Skip to main content

EDNRB/Endothelin R Type B Antibody - BSA Free

Novus Biologicals, part of Bio-Techne | Catalog # NBP2-16334

Novus Biologicals, part of Bio-Techne
Catalog #
Availability
Size / Price
Qty
Loading...
NBP2-16334

Key Product Details

Species Reactivity

Human, Mouse, Rat

Applications

Immunohistochemistry, Immunohistochemistry-Paraffin, Western Blot

Label

Unconjugated

Antibody Source

Polyclonal Rabbit IgG

Format

BSA Free

Concentration

Concentrations vary lot to lot. See vial label for concentration. If unlisted please contact technical services.

Product Specifications

Immunogen

Carrier-protein conjugated synthetic peptide encompassing a sequence within the N-terminus region of rat EDNRB/Endothelin R Type B. The exact sequence is proprietary.

Localization

Cell membrane

Clonality

Polyclonal

Host

Rabbit

Isotype

IgG

Theoretical MW

49 kDa.
Disclaimer note: The observed molecular weight of the protein may vary from the listed predicted molecular weight due to post translational modifications, post translation cleavages, relative charges, and other experimental factors.

Description

Novus Biologicals Rabbit EDNRB/Endothelin R Type B Antibody - BSA Free (NBP2-16334) is a polyclonal antibody validated for use in IHC and WB. All Novus Biologicals antibodies are covered by our 100% guarantee.

Scientific Data Images for EDNRB/Endothelin R Type B Antibody - BSA Free

EDNRB/Endothelin R Type B Antibody - BSA Free

Western Blot: EDNRB/Endothelin R Type B Antibody [NBP2-16334] -

Rat tissue extract (50 ug) was separated by 10% SDS-PAGE, and the membrane was blotted with Endothelin B Receptor antibody (NBP2-16334) diluted at 1:1000. The HRP-conjugated anti-rabbit IgG antibody was used to detect the primary antibody.
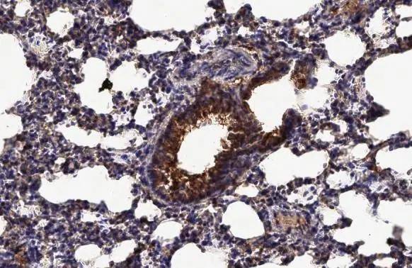
EDNRB/Endothelin R Type B Antibody - BSA Free

Immunohistochemistry-Paraffin: EDNRB/Endothelin R Type B Antibody [NBP2-16334] -

Endothelin B Receptor antibody detects Endothelin B Receptor protein by immunohistochemical analysis.
Sample: Paraffin-embedded rat lung.
Endothelin B Receptor stained by Endothelin B Receptor antibody (NBP2-16334) diluted at 1:500.
Antigen Retrieval: Citrate buffer, pH 6.0, 15 min

Applications for EDNRB/Endothelin R Type B Antibody - BSA Free

Application
Recommended Usage

Immunohistochemistry

1:100-1:1000

Immunohistochemistry-Paraffin

1:100-1:1000

Western Blot

1:500-1:3000

Formulation, Preparation, and Storage

Purification

Antigen Affinity-purified

Formulation

PBS

Format

BSA Free

Preservative

No Preservative

Concentration

Concentrations vary lot to lot. See vial label for concentration. If unlisted please contact technical services.

Shipping

The product is shipped with polar packs. Upon receipt, store it immediately at the temperature recommended below.

Stability & Storage

Aliquot and store at -20C or -80C. Avoid freeze-thaw cycles.

Background: EDNRB/Endothelin R Type B

Non-specific receptor for endothelin 1, 2, and 3. Mediates its action by association with G proteins that activate a phosphatidylinositol-calcium second messenger system.

Long Name

Endothelin Receptor Type B

Alternate Names

EDNRB, ET-B, ETRB

Gene Symbol

EDNRB

UniProt

Additional EDNRB/Endothelin R Type B Products

Product Documents for EDNRB/Endothelin R Type B Antibody - BSA Free

Certificate of Analysis

To download a Certificate of Analysis, please enter a lot number in the search box below.

Product Specific Notices for EDNRB/Endothelin R Type B Antibody - BSA Free

This product is for research use only and is not approved for use in humans or in clinical diagnosis. Primary Antibodies are guaranteed for 1 year from date of receipt.

Loading...
Loading...
Loading...
Loading...

⚠ WARNING: This product can expose you to chemicals including mercury, which is known to the State of California to cause reproductive toxicity with developmental effects.  For more information go to www.P65Warnings.ca.gov.