Skip to main content

EEN Antibody - BSA Free

Novus Biologicals, part of Bio-Techne | Catalog # NBP1-33545

Novus Biologicals, part of Bio-Techne
Catalog #
Availability
Size / Price
Qty
Loading...
NBP1-33545

Key Product Details

Validated by

Orthogonal Validation

Species Reactivity

Human

Applications

Immunohistochemistry, Immunohistochemistry-Paraffin, Western Blot, Immunocytochemistry/ Immunofluorescence

Label

Unconjugated

Antibody Source

Polyclonal Rabbit IgG

Format

BSA Free

Concentration

Concentrations vary lot to lot. See vial label for concentration. If unlisted please contact technical services.

Product Specifications

Immunogen

Recombinant protein encompassing a sequence within the center region of human EEN. The exact sequence is proprietary.

Localization

Cytoplasm, Early endosome membrane, Peripheral membrane protein

Clonality

Polyclonal

Host

Rabbit

Isotype

IgG

Description

Novus Biologicals Rabbit EEN Antibody - BSA Free (NBP1-33545) is a polyclonal antibody validated for use in IHC, WB and ICC/IF. All Novus Biologicals antibodies are covered by our 100% guarantee.

Scientific Data Images for EEN Antibody - BSA Free

Immunocytochemistry/ Immunofluorescence: EEN Antibody [NBP1-33545]

Immunocytochemistry/ Immunofluorescence: EEN Antibody [NBP1-33545]

Immunocytochemistry/Immunofluorescence: EEN Antibody [NBP1-33545] - Paraformaldehyde-fixed HeLa, using antibody at 1:200 dilution.
Immunohistochemistry-Paraffin: EEN Antibody [NBP1-33545]

Immunohistochemistry-Paraffin: EEN Antibody [NBP1-33545]

Immunohistochemistry-Paraffin: EEN Antibody [NBP1-33545] - Paraffin-embedded Breast ca, using antibody at 1:250 dilution.
EEN Antibody

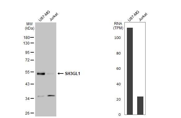
Western Blot: EEN Antibody [NBP1-33545] -

Western Blot: EEN Antibody [NBP1-33545] - Various whole cell extracts (30 ug) were separated by 10% SDS-PAGE, and the membrane was blotted with SH3GL1 antibody [N3C3] diluted at 1:1000. The HRP-conjugated anti-rabbit IgG antibody was used to detect the primary antibody. Corresponding RNA expression data for the same cell lines are based on Human Protein Atlas program.

Applications for EEN Antibody - BSA Free

Application
Recommended Usage

Immunocytochemistry/ Immunofluorescence

1:100-1:1000

Immunohistochemistry

10 - 1:500

Immunohistochemistry-Paraffin

1:100-1:1000

Western Blot

1:500-1:3000

Formulation, Preparation, and Storage

Purification

Antigen Affinity-purified

Formulation

0.1M Tris, 0.1M Glycine, 20% Glycerol

Format

BSA Free

Preservative

0.01% Thimerosal

Concentration

Concentrations vary lot to lot. See vial label for concentration. If unlisted please contact technical services.

Shipping

The product is shipped with polar packs. Upon receipt, store it immediately at the temperature recommended below.

Stability & Storage

Aliquot and store at -20C or -80C. Avoid freeze-thaw cycles.

Background: EEN

Endophilin A2 is an SH3 domain containing protein implicated in endocytosis. It has been identified in human acute leukemia as a fusion partner of MLL (mixed-lineage leukemia). Because of its involvement in this chromosomal translocation, endophilin A2 is also known as EEN (extra eleven nineteen).

Alternate Names

CNSA1endophilin-2, EEN fusion partner of MLL, EENSH3 domain-containing GRB2-like protein 1, Endophilin-2, extra 11-19 leukemia fusion, Extra eleven-nineteen leukemia fusion gene protein, MGC111371, SH3 domain protein 2B, SH3-containing Grb-2-like 1 protein, SH3D2Bendophilin-A2, SH3-domain GRB2-like 1, SH3P8

Gene Symbol

SH3GL1

Additional EEN Products

Product Documents for EEN Antibody - BSA Free

Certificate of Analysis

To download a Certificate of Analysis, please enter a lot number in the search box below.

Product Specific Notices for EEN Antibody - BSA Free

This product is for research use only and is not approved for use in humans or in clinical diagnosis. Primary Antibodies are guaranteed for 1 year from date of receipt.

Loading...
Loading...
Loading...
Loading...

⚠ WARNING: This product can expose you to chemicals including mercury, which is known to the State of California to cause reproductive toxicity with developmental effects.  For more information go to www.P65Warnings.ca.gov.