Skip to main content

eIF4E Antibody (5D11)

Novus Biologicals, part of Bio-Techne | Catalog # NBP2-22177

Novus Biologicals, part of Bio-Techne
Catalog #
Availability
Size / Price
Qty
Loading...
NBP2-22177
NBP2-22177-0.025ml

Key Product Details

Species Reactivity

Human

Applications

ELISA, Flow Cytometry, Immunocytochemistry/ Immunofluorescence, Immunohistochemistry, Immunohistochemistry-Paraffin, Western Blot

Label

Unconjugated

Antibody Source

Monoclonal Mouse IgG1 Clone # 5D11

Concentration

This product is unpurified. The exact concentration of antibody is not quantifiable.

Product Specifications

Immunogen

Purified recombinant fragment of human eIF4E expressed in E. Coli.

Clonality

Monoclonal

Host

Mouse

Isotype

IgG1

Theoretical MW

25 kDa.
Disclaimer note: The observed molecular weight of the protein may vary from the listed predicted molecular weight due to post translational modifications, post translation cleavages, relative charges, and other experimental factors.

Description

Novus Biologicals Mouse eIF4E Antibody (5D11) (NBP2-22177) is a monoclonal antibody validated for use in IHC, WB, ELISA, Flow and ICC/IF. All Novus Biologicals antibodies are covered by our 100% guarantee.

Scientific Data Images for eIF4E Antibody (5D11)

Western Blot: eIF4E Antibody (5D11)BSA Free [NBP2-22177]

Western Blot: eIF4E Antibody (5D11)BSA Free [NBP2-22177]

Western Blot: eIF4E Antibody (5D11) [NBP2-22177] - Western blot analysis using eIF4E mouse mAb against Hela (1), HEK293 (2) and K562 (3) cell lysate.
Immunocytochemistry/ Immunofluorescence: eIF4E Antibody (5D11) - BSA Free [NBP2-22177]

Immunocytochemistry/ Immunofluorescence: eIF4E Antibody (5D11) - BSA Free [NBP2-22177]

Immunocytochemistry/Immunofluorescence: eIF4E Antibody (5D11) [NBP2-22177] - Immunofluorescence analysis of GC-7901 cells using eIF4E mouse mAb (green). Blue: DRAQ5 fluorescent DNA dye. Red: Actin filaments have been labeled with Alexa Fluor-555 phalloidin.
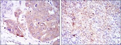
Immunohistochemistry-Paraffin: eIF4E Antibody (5D11) - BSA Free [NBP2-22177]

Immunohistochemistry-Paraffin: eIF4E Antibody (5D11) - BSA Free [NBP2-22177]

Immunohistochemistry-Paraffin: eIF4E Antibody (5D11) [NBP2-22177] - Immunohistochemical analysis of paraffin-embedded stomach cancer (left) and prostate cancer (right) using eIF4E mouse mAb with DAB staining.

Applications for eIF4E Antibody (5D11)

Application
Recommended Usage

ELISA

1:10000

Flow Cytometry

1:200-1:400

Immunocytochemistry/ Immunofluorescence

1:200-1:1000

Immunohistochemistry

1:10-1:500

Immunohistochemistry-Paraffin

1:200-1:1000

Western Blot

1:500-1:2000

Formulation, Preparation, and Storage

Purification

Unpurified

Formulation

Ascites

Preservative

0.03% Sodium Azide

Concentration

This product is unpurified. The exact concentration of antibody is not quantifiable.

Shipping

The product is shipped with polar packs. Upon receipt, store it immediately at the temperature recommended below.

Stability & Storage

Store at 4C short term. Aliquot and store at -20C long term. Avoid freeze-thaw cycles.

Background: eIF4E

eIF4E, a protein modulates translation of maternal mRNAs in early embryos before the onset of zygotic transcription. eIF4E also influences the overall rate of translation. eIF4E binds to the 7 methyl GTP cap structure of eukaryotic mRNAs. Phosphorylation of eIF4E on serine 209 regulates the affinity of this protein for the 7 methyl GTP cap and/or RNA. Phosphorylation also enhances the interaction of eIF4E with eIF4G, which form a complex known as eIF4F. eIF4E phosphorylation is correlated with increased translational rate in a number of cell types. Several kinases are currently being investigated as potential regulators of eIF4E including PKC and/or the MAP kinase activated Mnk.

Long Name

Eukaryotic Translation Initiation Factor 4E

Alternate Names

EIF4EL1, EIF4F

Gene Symbol

EIF4E

Additional eIF4E Products

Product Documents for eIF4E Antibody (5D11)

Certificate of Analysis

To download a Certificate of Analysis, please enter a lot number in the search box below.

Product Specific Notices for eIF4E Antibody (5D11)

This product is for research use only and is not approved for use in humans or in clinical diagnosis. Primary Antibodies are guaranteed for 1 year from date of receipt.

Loading...
Loading...
Loading...
Loading...
Loading...