Skip to main content

Eg5 Antibody - BSA Free

Novus Biologicals, part of Bio-Techne | Catalog # NBP1-84888

Novus Biologicals, part of Bio-Techne
Catalog #
Availability
Size / Price
Qty
Loading...
NBP1-84888
NBP1-84888-25ul

Key Product Details

Species Reactivity

Validated:

Human

Cited:

Human

Applications

Validated:

Immunohistochemistry, Immunohistochemistry-Paraffin, Western Blot

Cited:

IF/IHC

Label

Unconjugated

Antibody Source

Polyclonal Rabbit IgG

Format

BSA Free

Concentration

Concentrations vary lot to lot. See vial label for concentration. If unlisted please contact technical services.

Product Specifications

Immunogen

This antibody was developed against Recombinant Protein corresponding to amino acids: EMILSPTVVSILKINSQLKHIFKTSLTVADKIEDQKKELDGFLSILCNNLHELQENTICSLVESQKQCGNLTEDLKTIKQTHSQELCKLMNLWTERFCALEEKCENIQKPLSSVQENIQQKSKDIVNKMTFHSQKFCADSDGFSQELR

Reactivity Notes

Human reactivity reported in scientific literature (PMID: 25277178).

Clonality

Polyclonal

Host

Rabbit

Isotype

IgG

Description

Novus Biologicals Rabbit Eg5 Antibody - BSA Free (NBP1-84888) is a polyclonal antibody validated for use in IHC and WB. Anti-Eg5 Antibody: Cited in 1 publication. All Novus Biologicals antibodies are covered by our 100% guarantee.

Scientific Data Images for Eg5 Antibody - BSA Free

Western Blot: Eg5 Antibody [NBP1-84888]

Western Blot: Eg5 Antibody [NBP1-84888]

Western Blot: Eg5 Antibody [NBP1-84888] - Analysis in control (vector only transfected HEK293T lysate) and KIF11 over-expression lysate (Co-expressed with a C-terminal myc-DDK tag (3.1 kDa) in mammalian HEK293T cells).
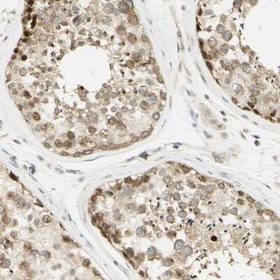
Immunohistochemistry-Paraffin: Eg5 Antibody [NBP1-84888]

Immunohistochemistry-Paraffin: Eg5 Antibody [NBP1-84888]

Immunohistochemistry-Paraffin: Eg5 Antibody [NBP1-84888] - Staining of human testis shows moderate cytoplasmic positivity in cells in seminiferous ducts.

Applications for Eg5 Antibody - BSA Free

Application
Recommended Usage

Immunohistochemistry

1:200 - 1:500

Immunohistochemistry-Paraffin

1:200 - 1:500

Western Blot

0.04-0.4 ug/ml
Application Notes
IHC reported in scientific literature (PMID: 25277178). For IHC-Paraffin, HIER pH 6 retrieval is recommended.

Formulation, Preparation, and Storage

Purification

Affinity purified

Formulation

PBS (pH 7.2) and 40% Glycerol

Format

BSA Free

Preservative

0.02% Sodium Azide

Concentration

Concentrations vary lot to lot. See vial label for concentration. If unlisted please contact technical services.

Shipping

The product is shipped with polar packs. Upon receipt, store it immediately at the temperature recommended below.

Stability & Storage

Store at 4C short term. Aliquot and store at -20C long term. Avoid freeze-thaw cycles.

Background: Eg5

Eg5 is a mitotic motor protein required for chromosome positioning, centrosome separation and establishing a bipolar spindle during cell mitosis. Eg-5 is therefore crucial for proper chromosome segregation during cell division. Eg 5 antibodies are useful tools for cell cycle studies and research on mitotic spindles.

Long Name

Kinesin-like protein KIF11

Alternate Names

KIF11, KNSL1, TRIP-5, TRIP5

Gene Symbol

KIF11

Additional Eg5 Products

Product Documents for Eg5 Antibody - BSA Free

Certificate of Analysis

To download a Certificate of Analysis, please enter a lot number in the search box below.

Product Specific Notices for Eg5 Antibody - BSA Free

This product is for research use only and is not approved for use in humans or in clinical diagnosis. Primary Antibodies are guaranteed for 1 year from date of receipt.

Loading...
Loading...
Loading...
Loading...