Skip to main content

eIF2A [p Ser51] Antibody (SZ01-06)

Novus Biologicals, part of Bio-Techne | Catalog # NBP2-67353

Recombinant Monoclonal Antibody
Novus Biologicals, part of Bio-Techne
Catalog #
Availability
Size / Price
Qty
Loading...
NBP2-67353

Key Product Details

Validated by

Biological Validation

Species Reactivity

Validated:

Human, Mouse, Rat

Cited:

Human

Applications

Validated:

Immunohistochemistry, Immunohistochemistry-Paraffin, Western Blot, Flow Cytometry, Immunocytochemistry/ Immunofluorescence, Simple Western, Immunoprecipitation

Cited:

Western Blot, Simple Western

Label

Unconjugated

Antibody Source

Recombinant Monoclonal Rabbit IgG Clone # SZ01-06 expressed in HEK293

Concentration

1 mg/ml

Product Specifications

Immunogen

Synthetic phospho-peptide corresponding to residues surrounding Ser51 of Human eIF2A. (SwissProt: P05198 Human; SwissProt: Q6ZWX6 Mouse; SwissProt: P68101 Rat)

Modification

p Ser51

Localization

Stress granule, Cytoplasm.

Clonality

Monoclonal

Host

Rabbit

Isotype

IgG

Scientific Data Images for eIF2A [p Ser51] Antibody (SZ01-06)

Western Blot: eIF2A [p Ser51] Antibody (SZ01-06) [NBP2-67353] - Analysis of eIF2A [p Ser51] on THP-1 cell lysates. Lane 1: THP-1 cells, whole cell lysate, 10ug/lane Lane 2: THP-1 cells treated with 2.8ug/ul lambda-PP for 30 minutes, whole cell lysates, 10ug/lane All lanes : Anti-eIF2A [p Ser51]antibody at 1/500 dilution. Anti-GAPDH antibody at 1/10,000 dilution. Goat Anti-Rabbit IgG H&L (HRP) at 1/200,000 dilution. Predicted band size: 36 kDa Observed band size: 36 kDa Blocking and diluting buffer: 5% BSA. Exposure time: 3 minutes 43 seconds
Immunocytochemistry/Immunofluorescence: eIF2A [p Ser51] Antibody (SZ01-06) [NBP2-67353] - Staining of Hela cells (green) using NBP2-67353. The nuclear counter stain is DAPI (blue). Cells were fixed in paraformaldehyde, permeabilised with 0.25% Triton X100/PBS.
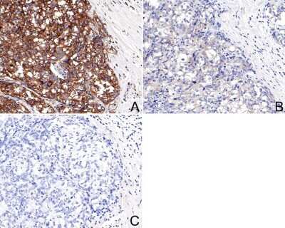
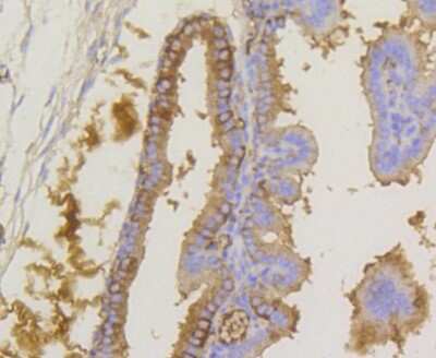
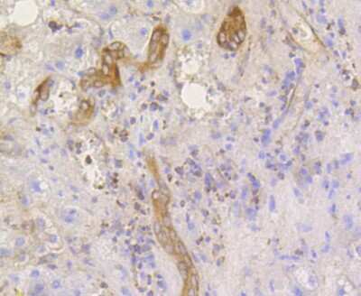
Immunohistochemistry-Paraffin: eIF2A [p Ser51] Antibody (SZ01-06) [NBP2-67353] - Analysis of paraffin-embedded human breast carcinoma tissue with Rabbit anti-elF2A [p Ser51] antibody washed with ddH2O and PBS, and then probed with the primary antibody at 1/200 dilution for 1 hour at room temperature. The detection was performed using an HRP conjugated compact polymer system. DAB was used as the chromogen. Tissues were counterstained with hematoxylin and mounted with DPX.

Applications for eIF2A [p Ser51] Antibody (SZ01-06)

Application
Recommended Usage

Flow Cytometry

1:50-1:100

Immunocytochemistry/ Immunofluorescence

1:50-1:200

Immunohistochemistry-Paraffin

1:50-1:500

Simple Western

1:50

Western Blot

1:500-1:2000

Formulation, Preparation, and Storage

Purification

Protein A purified

Formulation

TBS (pH7.4), 0.05% BSA, 40% Glycerol

Preservative

0.05% Sodium Azide

Concentration

1 mg/ml

Shipping

The product is shipped with polar packs. Upon receipt, store it immediately at the temperature recommended below.

Stability & Storage

Store at 4C short term. Aliquot and store at -20C long term. Avoid freeze-thaw cycles.

Background: eIF2A

The translation initiation factor eIF2 catalyzes the first regulated step of protein synthesis initiation, promoting the binding of the initiator tRNA to 40S ribosomal subunits. Binding occurs as a ternary complex of methionyl-tRNA, eIF2, and GTP. eIF2 is composed of 3 nonidentical subunits, alpha (36 kD), beta (38 kD, MIM 603908), and gamma (52 kD, MIM 300161). The rate of formation of the ternary complex is modulated by the phosphorylation state of eIF2-alpha (Ernst et al., 1987 [PubMed 2948954]).[supplied by OMIM]

Alternate Names

EIF-2, EIF-2A, EIF2AEIF2, EIF-2alpha, eukaryotic translation initiation factor 2, subunit 1 alpha, 35kDa, subunit 1 (alpha, 35kD )

Gene Symbol

EIF2A

Additional eIF2A Products

Product Documents for eIF2A [p Ser51] Antibody (SZ01-06)

Certificate of Analysis

To download a Certificate of Analysis, please enter a lot number in the search box below.

Product Specific Notices for eIF2A [p Ser51] Antibody (SZ01-06)

This product is for research use only and is not approved for use in humans or in clinical diagnosis. Primary Antibodies are guaranteed for 1 year from date of receipt.

Loading...
Loading...
Loading...
Loading...
Loading...