Skip to main content

EIF3A Antibody (JE58-60)

Novus Biologicals, part of Bio-Techne | Catalog # NBP3-32297

Recombinant Monoclonal Antibody
Novus Biologicals, part of Bio-Techne
Catalog #
Availability
Size / Price
Qty
Loading...
NBP3-32297

Key Product Details

Species Reactivity

Human, Mouse, Rat

Applications

Immunohistochemistry, Immunohistochemistry-Paraffin, Western Blot, Immunocytochemistry/ Immunofluorescence

Label

Unconjugated

Antibody Source

Recombinant Monoclonal Rabbit IgG Clone # JE58-60 expressed in HEK293

Concentration

1 mg/ml

Product Specifications

Immunogen

Synthetic peptide within Human EIF3A aa 275-324 / 1,382. (Uniprot: Q14152)

Localization

Cytoplasm.

Clonality

Monoclonal

Host

Rabbit

Isotype

IgG

Theoretical MW

167 kDa.
Disclaimer note: The observed molecular weight of the protein may vary from the listed predicted molecular weight due to post translational modifications, post translation cleavages, relative charges, and other experimental factors.

Description

Novus Biologicals Rabbit EIF3A Antibody (JE58-60) (NBP3-32297) is a recombinant monoclonal antibody validated for use in IHC, WB and ICC/IF. All Novus Biologicals antibodies are covered by our 100% guarantee.

Scientific Data Images for EIF3A Antibody (JE58-60)

EIF3A Antibody (JE58-60)

Western Blot: EIF3A Antibody (JE58-60) [NBP3-32297]

Western Blot: EIF3A Antibody (JE58-60) [NBP3-32297] - Western blot analysis of EIF3A on different lysates with Rabbit anti-EIF3A antibody (NBP3-32297) at 1/1,000 dilution.

Lane 1: 293T cell lysate
Lane 2: A431 cell lysate
Lane 3: Jurkat cell lysate
Lane 4: Raji cell lysate
Lane 5: RAW264.7 cell lysate
Lane 6: NIH/3T3 cell lysate
Lane 7: L6 cell lysate
Lane 8: PC-12 cell lysate

Lysates/proteins at 15 ug/Lane.

Predicted band size: 167 kDa
Observed band size: 167 kDa

Exposure time: 7seconds;

4-20% SDS-PAGE gel.

Proteins were transferred to a PVDF membrane and blocked with 5% NFDM/TBST for 1 hour at room temperature. The primary antibody (NBP3-32297) at 1/1,000 dilution was used in 5% NFDM/TBST at room temperature for 2 hours. Goat Anti-Rabbit IgG - HRP Secondary Antibody at 1:100,000 dilution was used for 1 hour at room temperature.
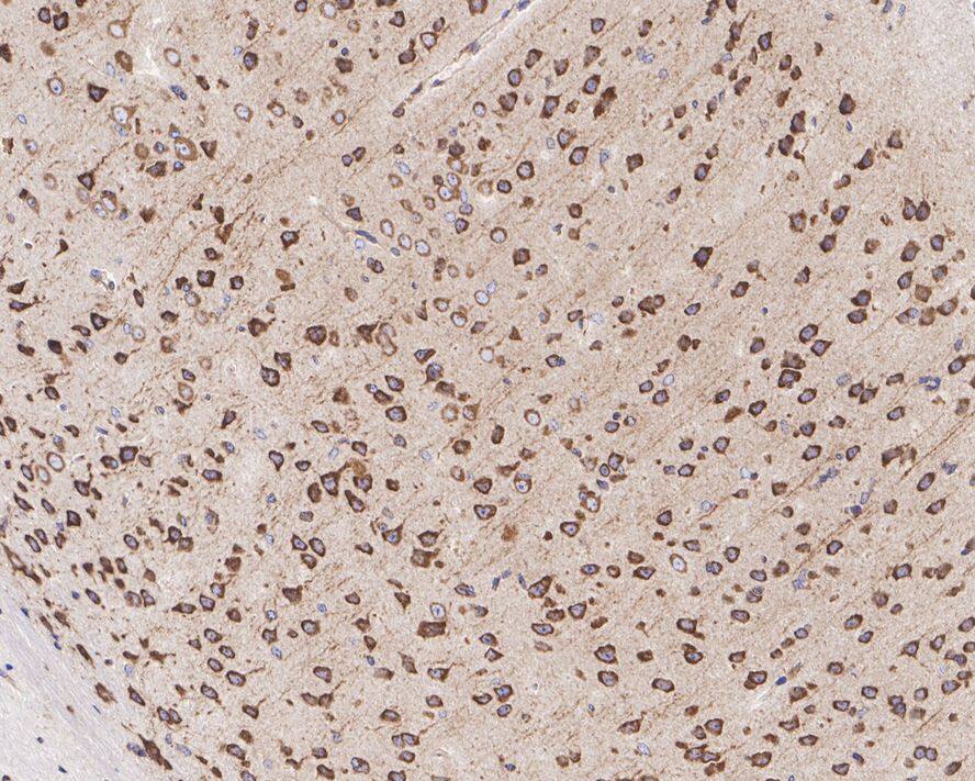
EIF3A Antibody (JE58-60)

Immunohistochemistry: EIF3A Antibody (JE58-60) [NBP3-32297]

Immunohistochemistry: EIF3A Antibody (JE58-60) [NBP3-32297] - Immunohistochemical analysis of paraffin-embedded mouse brain tissue with Rabbit anti-EIF3A antibody (NBP3-32297) at 1/1,000 dilution.

