Skip to main content

EDNRB/Endothelin R Type B Antibody (HL2832)

Novus Biologicals, part of Bio-Techne | Catalog # NBP3-48737

Recombinant Monoclonal Antibody
Novus Biologicals, part of Bio-Techne
Catalog #
Availability
Size / Price
Qty
Loading...
NBP3-48737

Key Product Details

Species Reactivity

Human, Mouse, Rat

Applications

Immunohistochemistry, Immunohistochemistry-Paraffin

Label

Unconjugated

Antibody Source

Recombinant Monoclonal Rabbit IgG Clone # HL2832

Concentration

Concentrations vary lot to lot. See vial label for concentration. If unlisted please contact technical services.

Product Specifications

Immunogen

Synthetic peptide encompassing a sequence within the Intracellular domain of Rat EDNRB/Endothelin R Type B. The exact sequence is proprietary.

Clonality

Monoclonal

Host

Rabbit

Isotype

IgG

Description

Novus Biologicals Rabbit EDNRB/Endothelin R Type B Antibody (HL2832) (NBP3-48737) is a recombinant monoclonal antibody validated for use in IHC. All Novus Biologicals antibodies are covered by our 100% guarantee.

Scientific Data Images for EDNRB/Endothelin R Type B Antibody (HL2832)

EDNRB/Endothelin R Type B Antibody (HL2832)

Immunohistochemistry-Paraffin: EDNRB/Endothelin R Type B Antibody (HL2832) [NBP3-48737] -

EDNRB/Endothelin R Type B antibody [HL2832] detects EDNRB/Endothelin R Type B protein at cell membrane and cytoplasm by immunohistochemical analysis.
Sample: Paraffin-embedded Caco-2 xenograft.
EDNRB/Endothelin R Type B stained by EDNRB/Endothelin R Type B antibody [HL2832] (NBP3-48737) diluted at 1:100.
Antigen Retrieval: Citrate buffer, pH 6.0, 15 min
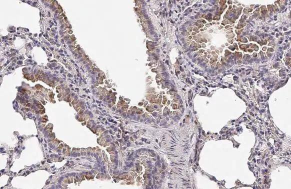
EDNRB/Endothelin R Type B Antibody (HL2832)

Immunohistochemistry-Paraffin: EDNRB/Endothelin R Type B Antibody (HL2832) [NBP3-48737] -

EDNRB/Endothelin R Type B antibody [HL2832] detects EDNRB/Endothelin R Type B protein at cell membrane and cytoplasm by immunohistochemical analysis.
Sample: Paraffin-embedded rat lung.
EDNRB/Endothelin R Type B stained by EDNRB/Endothelin R Type B antibody [HL2832] (NBP3-48737) diluted at 1:100.
Antigen Retrieval: Citrate buffer, pH 6.0, 15 min
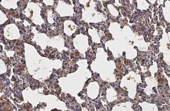
EDNRB/Endothelin R Type B Antibody (HL2832)

Immunohistochemistry-Paraffin: EDNRB/Endothelin R Type B Antibody (HL2832) [NBP3-48737] -

EDNRB/Endothelin R Type B antibody [HL2832] detects EDNRB/Endothelin R Type B protein at cell membrane by immunohistochemical analysis.
Sample: Paraffin-embedded mouse lung.
EDNRB/Endothelin R Type B stained by EDNRB/Endothelin R Type B antibody [HL2832] (NBP3-48737) diluted at 1:100.
Antigen Retrieval: Citrate buffer, pH 6.0, 15 min

Applications for EDNRB/Endothelin R Type B Antibody (HL2832)

Application
Recommended Usage

Immunohistochemistry-Paraffin

1:100-1:1000

Formulation, Preparation, and Storage

Purification

Protein A purified

Formulation

PBS

Preservative

No Preservative

Concentration

Concentrations vary lot to lot. See vial label for concentration. If unlisted please contact technical services.

Shipping

The product is shipped with polar packs. Upon receipt, store it immediately at the temperature recommended below.

Stability & Storage

Store at 4C short term. Aliquot and store at -20C long term. Avoid freeze-thaw cycles.

Background: EDNRB/Endothelin R Type B

The Endothelin Receptor ETB is expressed in most tissues. Mutations of the receptor gene are responsible for Hirschsprung disease type 2, a multigenic disorder with phenotypes such as bicolored irides, megacolon, hypopigmentation, and hearing loss. The ETB receptor has similar affinity for all three endothelins and activates a phosphatidylinositol-calcium second messenger system. A splice variant, termed SVR, has been described; the sequence of the ETB-SVR receptor is identical to ET-B receptor, with the exception of the intracellular C-terminal domain. While both splice variants bind endothelin ET1, they exhibit different responses, which suggests that they may be functionally distinct. The endothelin B receptor has been reported to be expressed in adrenal, aorta, artery, brain, breast, eye, epididymis, ganglion, heart, kidney, liver, lung, ovary, placenta, prostate, skin, testis, uterus, and vessel. ESTs have been isolated from amnion, B-cell/lung/testis, breast, brain, colon, ear, embryo, eye, heart, kidney, liver, liver/spleen, lung, lymph node, placenta, prostate, and skin libraries.

Long Name

Endothelin Receptor Type B

Alternate Names

EDNRB, ET-B, ETRB

Gene Symbol

EDNRB

Additional EDNRB/Endothelin R Type B Products

Product Documents for EDNRB/Endothelin R Type B Antibody (HL2832)

Certificate of Analysis

To download a Certificate of Analysis, please enter a lot number in the search box below.

Product Specific Notices for EDNRB/Endothelin R Type B Antibody (HL2832)

This product is for research use only and is not approved for use in humans or in clinical diagnosis. Primary Antibodies are guaranteed for 1 year from date of receipt.

Loading...
Loading...
Loading...
Loading...