Skip to main content

EIF3S3 Antibody (PSH04-49)

Novus Biologicals, part of Bio-Techne | Catalog # NBP3-32298

Recombinant Monoclonal Antibody
Novus Biologicals, part of Bio-Techne
Catalog #
Availability
Size / Price
Qty
Loading...
NBP3-32298

Key Product Details

Species Reactivity

Human, Mouse, Rat

Applications

Immunohistochemistry, Immunohistochemistry-Paraffin, Western Blot

Label

Unconjugated

Antibody Source

Recombinant Monoclonal Mouse IgG1 Clone # PSH04-49 expressed in HEK293

Concentration

1 mg/ml

Product Specifications

Immunogen

Recombinant protein within human EIF3S3 aa 1-352 / 352. (Uniprot: O15372)

Localization

Cytoplasm.

Clonality

Monoclonal

Host

Mouse

Isotype

IgG1

Theoretical MW

40 kDa.
Disclaimer note: The observed molecular weight of the protein may vary from the listed predicted molecular weight due to post translational modifications, post translation cleavages, relative charges, and other experimental factors.

Description

Novus Biologicals Mouse EIF3S3 Antibody (PSH04-49) (NBP3-32298) is a recombinant monoclonal antibody validated for use in IHC and WB. All Novus Biologicals antibodies are covered by our 100% guarantee.

Scientific Data Images for EIF3S3 Antibody (PSH04-49)

EIF3S3 Antibody (PSH04-49)

Western Blot: EIF3S3 Antibody (PSH04-49) [NBP3-32298]

Western Blot: EIF3S3 Antibody (PSH04-49) [NBP3-32298] - Western blot analysis of EIF3S3 on different lysates with Mouse anti-EIF3S3 antibody (NBP3-32298) at 1/2,000 dilution.

Lane 1: HEK-293 cell lysate
Lane 2: HeLa cell lysate
Lane 3: K-562 cell lysate
Lane 4: Jurkat cell lysate
Lane 5: HepG2 cell lysate
Lane 6: A549 cell lysate
Lane 7: SK-Br-3 cell lysate
Lane 8: MDA-MB-231 cell lysate
Lane 9: MDA-MB-468 cell lysate
Lane 10: MCF7 cell lysate
Lane 11: RAW264.7 cell lysate
Lane 12: NIH/3T3 cell lysate
Lane 13: PC-12 cell lysate

Lysates/proteins at 20 ug/Lane.

Predicted band size: 40 kDa
Observed band size: 40 kDa

Exposure time: 3 minutes; ECL;

4-20% SDS-PAGE gel.

Proteins were transferred to a PVDF membrane and blocked with 5% NFDM/TBST for 1 hour at room temperature. The primary antibody (NBP3-32298) at 1/2,000 dilution was used in 5% NFDM/TBST at 4C overnight. Goat Anti-Mouse IgG - HRP Secondary Antibody at 1/50,000 dilution was used for 1 hour at room temperature.
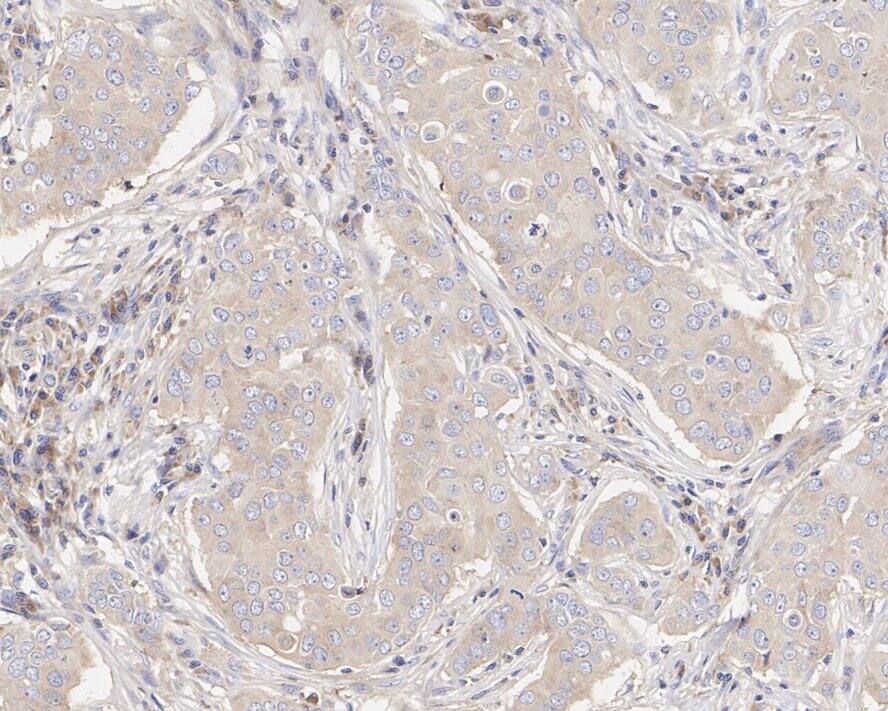
EIF3S3 Antibody (PSH04-49)

