Skip to main content

EID1 Antibody - BSA Free

Novus Biologicals, part of Bio-Techne | Catalog # NBP3-46591

Novus Biologicals, part of Bio-Techne
Catalog #
Availability
Size / Price
Qty
Loading...
NBP3-46591

Key Product Details

Species Reactivity

Human, Mouse

Applications

Immunohistochemistry, Western Blot, ELISA, Immunocytochemistry/ Immunofluorescence

Label

Unconjugated

Antibody Source

Polyclonal Rabbit IgG

Format

BSA Free

Concentration

Please see the vial label for concentration. If unlisted please contact technical services.

Product Specifications

Immunogen

EP300 interacting inhibitor of differentiation 1. (Uniprot# Q9Y6B2)

Clonality

Polyclonal

Host

Rabbit

Isotype

IgG

Description

Novus Biologicals Rabbit EID1 Antibody - BSA Free (NBP3-46591) is a polyclonal antibody validated for use in IHC, WB, ELISA and ICC/IF. All Novus Biologicals antibodies are covered by our 100% guarantee.

Scientific Data Images for EID1 Antibody - BSA Free

EID1 Antibody - BSA Free

Western Blot: EID1 Antibody - BSA Free [NBP3-46591] -

Western Blot: EID1 Antibody - BSA Free [NBP3-46591] - HepG2 cells were subjected to SDS PAGE followed by western blot with (EID1 antibody) at dilution of 1:300
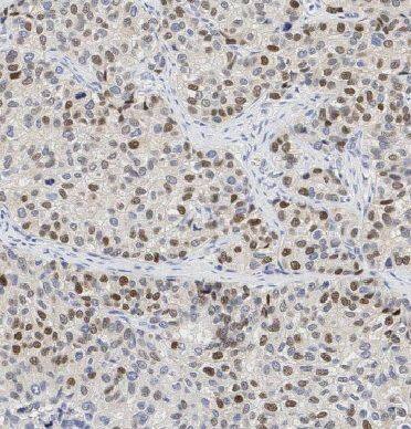
EID1 Antibody - BSA Free

Immunohistochemistry: EID1 Antibody - BSA Free [NBP3-46591] -

Immunohistochemistry: EID1 Antibody - BSA Free [NBP3-46591] - Immunohistochemistry of paraffin-embedded human breast cancer tissue slide using (EID1 Antibody) at dilution of 1:50

Applications for EID1 Antibody - BSA Free

Application
Recommended Usage

Immunocytochemistry/ Immunofluorescence

1:20-1:200

Immunohistochemistry

1:20-1:200

Western Blot

1:500-1:2000
Application Notes
Theoretical Molecular Weight is 20-22 kDa

Formulation, Preparation, and Storage

Purification

Immunogen affinity purified

Formulation

PBS, 50% Glycerol, pH (7.3)

Format

BSA Free

Preservative

0.02% Sodium Azide

Concentration

Please see the vial label for concentration. If unlisted please contact technical services.

Shipping

The product is shipped with polar packs. Upon receipt, store it immediately at the temperature recommended below.

Stability & Storage

Store at -20C. Avoid freeze-thaw cycles.

Background: EID1

Interacts with RB1 and EP300 and acts as a repressor of MYOD1 transactivation. Inhibits EP300 and CBP histone acetyltransferase activity. May be involved in coupling cell cycle exit to the transcriptional activation of genes required for cellular differentiation. May act as a candidate coinhibitory factor for NR0B2 that can be directly linked to transcription inhibitory mechanisms

Alternate Names

21 kDa pRb-associated protein, C15orf3PTD014, CREBBP/EP300 inhibitor 1, CREBBP/EP300 inhibitory protein 1MGC138884, CRI1EP300-interacting inhibitor of differentiation 1, E1A-like inhibitor of differentiation 1, EID-1MGC138883, EP300 interacting inhibitor of differentiation 1, IRO45620, NB4 apoptosis related protein, Rb- and p300-binding protein EID-1, RBP21, retinoblastoma protein-associated protein

Gene Symbol

EID1

Additional EID1 Products

Product Documents for EID1 Antibody - BSA Free

Certificate of Analysis

To download a Certificate of Analysis, please enter a lot number in the search box below.

Product Specific Notices for EID1 Antibody - BSA Free

This product is for research use only and is not approved for use in humans or in clinical diagnosis. Primary Antibodies are guaranteed for 1 year from date of receipt.

Loading...
Loading...
Loading...
Loading...