, elastase 1, elastase 3B, pancreatic, Elastase IIIB, Elastase-3B, fecal elastase 1, pancreatic elastase 1, pancreatic endopeptidase E, Protease E, proteinase E

Gene Symbol

CELA3B

Additional Elastase Products

Product Documents for Elastase Antibody (HL2882)

Certificate of Analysis

To download a Certificate of Analysis, please enter a lot number in the search box below.

Product Specific Notices for Elastase Antibody (HL2882)

This product is for research use only and is not approved for use in humans or in clinical diagnosis. Primary Antibodies are guaranteed for 1 year from date of receipt.

Loading...
Loading...
Loading...
Loading...