Skip to main content

EIF3M Antibody - BSA Free

Novus Biologicals, part of Bio-Techne | Catalog # NBP3-04704

Novus Biologicals, part of Bio-Techne
Catalog #
Availability
Size / Price
Qty
Loading...
NBP3-04704-100ul
NBP3-04704-20ul

Key Product Details

Species Reactivity

Human, Mouse, Rat

Applications

Immunohistochemistry, Immunohistochemistry-Paraffin, Western Blot

Label

Unconjugated

Antibody Source

Polyclonal Rabbit IgG

Format

BSA Free

Concentration

Please see the vial label for concentration. If unlisted please contact technical services.

Product Specifications

Immunogen

Recombinant fusion protein containing a sequence corresponding to amino acids 1-374 of human EIF3M (NP_006351.2). MSVPAFIDISEEDQAAELRAYLKSKGAEISEENSEGGLHVDLAQIIEACDVCLKEDDKDVESVMNSVVSLLLILEPDKQEALIESLCEKLVKFREGERPSLRLQLLSNLFHGMDKNTPVRYTVYCSLIKVAASCGAIQYIPTELDQVRKWISDWNLTTEKKHTLLRLLYEALVDCKKSDAASKVMVELLGSYTEDNASQARVDAHRCIVRALKDPNAFLFDHLLTLKPVKFLEGELIHDLLTIFVSAKLASYVKFYQNNKDFIDSLGLLHEQNMAKMRLLTFMGMAVENKEISFDTMQQELQIGADDVEAFVIDAVRTKMVYCKIDQTQRKVVVSHSTHRTFGKQQWQQLYDTLNAWKQNLNKVKNSLLSLSDT

Clonality

Polyclonal

Host

Rabbit

Isotype

IgG

Description

Novus Biologicals Rabbit EIF3M Antibody - BSA Free (NBP3-04704) is a polyclonal antibody validated for use in IHC and WB. All Novus Biologicals antibodies are covered by our 100% guarantee.

Scientific Data Images for EIF3M Antibody - BSA Free

Western Blot: EIF3M AntibodyBSA Free [NBP3-04704]

Western Blot: EIF3M AntibodyBSA Free [NBP3-04704]

Western Blot: EIF3M Antibody [NBP3-04704] - Analysis of extracts of various cell lines, using EIF3M antibody at 1:1000 dilution. Secondary antibody: HRP Goat Anti-Rabbit IgG (H+L) at 1:10000 dilution. Lysates/proteins: 25ug per lane. Blocking buffer: 3% nonfat dry milk in TBST. Detection: ECL Basic Kit
Immunohistochemistry-Paraffin: EIF3M Antibody - BSA Free [NBP3-04704]

Immunohistochemistry-Paraffin: EIF3M Antibody - BSA Free [NBP3-04704]

Immunohistochemistry-Paraffin: EIF3M Antibody [NBP3-04704] - Paraffin-embedded rat brain using EIF3M antibody at dilution of 1:100 (40x lens).
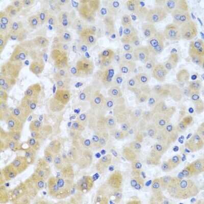
Immunohistochemistry-Paraffin: EIF3M Antibody - BSA Free [NBP3-04704]

Immunohistochemistry-Paraffin: EIF3M Antibody - BSA Free [NBP3-04704]

Immunohistochemistry-Paraffin: EIF3M Antibody [NBP3-04704] - Paraffin-embedded human liver damage using EIF3M antibody at dilution of 1:100 (40x lens).

Applications for EIF3M Antibody - BSA Free

Application
Recommended Usage

Immunohistochemistry

1:50-1:200

Western Blot

1:500-1:2000

Formulation, Preparation, and Storage

Purification

Affinity purified

Formulation

PBS (pH 7.3), 50% glycerol

Format

BSA Free

Preservative

0.02% Sodium Azide

Concentration

Please see the vial label for concentration. If unlisted please contact technical services.

Shipping

The product is shipped with polar packs. Upon receipt, store it immediately at the temperature recommended below.

Stability & Storage

Store at -20C. Avoid freeze-thaw cycles.

Background: EIF3M

"EIF3M component of the eukaryotic translation initiation factor 3 (eIF-3) complex, which is required for several steps in the initiation of protein synthesis. The eIF-3 complex associates with the 40S ribosome and facilitates the recruitment of eIF-1, eIF-1A, eIF-2:GTP:methionyl-tRNAi and eIF-5 to form the 43S preinitiation complex (43S PIC). The eIF-3 complex stimulates mRNA recruitment to the 43S PIC and scanning of the mRNA for AUG recognition. The eIF-3 complex is also required for disassembly and recycling of posttermination ribosomal complexes and subsequently prevents premature joining of the 40S and 60S ribosomal subunits prior to initiation. May favor virus entry in case of infection with herpes simplex virus 1 (HSV1) or herpes simplex virus 2 (HSV2).

Alternate Names

B5 receptor, dendritic cell protein, eIF3m, eukaryotic translation initiation factor 3 subunit M, eukaryotic translation initiation factor 3, subunit M, Fetal lung protein B5, FLJ29030, GA17, HFLB5, hFL-B5, PCI domain containing 1 (herpesvirus entry mediator), PCI domain-containing protein 1, PCID1B5

Gene Symbol

EIF3M

Additional EIF3M Products

Product Documents for EIF3M Antibody - BSA Free

Certificate of Analysis

To download a Certificate of Analysis, please enter a lot number in the search box below.

Product Specific Notices for EIF3M Antibody - BSA Free

This product is for research use only and is not approved for use in humans or in clinical diagnosis. Primary Antibodies are guaranteed for 1 year from date of receipt.

Loading...
Loading...
Loading...
Loading...