The section was pre-treated using heat mediated antigen retrieval with Tris-EDTA buffer (pH 9.0) for 20 minutes. The tissues were blocked in 1% BSA for 20 minutes at room temperature, washed with ddH2O and PBS, and then probed with the primary antibody (NBP3-32297) at 1/1,000 dilution for 1 hour at room temperature. The detection was performed using an HRP conjugated compact polymer system. DAB was used as the chromogen. Tissues were counterstained with hematoxylin and mounted with DPX.
EIF3A Antibody (JE58-60)

Immunocytochemistry/ Immunofluorescence: EIF3A Antibody (JE58-60) [NBP3-32297]

Immunocytochemistry/ Immunofluorescence: EIF3A Antibody (JE58-60) [NBP3-32297] - Immunocytochemistry analysis of Hela cells labeling EIF3A with Rabbit anti-EIF3A antibody (NBP3-32297) at 1/100 dilution.

Cells were fixed in 4% paraformaldehyde for 10 minutes at 37 ℃, permeabilized with 0.05% Triton X-100 in PBS for 20 minutes, and then blocked with 2% negative goat serum for 30 minutes at room temperature. Cells were then incubated with Rabbit anti-EIF3A antibody (NBP3-32297) at 1/100 dilution in 2% negative goat serum overnight at 4 ℃. Goat Anti-Rabbit IgG H&L (iFluor™ 488) was used as the secondary antibody at 1/1,000 dilution. Nuclear DNA was labelled in blue with DAPI.

Beta tubulin (red) was stained at 1/200 dilution overnight at +4℃. Goat Anti-Mouse IgG H&L (iFluor™ 594) was used as the secondary antibody at 1/1,000 dilution.

Applications for EIF3A Antibody (JE58-60)

Application
Recommended Usage

Immunocytochemistry/ Immunofluorescence

1:100

Immunohistochemistry-Paraffin

1:1000

Western Blot

1:1000

Formulation, Preparation, and Storage

Purification

Protein A purified

Formulation

1*TBS (pH7.4), 0.05% BSA and 40% Glycerol

Preservative

0.05% Sodium Azide

Concentration

1 mg/ml

Shipping

The product is shipped with polar packs. Upon receipt, store it immediately at the temperature recommended below.

Stability & Storage

Store at 4C short term. Aliquot and store at -20C long term. Avoid freeze-thaw cycles.

Background: EIF3A

Eukaryotic initiation factor 3 subunit A (eIF3A) is one of at least 13 non-identical protein subunits of eukaryotic initiation factor 3 (eIF3). eIF3 is the largest eIF (~650 kDa) and functions to facilitate binding of the 40S ribosomal subunit to the 5'-end of cellular mRNAs near the cap structure (m7GpppN). eIF3A is also known as EIF3S10 (eukaryotic initiation factor 3 subunit 7). eIF3A is the largest subunit of the eIF3 complex. eIF3A expression is regulated through the cell cycle. It's expression peaks in S-phase and it is proposed to play a role in regulating the translation of mRNAs involved in the regulation of cell cycle progression and proliferation. Alternative names for eIF3A include eIF-3-theta, eIF-3 p167, eIF-3 p170, eIF-3 p180, eIF3-p185, EIF3S10, and KIAA0139.

Alternate Names

centrosomin homolog, cytoplasmic protein p167, eIF3 p167, eIF3 p180, eIF3 p185, EIF3, p180 subunit, eIF3a, eIF3-p170, EIF3S10EIF3, eIF-3-theta, eIF3-theta, Eukaryotic translation initiation factor 3 subunit 10, eukaryotic translation initiation factor 3 subunit A, eukaryotic translation initiation factor 3, subunit 10 (theta, 150/170kD), eukaryotic translation initiation factor 3, subunit 10 (theta, 170kD), eukaryotic translation initiation factor 3, subunit 10 theta, 150/170kDa, eukaryotic translation initiation factor 3, subunit 10, 170kD, eukaryotic translation initiation factor 3, subunit A, KIAA0139P167, p180, p185, TIF32

Gene Symbol

EIF3A

Additional EIF3A Products

Product Documents for EIF3A Antibody (JE58-60)

Certificate of Analysis

To download a Certificate of Analysis, please enter a lot number in the search box below.

Product Specific Notices for EIF3A Antibody (JE58-60)

This product is for research use only and is not approved for use in humans or in clinical diagnosis. Primary Antibodies are guaranteed for 1 year from date of receipt.

Loading...
Loading...
Loading...
Loading...