Skip to main content

EIF3A Antibody - BSA Free

Novus Biologicals, part of Bio-Techne | Catalog # NBP1-84875

Novus Biologicals, part of Bio-Techne
Catalog #
Availability
Size / Price
Qty
Loading...
NBP1-84875
NBP1-84875-25ul

Key Product Details

Validated by

Independent Antibodies

Species Reactivity

Validated:

Human

Predicted:

Mouse (99%), Rat (99%). Backed by our 100% Guarantee.

Applications

Immunocytochemistry/ Immunofluorescence, Immunohistochemistry, Immunohistochemistry-Paraffin

Label

Unconjugated

Antibody Source

Polyclonal Rabbit IgG

Format

BSA Free

Concentration

Concentrations vary lot to lot. See vial label for concentration. If unlisted please contact technical services.

Product Specifications

Immunogen

This antibody was developed against Recombinant Protein corresponding to amino acids: PENALKRANEFLEVGKKQPALDVLYDVMKSKKHRTWQKIHEPIMLKYLELCVDLRKSHLAKEGLYQYKNICQQVNIKSLEDVVRAYLKMAEEKTEAAKEESQQ

Clonality

Polyclonal

Host

Rabbit

Isotype

IgG

Description

Novus Biologicals Rabbit EIF3A Antibody - BSA Free (NBP1-84875) is a polyclonal antibody validated for use in IHC and ICC/IF. All Novus Biologicals antibodies are covered by our 100% guarantee.

Scientific Data Images for EIF3A Antibody - BSA Free

Immunocytochemistry/ Immunofluorescence: EIF3A Antibody [NBP1-84875]

Immunocytochemistry/ Immunofluorescence: EIF3A Antibody [NBP1-84875]

Immunocytochemistry/Immunofluorescence: EIF3A Antibody [NBP1-84875] - Staining of human cell line A-431 shows positivity in nucleus and cytoplasm. Antibody staining is shown in green.
Immunohistochemistry-Paraffin: EIF3A Antibody [NBP1-84875]

Immunohistochemistry-Paraffin: EIF3A Antibody [NBP1-84875]

Immunohistochemistry-Paraffin: EIF3A Antibody [NBP1-84875] - Staining of human cerebral cortex.
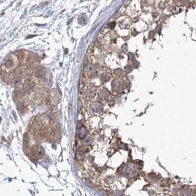
Immunohistochemistry-Paraffin: EIF3A Antibody [NBP1-84875]

Immunohistochemistry-Paraffin: EIF3A Antibody [NBP1-84875]

Immunohistochemistry-Paraffin: EIF3A Antibody [NBP1-84875] - Staining of human cerebral cortex, colon, kidney and testis using Anti-EIF3A antibody NBP1-84875 (A) shows similar protein distribution across tissues to independent antibody NBP1-84876 (B).

Applications for EIF3A Antibody - BSA Free

Application
Recommended Usage

Immunocytochemistry/ Immunofluorescence

0.25-2 ug/ml

Immunohistochemistry

1:20 - 1:50

Immunohistochemistry-Paraffin

1:20 - 1:50
Application Notes
For IHC-Paraffin, HIER pH 6 retrieval is recommended. ICC/IF Fixation Permeabilization: Use PFA/Triton X-100.

Formulation, Preparation, and Storage

Purification

Immunogen affinity purified

Formulation

PBS (pH 7.2) and 40% Glycerol

Format

BSA Free

Preservative

0.02% Sodium Azide

Concentration

Concentrations vary lot to lot. See vial label for concentration. If unlisted please contact technical services.

Shipping

The product is shipped with polar packs. Upon receipt, store it immediately at the temperature recommended below.

Stability & Storage

Store at 4C short term. Aliquot and store at -20C long term. Avoid freeze-thaw cycles.

Background: EIF3A

Eukaryotic initiation factor 3 subunit A (eIF3A) is one of at least 13 non-identical protein subunits of eukaryotic initiation factor 3 (eIF3). eIF3 is the largest eIF (~650 kDa) and functions to facilitate binding of the 40S ribosomal subunit to the 5'-end of cellular mRNAs near the cap structure (m7GpppN). eIF3A is also known as EIF3S10 (eukaryotic initiation factor 3 subunit 7). eIF3A is the largest subunit of the eIF3 complex. eIF3A expression is regulated through the cell cycle. It's expression peaks in S-phase and it is proposed to play a role in regulating the translation of mRNAs involved in the regulation of cell cycle progression and proliferation. Alternative names for eIF3A include eIF-3-theta, eIF-3 p167, eIF-3 p170, eIF-3 p180, eIF3-p185, EIF3S10, and KIAA0139.

Alternate Names

centrosomin homolog, cytoplasmic protein p167, eIF3 p167, eIF3 p180, eIF3 p185, EIF3, p180 subunit, eIF3a, eIF3-p170, EIF3S10EIF3, eIF-3-theta, eIF3-theta, Eukaryotic translation initiation factor 3 subunit 10, eukaryotic translation initiation factor 3 subunit A, eukaryotic translation initiation factor 3, subunit 10 (theta, 150/170kD), eukaryotic translation initiation factor 3, subunit 10 (theta, 170kD), eukaryotic translation initiation factor 3, subunit 10 theta, 150/170kDa, eukaryotic translation initiation factor 3, subunit 10, 170kD, eukaryotic translation initiation factor 3, subunit A, KIAA0139P167, p180, p185, TIF32

Gene Symbol

EIF3A

Additional EIF3A Products

Product Documents for EIF3A Antibody - BSA Free

Certificate of Analysis

To download a Certificate of Analysis, please enter a lot number in the search box below.

Product Specific Notices for EIF3A Antibody - BSA Free

This product is for research use only and is not approved for use in humans or in clinical diagnosis. Primary Antibodies are guaranteed for 1 year from date of receipt.

Loading...
Loading...
Loading...
Loading...