Immunohistochemistry: EIF3S3 Antibody (PSH04-49) [NBP3-32298]

Immunohistochemistry: EIF3S3 Antibody (PSH04-49) [NBP3-32298] - Immunohistochemical analysis of paraffin-embedded human breast cancer tissue with Mouse anti-EIF3S3 antibody (NBP3-32298) at 1/200 dilution.

The section was pre-treated using heat mediated antigen retrieval with Tris-EDTA buffer (pH 9.0) for 20 minutes. The tissues were blocked in 1% BSA for 20 minutes at room temperature, washed with ddH2O and PBS, and then probed with the primary antibody (NBP3-32298) at 1/200 dilution for 1 hour at room temperature. The detection was performed using an HRP conjugated compact polymer system. DAB was used as the chromogen. Tissues were counterstained with hematoxylin and mounted with DPX.

Applications for EIF3S3 Antibody (PSH04-49)

Application
Recommended Usage

Immunohistochemistry-Paraffin

1:200

Western Blot

1:1000-1:2000

Formulation, Preparation, and Storage

Purification

Protein A purified

Formulation

PBS (pH7.4), 0.1% BSA and 40% Glycerol

Preservative

0.05% Sodium Azide

Concentration

1 mg/ml

Shipping

The product is shipped with polar packs. Upon receipt, store it immediately at the temperature recommended below.

Stability & Storage

Store at 4C short term. Aliquot and store at -20C long term. Avoid freeze-thaw cycles.

Background: EIF3S3

Eukaryotic initiation factor 3 subunit H (eIF3H) is one of at least 13 non-identical protein subunits of eukaryotic initiation factor 3 (eIF3). eIF3 is the largest eIF (~650 kDa) and functions to facilitate binding of the 40S ribosomal subunit to the 5'-end of cellular mRNAs near the cap structure (m7GpppN). eIF3H is a non-conserved subunit and part of the functional core of eIF3. It may function to stabilize the eIF3 complex and stimulate protein synthesis. Many cancer cell lines have been shown to express high levels of eIF3H, and it may have an oncogenic role in colorectal cancer susceptibility.

Alternate Names

eIF-3-gamma, eIF3-gamma, eIF3h, eIF3-p40, EIF3S3eIF3 p40 subunit, Eukaryotic translation initiation factor 3 subunit 3, eukaryotic translation initiation factor 3 subunit H, eukaryotic translation initiation factor 3, subunit 2 (beta, 36kD), eukaryotic translation initiation factor 3, subunit 3 (gamma, 40kD), eukaryotic translation initiation factor 3, subunit 3 gamma, 40kDa, eukaryotic translation initiation factor 3, subunit H, MGC102958

Gene Symbol

EIF3H

Additional EIF3S3 Products

Product Documents for EIF3S3 Antibody (PSH04-49)

Certificate of Analysis

To download a Certificate of Analysis, please enter a lot number in the search box below.

Product Specific Notices for EIF3S3 Antibody (PSH04-49)

This product is for research use only and is not approved for use in humans or in clinical diagnosis. Primary Antibodies are guaranteed for 1 year from date of receipt.

Loading...
Loading...
Loading...
Loading...