EHM2 Antibody - BSA Free
Novus Biologicals, part of Bio-Techne | Catalog # NBP1-83988
Key Product Details
Species Reactivity
Validated:
Human
Predicted:
Mouse (91%), Rat (92%). Backed by our 100% Guarantee.
Applications
Immunocytochemistry/ Immunofluorescence, Immunohistochemistry, Immunohistochemistry-Paraffin
Label
Unconjugated
Antibody Source
Polyclonal Rabbit IgG
Format
BSA Free
Concentration
Concentrations vary lot to lot. See vial label for concentration. If unlisted please contact technical services.
Product Specifications
Immunogen
This antibody was developed against Recombinant Protein corresponding to amino acids: PLHININKAEEKKVSEKTLQTPLLPSPVADHVKCNILKAQLENASRVNIQGGKEESPFVNINKKSSLQDASVRSPIPIRVETAQPAVEKPEIKPPRVRKLTRQYSFDEDDLPP
Clonality
Polyclonal
Host
Rabbit
Isotype
IgG
Description
Novus Biologicals Rabbit EHM2 Antibody - BSA Free (NBP1-83988) is a polyclonal antibody validated for use in IHC and ICC/IF. All Novus Biologicals antibodies are covered by our 100% guarantee.
Scientific Data Images for EHM2 Antibody - BSA Free
Immunocytochemistry/ Immunofluorescence: EHM2 Antibody [NBP1-83988]
Immunocytochemistry/Immunofluorescence: EHM2 Antibody [NBP1-83988] - Immunofluorescent staining of human cell line A-431 shows localization to plasma membrane & cytosol.Immunohistochemistry-Paraffin: EHM2 Antibody [NBP1-83988]
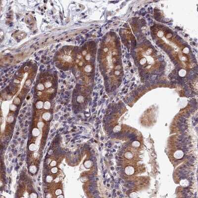
Immunohistochemistry-Paraffin: EHM2 Antibody [NBP1-83988] - Staining of human duodenum shows moderate cytoplasmic positivity in glandular cells.Applications for EHM2 Antibody - BSA Free
Application
Recommended Usage
Immunocytochemistry/ Immunofluorescence
0.25-2 ug/ml
Immunohistochemistry
1:50 - 1:200
Immunohistochemistry-Paraffin
1:50 - 1:200
Application Notes
For IHC-Paraffin, HIER pH 6 retrieval is recommended. ICC/IF,Fixation Permeabilization: Use PFA/Triton X-100.
Formulation, Preparation, and Storage
Purification
Immunogen affinity purified
Formulation
PBS (pH 7.2) and 40% Glycerol
Format
BSA Free
Preservative
0.02% Sodium Azide
Concentration
Concentrations vary lot to lot. See vial label for concentration. If unlisted please contact technical services.
Shipping
The product is shipped with polar packs. Upon receipt, store it immediately at the temperature recommended below.
Stability & Storage
Store at 4C short term. Aliquot and store at -20C long term. Avoid freeze-thaw cycles.
Background: EHM2
Alternate Names
band 4.1-like protein 4B, CG1, DKFZp761N1814, EHM2FLJ21596, erythrocyte membrane protein band 4.1 like 4B, FERM-containing protein CG1, Protein EHM2
Gene Symbol
EPB41L4B
Additional EHM2 Products
Product Documents for EHM2 Antibody - BSA Free
Product Specific Notices for EHM2 Antibody - BSA Free
This product is for research use only and is not approved for use in humans or in clinical diagnosis. Primary Antibodies are guaranteed for 1 year from date of receipt.
Loading...
Loading...
Loading...
Loading...