Skip to main content

eIF5A2 Antibody - BSA Free

Novus Biologicals, part of Bio-Techne | Catalog # NBP1-85943

Novus Biologicals, part of Bio-Techne
Catalog #
Availability
Size / Price
Qty
Loading...
NBP1-85943
NBP1-85943-25ul

Key Product Details

Species Reactivity

Validated:

Human, Mouse, Rat

Cited:

Human

Applications

Validated:

Immunohistochemistry, Immunohistochemistry-Paraffin, Western Blot, Immunocytochemistry/ Immunofluorescence

Cited:

IF/IHC

Label

Unconjugated

Antibody Source

Polyclonal Rabbit IgG

Format

BSA Free

Concentration

Concentrations vary lot to lot. See vial label for concentration. If unlisted please contact technical services.

Product Specifications

Immunogen

This antibody was developed against Recombinant Protein corresponding to amino acids: IKRNDYQLICIQDGYLSLLTETGEVREDLKLPEGELGKEIEGKYNAGEDVQVSVMCAMSEEYAVA

Clonality

Polyclonal

Host

Rabbit

Isotype

IgG

Scientific Data Images for eIF5A2 Antibody - BSA Free

Immunocytochemistry/ Immunofluorescence: eIF5A2 Antibody [NBP1-85943]

Immunocytochemistry/ Immunofluorescence: eIF5A2 Antibody [NBP1-85943]

Immunocytochemistry/Immunofluorescence: eIF5A2 Antibody [NBP1-85943] - Staining of human cell line U-2 OS shows localization to vesicles. Antibody staining is shown in green.
Immunohistochemistry-Paraffin: eIF5A2 Antibody [NBP1-85943]

Immunohistochemistry-Paraffin: eIF5A2 Antibody [NBP1-85943]

Immunohistochemistry-Paraffin: eIF5A2 Antibody [NBP1-85943] - Staining of human kidney shows moderate positivity in nuclear membrane in cells in tubules.
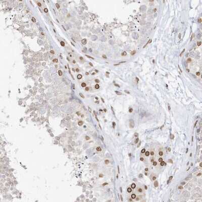
Immunohistochemistry-Paraffin: eIF5A2 Antibody [NBP1-85943]

Immunohistochemistry-Paraffin: eIF5A2 Antibody [NBP1-85943]

Immunohistochemistry-Paraffin: eIF5A2 Antibody [NBP1-85943] - Staining of human testis shows strong positivity in nuclear membrane in Leydig cells and a subset of cells in seminiferous ducts.

Applications for eIF5A2 Antibody - BSA Free

Application
Recommended Usage

Immunocytochemistry/ Immunofluorescence

0.25-2 ug/ml

Immunohistochemistry

1:200 - 1:500

Immunohistochemistry-Paraffin

1:200 - 1:500

Western Blot

0.04-0.4 ug/ml
Application Notes
For IHC-Paraffin, HIER pH 6 retrieval is recommended. ICC/IF Fixation Permeabilization: Use PFA/Triton X-100.

Formulation, Preparation, and Storage

Purification

Affinity purified

Formulation

PBS (pH 7.2) and 40% Glycerol

Format

BSA Free

Preservative

0.02% Sodium Azide

Concentration

Concentrations vary lot to lot. See vial label for concentration. If unlisted please contact technical services.

Shipping

The product is shipped with polar packs. Upon receipt, store it immediately at the temperature recommended below.

Stability & Storage

Store at 4C short term. Aliquot and store at -20C long term. Avoid freeze-thaw cycles.

Background: eIF5A2

Eukaryotic translation initiation factor 5A (eIF5A) is an essential protein tightly linked to cellular polyamine homeostasis. EIF5A2, a novel phylogenetically conserved gene for eIF5A islocalized in an area of the genome often noted for chromosomal instability in cancers. EIF5A2 expression has been observed in testis, brain and colorectal adenocarcinoma

Alternate Names

EIF-5A2, eIF-5A-2, eIF5AII, eukaryotic initiation factor 5A, Eukaryotic initiation factor 5A isoform 2, eukaryotic translation initiation factor 5A2, eukaryotic translation initiation factor 5A-2

Gene Symbol

EIF5A2

Additional eIF5A2 Products

Product Documents for eIF5A2 Antibody - BSA Free

Certificate of Analysis

To download a Certificate of Analysis, please enter a lot number in the search box below.

Product Specific Notices for eIF5A2 Antibody - BSA Free

This product is for research use only and is not approved for use in humans or in clinical diagnosis. Primary Antibodies are guaranteed for 1 year from date of receipt.

Loading...
Loading...
Loading...
Loading...