Skip to main content

eIF5A2 Antibody (OTI6G7) - Azide and BSA Free

Novus Biologicals, part of Bio-Techne | Catalog # NBP2-72056

Novus Biologicals, part of Bio-Techne

Key Product Details

Species Reactivity

Human, Mouse, Rat

Applications

Immunohistochemistry, Immunohistochemistry-Paraffin, Western Blot, Flow Cytometry, Immunocytochemistry/ Immunofluorescence, CyTOF-ready

Label

Unconjugated

Antibody Source

Monoclonal Mouse IgG1 Clone # OTI6G7

Format

Azide and BSA Free

Concentration

LYOPH mg/ml

Product Specifications

Immunogen

Full length human recombinant protein of human EIF5A2(NP_065123) produced in HEK293T cell.

Reactivity Notes

Please note that this antibody is reactive to Mouse and derived from the same host, Mouse. Mouse-On-Mouse blocking reagent may be needed for IHC and ICC experiments to reduce high background signal. You can find these reagents under catalog numbers PK-2200-NB and MP-2400-NB. Please contact Technical Support if you have any questions.

Clonality

Monoclonal

Host

Mouse

Isotype

IgG1

Theoretical MW

16.6 kDa.
Disclaimer note: The observed molecular weight of the protein may vary from the listed predicted molecular weight due to post translational modifications, post translation cleavages, relative charges, and other experimental factors.

Description

Novus Biologicals Mouse eIF5A2 Antibody (OTI6G7) - Azide and BSA Free (NBP2-45697) is a monoclonal antibody validated for use in IHC, WB, Flow and ICC/IF. All Novus Biologicals antibodies are covered by our 100% guarantee.

Scientific Data Images for eIF5A2 Antibody (OTI6G7) - Azide and BSA Free

Western Blot: eIF5A2 Antibody (OTI6G7)Azide and BSA Free [NBP2-72056]

Western Blot: eIF5A2 Antibody (OTI6G7)Azide and BSA Free [NBP2-72056]

Western Blot: eIF5A2 Antibody (OTI6G7) - Azide and BSA Free [NBP2-72056] - Analysis of HEK293T cells were transfected with the pCMV6-ENTRY control (Left lane) or pCMV6-ENTRY EIF5A2.
Immunocytochemistry/ Immunofluorescence: eIF5A2 Antibody (OTI6G7) - Azide and BSA Free [NBP2-72056]

Immunocytochemistry/ Immunofluorescence: eIF5A2 Antibody (OTI6G7) - Azide and BSA Free [NBP2-72056]

Immunocytochemistry/Immunofluorescence: eIF5A2 Antibody (OTI6G7) - Azide and BSA Free [NBP2-72056] - Analysis of COS7 cells transiently transfected by pCMV6-ENTRY EIF5A2.
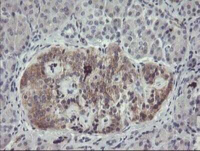
Immunohistochemistry: eIF5A2 Antibody (OTI6G7) - Azide and BSA Free [NBP2-72056]

Immunohistochemistry: eIF5A2 Antibody (OTI6G7) - Azide and BSA Free [NBP2-72056]

Immunohistochemistry: eIF5A2 Antibody (OTI6G7) - Azide and BSA Free [NBP2-72056] - Analysis of Human pancreas tissue.

Applications for eIF5A2 Antibody (OTI6G7) - Azide and BSA Free

Application
Recommended Usage

Flow Cytometry

1:100

Immunocytochemistry/ Immunofluorescence

1:100

Immunohistochemistry

1:150

Western Blot

1:2000

Formulation, Preparation, and Storage

Purification

Immunogen affinity purified

Reconstitution

we recommend adding 100uL distilled water to a final antibody concentration of about 1 mg/mL. To use this carrier-free antibody for conjugation experiment, we strongly recommend performing another round of desalting process.

Formulation

Lyophilized from PBS (pH 7.3) with 8% Trehalose

Format

Azide and BSA Free

Preservative

No Preservative

Concentration

LYOPH mg/ml

Shipping

The product is shipped with polar packs. Upon receipt, store it immediately at the temperature recommended below.

Stability & Storage

Store at -20C. Avoid freeze-thaw cycles.

Background: eIF5A2

Eukaryotic translation initiation factor 5A (eIF5A) is an essential protein tightly linked to cellular polyamine homeostasis. EIF5A2, a novel phylogenetically conserved gene for eIF5A islocalized in an area of the genome often noted for chromosomal instability in cancers. EIF5A2 expression has been observed in testis, brain and colorectal adenocarcinoma

Alternate Names

EIF-5A2, eIF-5A-2, eIF5AII, eukaryotic initiation factor 5A, Eukaryotic initiation factor 5A isoform 2, eukaryotic translation initiation factor 5A2, eukaryotic translation initiation factor 5A-2

Gene Symbol

EIF5A2

Additional eIF5A2 Products

Product Documents for eIF5A2 Antibody (OTI6G7) - Azide and BSA Free

Certificate of Analysis

To download a Certificate of Analysis, please enter a lot number in the search box below.

Product Specific Notices for eIF5A2 Antibody (OTI6G7) - Azide and BSA Free

This product is for research use only and is not approved for use in humans or in clinical diagnosis. Primary Antibodies are guaranteed for 1 year from date of receipt.

Loading...
Loading...
Loading...
Loading...
Loading...
Loading...