Skip to main content

eIF2 alpha/EIF2S1 Antibody (OTI3H4) - Azide and BSA Free

Novus Biologicals, part of Bio-Techne | Catalog # NBP2-70626

Novus Biologicals, part of Bio-Techne
Catalog #
Availability
Size / Price
Qty
Loading...
NBP2-70626

Key Product Details

Species Reactivity

Human, Mouse, Rat, Canine, Monkey, Primate

Applications

Immunohistochemistry, Immunohistochemistry-Paraffin, Western Blot, Flow Cytometry, Immunocytochemistry/ Immunofluorescence, CyTOF-ready

Label

Unconjugated

Antibody Source

Monoclonal Mouse IgG1 Clone # OTI3H4

Format

Azide and BSA Free

Concentration

LYOPH mg/ml

Product Specifications

Immunogen

Full length human recombinant protein of human EIF2S1 (NP_004085) produced in HEK293T cell.

Reactivity Notes

Please note that this antibody is reactive to Mouse and derived from the same host, Mouse. Mouse-On-Mouse blocking reagent may be needed for IHC and ICC experiments to reduce high background signal. You can find these reagents under catalog numbers PK-2200-NB and MP-2400-NB. Please contact Technical Support if you have any questions.

Clonality

Monoclonal

Host

Mouse

Isotype

IgG1

Theoretical MW

35.9 kDa.
Disclaimer note: The observed molecular weight of the protein may vary from the listed predicted molecular weight due to post translational modifications, post translation cleavages, relative charges, and other experimental factors.

Description

Novus Biologicals Mouse eIF2 alpha/EIF2S1 Antibody (OTI3H4) - Azide and BSA Free (NBP2-02669) is a monoclonal antibody validated for use in IHC, WB, Flow and ICC/IF. All Novus Biologicals antibodies are covered by our 100% guarantee.

Scientific Data Images for eIF2 alpha/EIF2S1 Antibody (OTI3H4) - Azide and BSA Free

Western Blot: eIF2 alpha/EIF2S1 Antibody (OTI3H4)Azide and BSA Free [NBP2-70626]

Western Blot: eIF2 alpha/EIF2S1 Antibody (OTI3H4)Azide and BSA Free [NBP2-70626]

Western Blot: eIF2 alpha/EIF2S1 Antibody (OTI3H4) - Azide and BSA Free [NBP2-70626] - HEK293T cells were transfected with the pCMV6-ENTRY control (Left lane) or pCMV6-ENTRY eIF2A (Right lane) cDNA for 48 hrs and lysed. Equivalent amounts of cell lysates (5 ug per lane) were separated by SDS-PAGE and immunoblotted with anti-eIF2A.
Immunocytochemistry/ Immunofluorescence: eIF2 alpha/EIF2S1 Antibody (OTI3H4) - Azide and BSA Free [NBP2-70626]

Immunocytochemistry/ Immunofluorescence: eIF2 alpha/EIF2S1 Antibody (OTI3H4) - Azide and BSA Free [NBP2-70626]

Immunocytochemistry/Immunofluorescence: eIF2 alpha/EIF2S1 Antibody (OTI3H4) - Azide and BSA Free [NBP2-70626] - Staining of COS7 cells transiently transfected by pCMV6-ENTRY eIF2A.
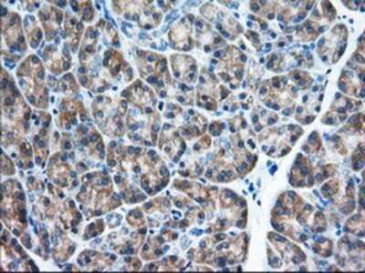
Immunohistochemistry: eIF2 alpha/EIF2S1 Antibody (OTI3H4) - Azide and BSA Free [NBP2-70626]

Immunohistochemistry: eIF2 alpha/EIF2S1 Antibody (OTI3H4) - Azide and BSA Free [NBP2-70626]

Immunohistochemistry: eIF2 alpha/EIF2S1 Antibody (OTI3H4) - Azide and BSA Free [NBP2-70626] - Staining of paraffin-embedded Human pancreas tissue using anti-eIF2A mouse monoclonal antibody.

Applications for eIF2 alpha/EIF2S1 Antibody (OTI3H4) - Azide and BSA Free

Application
Recommended Usage

Flow Cytometry

1:100

Immunocytochemistry/ Immunofluorescence

1:100

Immunohistochemistry

1:50

Western Blot

1:1000-2000

Formulation, Preparation, and Storage

Purification

Immunogen affinity purified

Reconstitution

we recommend adding 100uL distilled water to a final antibody concentration of about 1 mg/mL. To use this carrier-free antibody for conjugation experiment, we strongly recommend performing another round of desalting process.

Formulation

Lyophilized from PBS (pH 7.3) with 8% Trehalose

Format

Azide and BSA Free

Preservative

No Preservative

Concentration

LYOPH mg/ml

Shipping

The product is shipped with polar packs. Upon receipt, store it immediately at the temperature recommended below.

Stability & Storage

Store at -20C. Avoid freeze-thaw cycles.

Background: eIF2 alpha

eIFs are heterotrimeric initiation complexes that form on the ribosome during protein synthesis. Each eIF serves a distinct function during protein synthesis to help attach, assemble, and drive the ribosome along the mRNA.

Long Name

Eukaryotic Translation Initiation Factor 2 Alpha

Alternate Names

EIF2S1

Gene Symbol

EIF2S1

Additional eIF2 alpha Products

Product Documents for eIF2 alpha/EIF2S1 Antibody (OTI3H4) - Azide and BSA Free

Certificate of Analysis

To download a Certificate of Analysis, please enter a lot number in the search box below.

Product Specific Notices for eIF2 alpha/EIF2S1 Antibody (OTI3H4) - Azide and BSA Free

This product is for research use only and is not approved for use in humans or in clinical diagnosis. Primary Antibodies are guaranteed for 1 year from date of receipt.

Loading...
Loading...
Loading...
Loading...
Loading...
Loading...