Skip to main content

eIF4E [p Ser209] Antibody - BSA Free

Novus Biologicals, part of Bio-Techne | Catalog # NB100-81898

Novus Biologicals, part of Bio-Techne
Catalog #
Availability
Size / Price
Qty
Loading...
NB100-81898
NB100-81898-0.025ml

Key Product Details

Validated by

Biological Validation

Species Reactivity

Validated:

Human, Porcine

Cited:

Porcine

Applications

Validated:

Immunohistochemistry, Immunohistochemistry-Paraffin, Western Blot, Immunocytochemistry/ Immunofluorescence

Cited:

Western Blot

Label

Unconjugated

Antibody Source

Polyclonal Rabbit IgG

Format

BSA Free

Concentration

1.0 mg/ml

Product Specifications

Immunogen

The antiserum was produced against synthesized phosphopeptide derived from human elF4E around the phosphorylation site of serine 209 (S-G-SP-T-T).

Reactivity Notes

Porcine reactivity reported in scientific literature (PMID: 28183860).

Modification

p Ser209

Specificity

Detects endogenous levels of elF4E only when phosphorylated at serine 209.

Clonality

Polyclonal

Host

Rabbit

Isotype

IgG

Theoretical MW

25 kDa.
Disclaimer note: The observed molecular weight of the protein may vary from the listed predicted molecular weight due to post translational modifications, post translation cleavages, relative charges, and other experimental factors.

Description

Novus Biologicals Rabbit eIF4E [p Ser209] Antibody - BSA Free (NB100-81898) is a polyclonal antibody validated for use in IHC, WB and ICC/IF. Anti-eIF4E Antibody: Cited in 1 publication. All Novus Biologicals antibodies are covered by our 100% guarantee.

Scientific Data Images for eIF4E [p Ser209] Antibody - BSA Free

Western Blot: eIF4E [p Ser209] Antibody [NB100-81898] -

Western Blot: eIF4E [p Ser209] Antibody [NB100-81898] - Analysis of extracts from SK-BR-3 cells, untreated or insulin and EGF treated, and pretreated with U0126 cells, using NB100-81898
eIF4E [p Ser209] Antibody - BSA Free

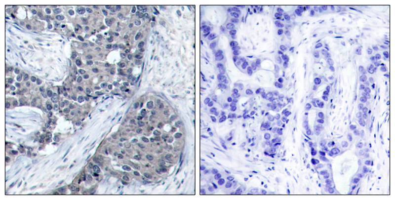
Immunohistochemistry-Paraffin: eIF4E [p Ser209] Antibody [NB100-81898] -

Immunohistochemistry-Paraffin: eIF4E [p Ser209] Antibody [NB100-81898] - Immunohistochemical analysis of paraffin-embedded human breast carcinoma tissue, using NB100-81898(left) or the same antibody preincubated with blocking peptide (right).
eIF4E [p Ser209] Antibody - BSA Free

Immunocytochemistry/ Immunofluorescence: eIF4E [p Ser209] Antibody - BSA Free [NB100-81898] -

Immunocytochemistry/ Immunofluorescence: eIF4E [p Ser209] Antibody - BSA Free [NB100-81898] - Immunofluorescence staining of methanol-fixed MCF cells using NB100-81898.

Applications for eIF4E [p Ser209] Antibody - BSA Free

Application
Recommended Usage

Immunocytochemistry/ Immunofluorescence

1:100-1:200

Immunohistochemistry

1:50-1:100

Immunohistochemistry-Paraffin

1:50-1:100

Western Blot

1:500-1:1000

Formulation, Preparation, and Storage

Purification

Immunogen affinity purified

Formulation

PBS (without Mg2+ and Ca2+), pH 7.4, 150 mM NaCl, 50% glycerol

Format

BSA Free

Preservative

0.02% Sodium Azide

Concentration

1.0 mg/ml

Shipping

The product is shipped with polar packs. Upon receipt, store it immediately at the temperature recommended below.

Stability & Storage

Store at 4C short term. Aliquot and store at -20C long term. Avoid freeze-thaw cycles.

Background: eIF4E

eIF4E, a protein modulates translation of maternal mRNAs in early embryos before the onset of zygotic transcription. eIF4E also influences the overall rate of translation. eIF4E binds to the 7 methyl GTP cap structure of eukaryotic mRNAs. Phosphorylation of eIF4E on serine 209 regulates the affinity of this protein for the 7 methyl GTP cap and/or RNA. Phosphorylation also enhances the interaction of eIF4E with eIF4G, which form a complex known as eIF4F. eIF4E phosphorylation is correlated with increased translational rate in a number of cell types. Several kinases are currently being investigated as potential regulators of eIF4E including PKC and/or the MAP kinase activated Mnk.

Long Name

Eukaryotic Translation Initiation Factor 4E

Alternate Names

EIF4EL1, EIF4F

Entrez Gene IDs

1977 (Human); 13684 (Mouse); 117045 (Rat)

Gene Symbol

EIF4E

UniProt

Additional eIF4E Products

Product Documents for eIF4E [p Ser209] Antibody - BSA Free

Certificate of Analysis

To download a Certificate of Analysis, please enter a lot number in the search box below.

Product Specific Notices for eIF4E [p Ser209] Antibody - BSA Free

This product is for research use only and is not approved for use in humans or in clinical diagnosis. Primary Antibodies are guaranteed for 1 year from date of receipt.

Loading...
Loading...
Loading...
Loading...